Site Menu:
| This is an archived Horseadvice.com Discussion. The parent article and menus are available on the navigation menu below: |
| HorseAdvice.com » Horse Care » Hoof Care, Hoof Trimming, Shoeing Horses » Care of the Hoof: an Overview » |
| Discussion on Arthritis and high heels | |
| Author | Message |
| New Member: cavalon |
Posted on Saturday, Nov 7, 2009 - 7:42 am: Dear people,I am new to this forum and as a barefoot practisionar (P Ramey follower) and farrier I have doubts on a 10 year old mare who has arthritis. Vet says I have to shoe hind hoof because heels are growing and toe is worn. The mare is looking for the easiast way to walk and making very little steps with hindleg, like this not overstressing her leg. No heel first landing. Ramey believes to leave heel as she regrows a lot of heel after every trimming session (7 weeks). Vet believes with shoeing that she will be forced to use the arthritis leg and like this battles the desease. Shoe or not to shoe ? Tom |
| Member: scooter |
Posted on Saturday, Nov 7, 2009 - 8:14 am: Hi Tom Welcome to HA. It's hard to tell from your post, can you add a little detail, such as where in her leg is the arthritis, how long has she been like this, how was it diagnosed, even pictures of the hoof may help. |
| Member: ajudson1 |
Posted on Saturday, Nov 7, 2009 - 8:56 am: And does Pete believe in only touching hoofs every 7 weeks? If so, this is news to me.Is the mare on Bute, or any joint supplements? Can you post pictures of the hoof, a full side view of the horse, and answer the questions Diane asked? |
| Moderator: DrO |
Posted on Saturday, Nov 7, 2009 - 5:48 pm: Welcome cavalonatural,We may be having some translation problems so let's talk about this some. I personally do not think shoeing/trimming is going to mean much one way or the other to the arthritis. You can trim or fit a shoe to help breakover the main effect the feet have on pain coming from the upper joints. However shoeing may have a remarkable effect on any lameness coming from the foot and pastern. Reasons that shoeing may be rational is if proper hoof angle is not possible with the natural foot you have or the sole needs protection from concussion. An appliance may be needed to correct these faults. As Diane suggests above good images taken from the side and in front that highlight the hoof and lower leg might help us. And as Angie asks, is everything possible being done for the arthritis, you will find more on this at Diseases of Horses » Lameness » Joint, Bone, Ligament Diseases » Arthritis and DJD: An Overview DrO |
| New Member: cavalon |
Posted on Monday, Nov 9, 2009 - 3:38 pm: Hi Dr O, Angie and Diane,No of course Pete doesn't believe in 7 weeks interval. It is my and many others frustration that horse owners are not keen on wasting money on horses but want things to be resolved anyway by vets and farriers or trimmers. I think I might have put this problem too soon on the forum cause I do not have pictures nor can I answer your questions but will come back to you as soon as I know more with some pictures. I thank you so far for your prompt answer. Tom |
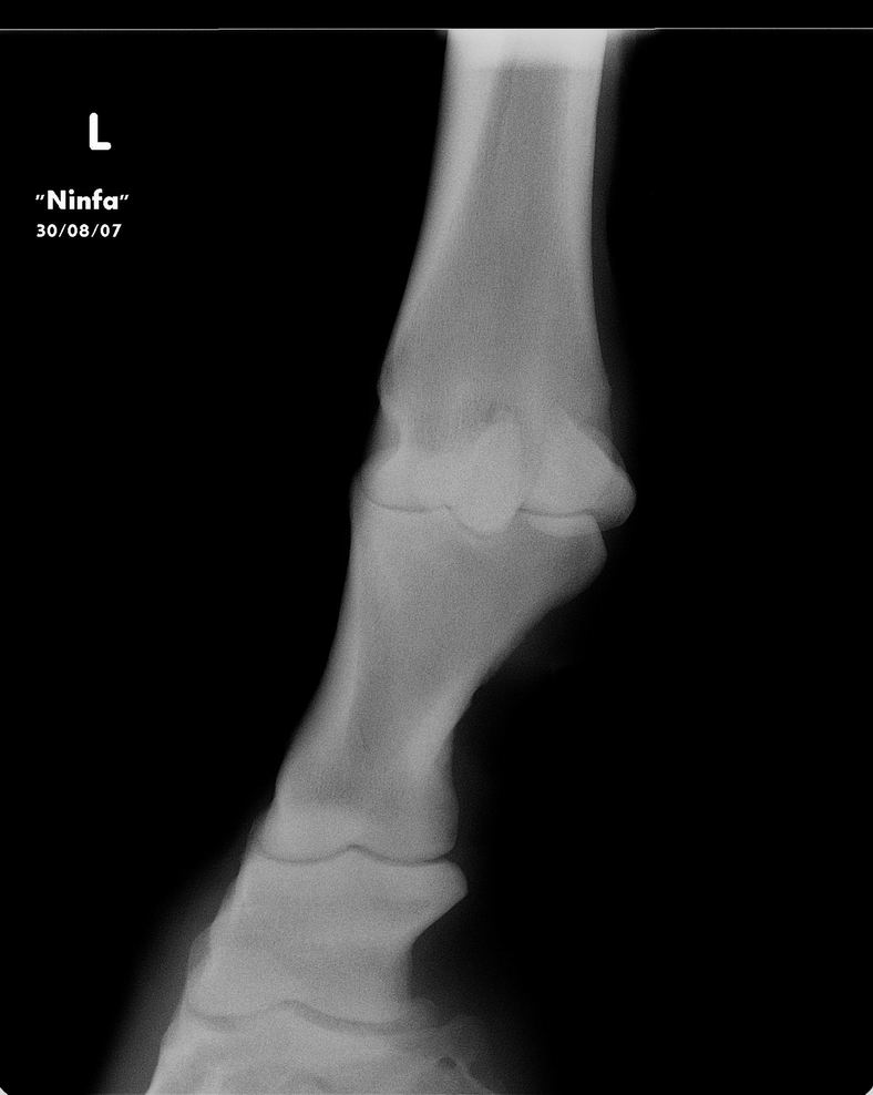
| New Member: cavalon |
Posted on Monday, Nov 16, 2009 - 4:55 pm: Dear Dr O,I can give you for now some radiographs of the mare. She is not on bute, she is not a riding horse, just on the pasture. For the moment she is walking better after my last trim (left the complete heel) Next week I can give you more exterior pictures of the mare. Tom ![]() ![]() ![]()
|
| Moderator: DrO |
Posted on Tuesday, Nov 17, 2009 - 7:09 am: Hello cavalonatural,I am trying to figure out what questions you have about these radiographs. Though I do not do radiographic interpretations from standard resolution internet images there is not much to say about these other than they are incomplete studies of the regions studied. There is not enough of the hoof to really help us though there is an impression of adequate sole, but I can't be certain since the bottoms are cut off. Concerning whether and how to shoe, when we can see the hooves and how well balanced they appear I think we will be able to help more. Be sure the images are taken with the horse standing square. DrO |