Horseadvice.com

Site Menu:

Horseadvice.com

Join Us!

Horse Care

Equine Diseases

Training and Behavior

Reproduction

Medications

Reference Material

This is an archived Horseadvice.com Discussion. The parent article and menus are available on the navigation menu below:
HorseAdvice.com » Diseases of Horses » Lameness » The Interpretation of Radiographs »
  Discussion on Attached X-rays of 5 mo old Stifles & OCD condition
Author Message
New Member:
Watchman

Posted on Saturday, Dec 2, 2006 - 11:46 am:

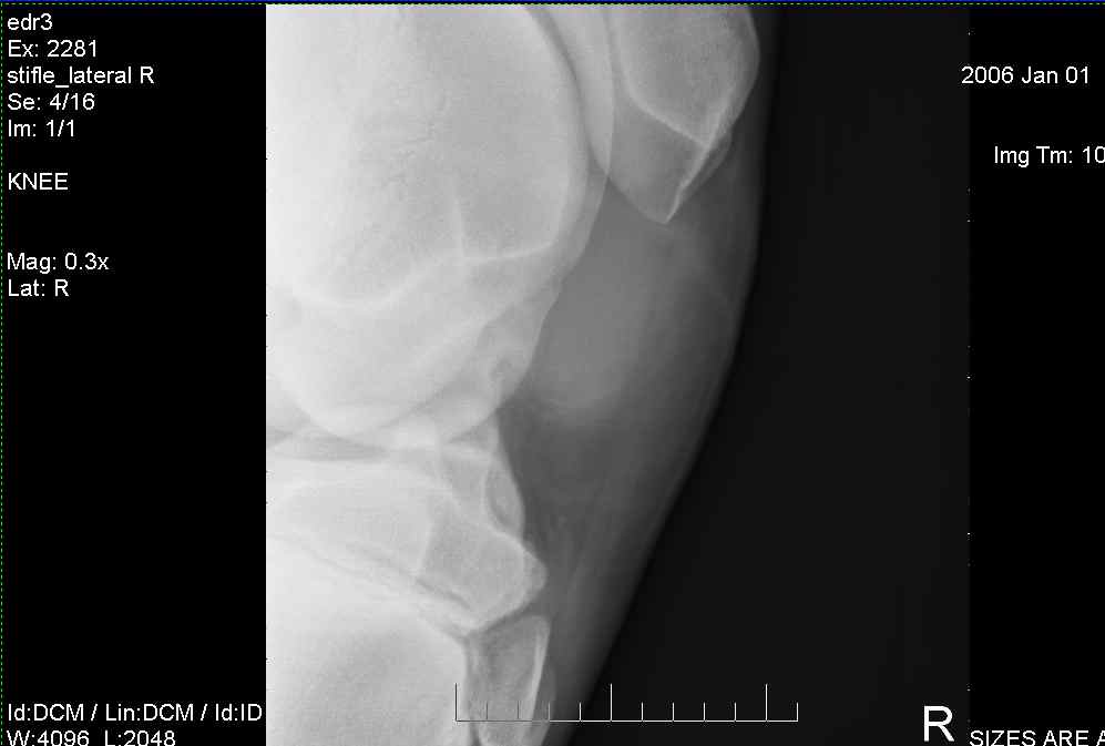
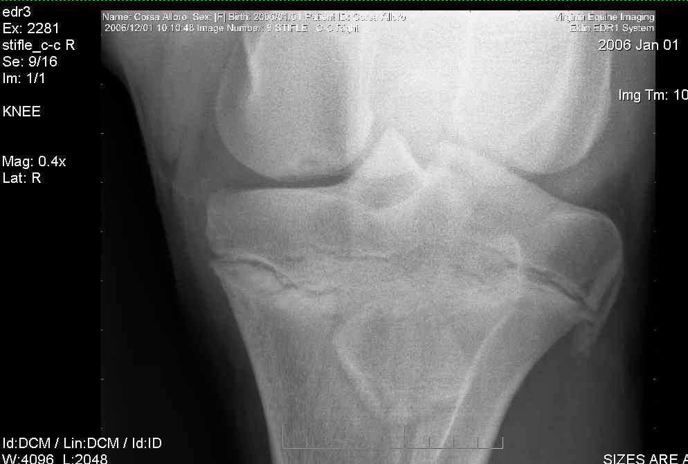
These are x-rays of my 5.5 month old Oldenburg filly, who came up grade 1 lameness in Right Hind stifle. She was diagnosed w/OCDs in both stifles, and recommended surgery when she is 8 mo old. What do you think her prognosis is? How bad are the OCDs, and what do you think her chances of recovery are? Is it good advice not to breed her when she gets older? Her sire, nor dam have a history of producing OCD babies, but this filly has been very large since birth. Are there any supplements I can give her to help improve her condition while we wait to do surgery? thanks much for your comments...

Right stifle-1

Right Stifle-2

Right Stifle-3

Right Stifle-4

Left Stifle-1

Left Stifle-2

Left Stifle-3
Moderator:
DrO

Posted on Sunday, Dec 3, 2006 - 8:23 pm:

Welcome Amy,
I am sorry to meet you over such a serious problem. I am currently traveling so don't have access to my library where I might be able to provide you with more precise prognostic information but the OCD lesions on the trochlear ridges of both stifles are remarkable and often result in chronic lameness with secondary DJD of the stifles. Therefore surgery would be recommended and the prognosis from the radiographs alone would be guarded for future athletic potential but should really wait until the arthroscopic surgery when a better idea of the pathology in the joint can be better characterized. The horse should not be bred because of genetic predisposition for such lesions. Is there effusion (swelling) in the stifle yet?
DrO
Member:
Dres

Posted on Monday, Dec 4, 2006 - 12:24 am:

Dr. O is there anyway you can circle what we are suppose to be looking at..?

On the first day God created horses, on the second day he painted them with spots..
Member:
Watchman

Posted on Monday, Dec 4, 2006 - 10:02 am:

This is how my vet explained the xrays to me: On the first xray, look at the top-left bone (femur). The bottom of it should have a smooth curve going all the way around, but the bottom of the femur shows up darker on the xray, and the edge is sheared off. This lesion is less dense (softer) than the rest of the bone. In surgery, they would take out the lesion (all of the damaged area), and fill it back in new material. The first 4 pics are her right stifle, the last three pics are her left stifle. On the first pic of her left stifle (fifth picture in the post) look at the bottom edge of the bone on the top right. Again, you can see the damaged edges. On the last pic, I think there is another area of OCD showing up on the top-right side. Maybe Dr. O. can better clarify the areas we are looking at if I am incorrect, or if I am missing anything else.

The filly does show alot of effusion on both stifles, much more on the right side. She's had only mild swelling up until Dec. 1, and then we noticed she was slightly lame, alot of swelling on both sides, and very tender during palpation.

She's on 1/2gr bute/daily, and a small dose of Ulcergard for 5 days. I decided to go ahead and wean her from Mom, and she's being kept in a large stall. For long-term pain management I was going to use Devil's Claw, but is there anything else I can use to help? MSM, chrond. sulfates, yucca?

How can I prevent this from happening again in the future if I want to breed her dam again? My vet felt these OCDs were most likely present when the filly was born. Right from the beginning I've made sure she's had the correct copper/zinc, calcium/phosp. ratios, keep her lean in weight, and on 24-7 turnout.
Moderator:
DrO

Posted on Wednesday, Dec 6, 2006 - 11:36 am:

Amy, I know this is not what you want to hear but as there are well established genetic relationships to these type lesions our advice is to not breed horses that have foals with significant OCD lesions unless correctable nutritional or toxic problems are identified and corrected. For more on these topics see Diseases of Horses » Lameness » Joint, Bone, Ligament Diseases » OCD and DOD in Horses.
DrO
Member:
Watchman

Posted on Wednesday, Dec 6, 2006 - 12:24 pm:

Hi Dr. O. - I am trying to get as much information as possible so I can make a decision on what to do with her. I was going to add her to my breeding program, but certainly do not want to make more babies w/OCDs. So, I certainly appreciate your input, good or bad.
Maybe I should consider giving her away if someone else wants to invest in the surgery and then have a really nice riding horse for pleasure use or trail riding. Does it seem like this is all she could possibly be used for down the road? Do you think she has any chances for an athletic career in dressage or jumping (just based off your best guess of these x-rays)? I know that we'll have a better idea once they do the surgery, but if I'm going to let her go before then I would want the new owner to know as much as possible, even if her chances are slim.
thanks much --
Moderator:
DrO

Posted on Thursday, Dec 7, 2006 - 8:53 am:

Amy what we have learned about these lesions is that the radiographs only provide a limited amount of information so an accurate prognosis will have to wait until arthroscopic examination. If you are asking is a athletic career possible, the answer is yes but the radiographs and history suggest a fair to guarded prognosis. Most importantly, what does the surgeon say at this point?
DrO
Home Page | Top of Page | Join Us!
Horseadvice.com
is The Horseman's Advisor
Helping Thousands of Equestrians, Farriers, and Veterinarians Every Day
All rights reserved, © 1997 -
Horseadvice.com is a BBB Accredited Business. Click for the BBB Business Review of this Horse Training in Stokesdale NC