Site Menu:
| This is an archived Horseadvice.com Discussion. The parent article and menus are available on the navigation menu below: |
| HorseAdvice.com » Diseases of Horses » Lameness » Diseases of the Hoof » Overview of Diagnosis and Diseases of the Foot » |
| Discussion on Still a mystery...part 2 | |
| Author | Message |
| Member: Sunny66 |
Posted on Sunday, Dec 3, 2006 - 10:22 am: Computer is acting up... so starting a new threadVet came out yesterday because he was really bad. I was thinking at first 5 out of 10 on the lameness scale, but now I'm thinking more like 3. He wasn't on three legs. What is the scale vets go by? Vet hooftested him, heel pain in left front. LOVED the shoeing, said you can't get farriers to shoe like this anymore. Wedges are to come off, bute until they do, then 5 more days of bute after they are off. If not sound 10 days after wedges are off, navicular series of xrays. He still does not think an mri is needed. Dr.O, he did say that the wedges may have exacerbated the pain if he has navicular. Does this make sense? He also saw him when he was going well, so he was quite disappointed when he saw him. It was so sweet to see the vet say hello to Brave, and have Brave say to him, "fix me please!" Broke my heart... I feel bad not buting him this week! |
| Moderator: DrO |
Posted on Monday, Dec 4, 2006 - 7:37 am: Whether the wedges could be the source of the pain depends on the cause. If the pain is from solar pressure in the heel region like bruising, the wedges would exacerbate the problem. If the pain is from pressure created by the flexor tendon on the navicular structures or the stress on the tendons insertion on the coffin bone this is unlikely if the wedges return the foot to a more normal ap balance.DrO |
| Member: Sunny66 |
Posted on Monday, Dec 4, 2006 - 11:28 am: Thank you Dr. O,He's on bute, one am and one pm...and he is still lame on his turns. I worked him for 40 minutes Saturday morning. He just got worse with work. So I called the vet and he moved some appointments around so he could see Brave. He tested his feet (farrier cut a whole in the pad). He had a consistent reaction to the left, only slight on the right. He checked him for heat, digital pulse, tendons, etc. Then had me work him. Brave trotted as tho he was on stilts, he couldn't pick his feet up fast enough. When I asked him to canter, he kept doing flying lead changes. Vet asked me if I taught Brave how to do that...I said no. I've never seen him this bad. Farrier is going to do him this week, she's trying for today, but we'll see. |
| Member: Mrose |
Posted on Monday, Dec 4, 2006 - 12:08 pm: Aileen, I've not advice; I'm just following your posts. Are you having cold weather now? Our weather has gotten unseasonably cold and I've noticed it's really adversly affected my gelding with ringbone and my arthritic mare, so was thinking it's probably making Brave's problems worse, also, if you're having the same weather.I hope you are able to resolve his problems. I know how frustrating it can be. |
| Member: Sunny66 |
Posted on Monday, Dec 4, 2006 - 1:26 pm: Hi Sara, it's actually picture perfect weather - High 60's. Which actually makes it more frustrating...he was sounder when it was colder. The low was only 34 yesterday and 39 today. He was worse this morning. He was fine in this type of weather 2 weeks ago. He's on adequan every two weeks, glucosamine sulphate daily, and conquer every other day.Thanks so much Sara, I know you know... . |
| Member: Mrose |
Posted on Monday, Dec 4, 2006 - 2:45 pm: Aileen, I envy your temps in the 60's! Winter has come to stay around here. I sometimes long for the days when my horses and I were younger and didn't have so many aches and pains - esp. with the cold!Good thing Brave has you to look after him; I imagine you'll get this resolved eventually. Sure wish I had a magic wand we could all use! |
| Member: Sunny66 |
Posted on Tuesday, Dec 5, 2006 - 10:17 am: Thank you Sara, I wish for that magic wand for all as well...Farrier took the wedges off, I'll post some pics this weekend. He's still off, but I'm going on the assumption that it'll take a little while. |
| Member: Corinne |
Posted on Tuesday, Dec 5, 2006 - 10:53 am: Aileen....saying prayers for the lameness issues with Brave. |
| Member: Scooter |
Posted on Tuesday, Dec 5, 2006 - 12:17 pm: Hi Aileen, I was reading on the farrier and hoofcare bulletin board and came across this discussion on wedging and padding a hoof similar to Braves. It is kinda long, but a very interesting read.https://www.horseshoes.com/forums/showthread.php?t=3853 |
| Member: Sunny66 |
Posted on Tuesday, Dec 5, 2006 - 12:25 pm: Thank you Corinne, he needs all the help he can get it seems.If it is navicular, wouldn't it be more sporadic? Not consistent like it's been since Nov 21? Off to read Dr. O's article. |
| Member: Sunny66 |
Posted on Tuesday, Dec 5, 2006 - 12:37 pm: Thank you Diane, I do know that the farrier centered the foot as best she could, it IS getting better, so I would think in 5 or so more shoeings, he may be more normal in front.I'm feeling much better }after reading your link. I gotta get back to work...thanks so much
|
| Member: Sunny66 |
Posted on Tuesday, Dec 5, 2006 - 3:53 pm: Wow Diane, I didn't realize that post went on forever! I'm only up to page 10 but I love the fact that there ARE farriers out there that really try to learn.Why does every question that has to do with horses have to have 10 different opinions as answers? So far, some have the same view as my farrier, but one seemed to think that wedges are not always a great idea in this case. They got into a little argument, so now I have to go back ... lol. |
| Member: Dres |
Posted on Tuesday, Dec 5, 2006 - 4:33 pm: Aileen, hang in there with Blake and your farrier... you have one of the best retired farriers in the area working with you.. You have the clinic's, in my opinion, best vet coming out too.. Brave is being difficult... Its good to gather info.. but take it as is.. info found to ask more questions from.. Now in with the good / out with the bad... On the first day God created horses, on the second day he painted them with spots.. |
| Member: Scooter |
Posted on Tuesday, Dec 5, 2006 - 5:14 pm: So many opinions and every horse is different! Knowledge is power, so I figure anything I read (taken with a grain of salt) helps me figure out my horses problems, or ask the correct questions. That use to irritate my old farrier, but I am glad I got different opinions and read as much as I could, otherwise Hank would still be lame and wearing shoes he didn't really need. |
| Member: Sunny66 |
Posted on Tuesday, Dec 5, 2006 - 6:03 pm: Hi Ann, I too think I have finally found a good team for Brave. They all really seem to genuinely care about him... and not just my money LOL. Like you said, Brave's being difficult, he's always been difficult to diagnose.What made me feel better is that I "sort of" understood the link!! If nothing else, I think I am FINALLY learning something and it's sinking in my thick skull! Diane, it used to irritate all my old farriers when I would question them. The new one's welcome questions...gotta love that! If Brave needs to be retired, he'll go barefoot, if he doesn't I'm still going to try for it next winter. |
| Member: Kthorse |
Posted on Tuesday, Dec 5, 2006 - 6:44 pm: Aileen, I am so glad that you have Finlay found a good team. Sometimes you need tons of different opinions, thats how you learn. Each horse is different and so many people have different opinions. The most important thing for me is that they listen to you and your concerns and dont just shrug you off. I dont know if you ever read my posts, but I had a big problem with a barefoot trimmer, then I found another who I thought was great. she however did not return my last call. I have been doing it my self. But i am still nervous so I asked my old farrier who I dumped a year ago to check his feet. Fortunately he is a sweet guy and laughed it off. He was ready to trim what I did not want, but when I explained why he did listen. He said I did a great job and actually showed me some tips on checking balance. He told me not to hold the hoof but to hold the cannon and give a little shake and the hoof lines up as its supposed to be. I was amazed as sometimes when you try to hold the hoof and check the balance it looks slightly different each time. He also said to hold a horse shoe against the hoof to find any imbalances. If all farriers were so helpful too show and explain we would not have all the anxiety and non trust that we develop from them. My old farrier knows that I am going to continue trimming myself and does not totally agree with not touching the sole but he will work with me as I said isn't balance the most important thing.I am so happy you found one that will listen. Hoofs are so frustrating. and I am so determined to keep my horse barefoot. With so many against and a couple for it I feel like I am in constant battle. Fortunately my barn is on my side even though they don't agree ,as long as he stays sound they will stick by me. Good luck and I am sure everything will work out. |
| Member: Mrose |
Posted on Wednesday, Dec 6, 2006 - 10:32 am: Why does every question concerning horses have ten differnt answers? A better question would be, why are all horse owners so "pig headed" and why don't they see it my way!
|
| Member: Sunny66 |
Posted on Wednesday, Dec 6, 2006 - 12:17 pm: LOL Sara, I prefer to think of it as passionate, not pigheaded I'm even considering a move to Kentucky so he can have all the space he wants ... A friend just moved there, so I'm waiting for a report on how bad the winters are. I AM a California girl, so I have to be careful what I get myself into Thank you Katrina. I appreciate your input. Checking the balance by cannon and shoe are two things I have seen my farriers do. I'm glad to hear that your boy is doing well
|
| Member: Sunny66 |
Posted on Wednesday, Dec 6, 2006 - 4:11 pm: I’ll preface this by saying that Brave is still on bute (since last Saturday). My petsitter checked Brave for me today. She said he was using himself again at the trot with impulsion, while before he was taking very short strides, I’ve asked her to check tomorrow to see if he is landing heel first.I tried to see last night and it “appeared” that he was landing heel first, but I wasn’t sure. She also said that he trotted into his stall when she got to the barn , neither my boarders nor I have seen him do more than a walk at turnout since the last shoeing. I'm hopeful again. |
| Member: Mrose |
Posted on Wednesday, Dec 6, 2006 - 4:59 pm: Aileen, it sound like Brave is on the "upswing" again. Hooray! |
| Member: Gwen |
Posted on Thursday, Dec 7, 2006 - 8:14 am: I think if we had a contest for the MOST devoted horse owner, it MAY JUST be Aileen... |
| Member: Sunny66 |
Posted on Thursday, Dec 7, 2006 - 10:28 am: Thanks Sara Gwen, if you met him you'd understand. He is truly a horse with a wonderful personality, so expressive, so sweet, so willing...AND he understands English!!! lol I think anyone that is a member here would be "most devoted horse owner"... anyone that keeps looking for answers when there don't seem to be any, anyone who will go into debt for their horses well being, anyone who just wants to make sure they are taking care of their horse correctly, I would consider a devoted horse owner, I believe I have encompassed all who are members here The proposed move to Kentucky is only because I can't afford any more land in California
|
| Member: Mrose |
Posted on Thursday, Dec 7, 2006 - 11:07 am: Aileen, depending on where you are in CA, I'd move to KY in a heartbeat...imo CA is becoming very "unfriendly" towards horses and any ag. related business. Even in "horse country" like Santa Ynez area, you should hear the hoops the local and state governments make people jump through. I think people stay due to either jobs, or the fact they can't afford to move because their property values have gotten too high. (They'd loose a lot in capital gains.)Besides, look at all that wonderful grass land! And, I think you certainly rate "right up there" in devotion. Brave is very lucky to have you...and I bet he knows it. |
| Member: Sunny66 |
Posted on Thursday, Dec 7, 2006 - 12:00 pm: You are correct Sara, California is becoming unfriendly to horses. I'm hoping in the next couple of years the housing prices will go back up and I can sell for a good profit.... Because I do know I will need an indoor arena Don't you only lose in capital gains if you don't buy in two years or something like that? I'd better do some research! Thank you Sara, I still think we all "rate right up there" in devotion
|
| Member: Mrose |
Posted on Thursday, Dec 7, 2006 - 1:12 pm: Aileen, you have to buy a home of equal or greater value, which if you sell a home in So. Cal. and buy one in E. Tx. for instance, you have a hard time doing. I'd be sure and check with a good CPA or tax lawyer as the gov. changes the rules pretty often and I could well be behind in my info. |
| Member: Scooter |
Posted on Thursday, Dec 7, 2006 - 4:17 pm: Aileen come on up to the frozen, hilly tundra of NW Illinois. Ca. sounds pretty good right now! Real estate is pretty cheap around here (comparatively speaking) I need someone to ride the hills with.Our 35 acres, with a modest new ranch home and a small barn and all fenced was around $240,000. Our wages around here aren't the greatest so it is alot to us locals. The Chicago people are buying land up like crazy and moving here. They even have a resort for them on the outskirts of town! |
| Member: Sunny66 |
Posted on Friday, Dec 8, 2006 - 10:41 am: Thank you Sara, I will do that Diane, the price is certainly right! How much snow do you get? I'm single and need to do everything myself, so I'm not looking for more work ... lol... My horse isn't back to himself yet but my petsitter says he's sound (disclaimer: she's told me many times that lameness isn't her forte), ...I can't wait for tomorrow so I can see him. |
| Member: Scooter |
Posted on Friday, Dec 8, 2006 - 11:08 am: Aileen, I'm not single but I do everything by myself, including calving. The snow varies, most years it isn't bad. We have had some good ones tho.Glad Brave is on the mend! |
| Member: Sunny66 |
Posted on Saturday, Dec 9, 2006 - 2:43 pm: Calving??? You must be much stronger than me He is much better on his tight turns. I don't see any of what I saw before, which was him trying to keep his weight off his feet in the turns. He does it much slower and much more even. At the trot, same short strided trot to the left, better on the straight, but non existent on the turns, he literally stops all forward movement but his feet are still moving (no, not a piaffe ... lol) You should have seen me standing in the rain with him on the lunge with my head in my hands... what a sight. To the right he is sound all around right away...usually this is the side where his arthritis flares up and he needs a significant warmup. So to summarize, much better, but still not sound. Dr. O, in your post above you said "If the pain is from solar pressure in the heel region like bruising, yes this is possible." Due to the above report, would you say there is a possibility it is just a bruise? He is flat footed, and is now starting to get a bit of concavity, but not much. My friend said that if he is bruised, it could take up to 8 weeks for the bruise to grow out. Does this make sense to you all? Vet won't be in for a few days, but I put a call into him with the above report. |
| Member: Sunny66 |
Posted on Sunday, Dec 10, 2006 - 12:49 pm: Left front
|
| Member: Sunny66 |
Posted on Sunday, Dec 10, 2006 - 1:08 pm: Right front
|
| Member: Sunny66 |
Posted on Sunday, Dec 10, 2006 - 1:12 pm:
|
| Member: Sunny66 |
Posted on Sunday, Dec 10, 2006 - 1:13 pm: Didn't think I'd be able to get these pics up!! Silly computer.The pics above were taken after the wedges were taken off. |
| Member: Kathleen |
Posted on Sunday, Dec 10, 2006 - 1:36 pm: Hi Guys,About selling property in CA and buying elsewhere, I believe that you can now sell and either not buy or buy lower (as we did this last time) and you have a total of 'x' amount you can keep from claiming. It adds us as you sell and buy. That is the way it was explained to us by IRS (during audit! yuck). If you sell for $250,000.00 and buy for 150,000.00, then you have used up 100,000.00 of the 'x' amount. As far as down the road as you sell and buy again, you need to talk to a CPA, but the bad ole government did change it, and for the better it seems. Kathleen |
| Member: Scooter |
Posted on Sunday, Dec 10, 2006 - 1:46 pm: Aileen, again take this for what it is worth. In the new pics I think he looks much better. Not weighting his toes so much. |
| Member: Sunny66 |
Posted on Sunday, Dec 10, 2006 - 7:49 pm: Thank you Kathleen I appreciate your input, I don't plan on moving for 2-3 years or so...depending on the market. Hi Diane, I think his left looks much better, but I'm a bit concerned about his right. To add more confusion to this, I talked to my petsitter today and told her what I found. Her take was that he was sound going to the LEFT, and doing that trot with no forward motion to the RIGHT. Completely opposite from what I found on Saturday to the "t". Alternating lameness is a sign of navicular. The last xrays we took re: navicular series were when this whole thing started in June of 2004. I wanted to rule navicular out. The findings then were that there were small changes that were consistent with his age, and nothing to be really alarmed about. He never had heel pain when tested over the last two years, until last week. I'm finding it hard to have patience again, but I've been told that IF he does have navicular, the treatment is the same. Balance the feet. That's what we're doing. The only good news I have today is that he has been off bute since Friday night, and thought it would be fun to canter about... it was nice to see him wanting to move again
|
| Member: Sunny66 |
Posted on Monday, Dec 11, 2006 - 4:38 pm: Vet just called and was encouraged by my report, he said to look at the glass half full ... lol...ya think he knows me!??I was basing his soundness on how he was before the shoeing, but he said any improvement is better than none, and the fact that his tights turns are better and that he cantered on his own is better than not wanting to move at all. He still is attributing this to the shoeing, why or how, who knows, but something did not sit well with Brave and we're all guessing it's the wedges. He wants him back on bute for five days (5 days of bute, if not better, bute again, etc.) to ease inflammation if it's a bruise. He said it took him 10 days to get this bruise (if it is a bruise) so it will take a few weeks at least to see some improvement (willing to go forward at all gaits and directions). I'm to gauge his progress and keep him in light work. After the next shoeing (Dec 27) if he is still not better, vet will block his heels to a get a more definite diagnosis, if he blocks out sound, then we will go forward with Nav xrays. |
| Member: Mrose |
Posted on Monday, Dec 11, 2006 - 8:52 pm: Aileen, I think what your vet says makes sense - about Brave and about looking at the glass half full. |
| Moderator: DrO |
Posted on Tuesday, Dec 12, 2006 - 6:46 am: Your vet has addressed the questions you posed above Aileen and these feet without the wedges look in better balance than they were back in Nov.DrO |
| Member: Sunny66 |
Posted on Tuesday, Dec 12, 2006 - 10:45 am: Thank you Dr. O, have I told you lately what a wonderful thing you're doing? Your input to confirm, correct, or deny is so valuable to me right now. I really do thank you very very much for starting HA.Sara, thank you, you are right... I must change my outlook once again. |
| Member: Sunny66 |
Posted on Monday, Dec 18, 2006 - 11:54 am: After checking him off bute, he's back on it again. He's headbobbing now on the short sides of the arena, but sound on the straight. His VERY short strides on the short side did seem to improve, a tad bit longer in his stride, but I think that with the headbobbing, he's worse. Is that a correct assumption?It's consistent... so that's a mark against navicular, right? With bute he was tentative but not headbobbing on the long or short sides, the tentativeness seemed to get better after about 5 minutes, then I quit. Hoping it's arthritis, COLD snap right now. I so wish he didn't have so many issues! I'm calling the vet this morning to see if I can get him and the xray guy out on the 27th for nav series (at the least we'll get a farrier series if he gets better). |
| Member: Sunny66 |
Posted on Thursday, Dec 21, 2006 - 12:38 pm: He's better, not sound, but much better! Last time he was on bute was Wednesday night... Saturday the blocking/xrays...then hoping the farrier will be able to get out soon to shoe him... hard to say with Christmas around the corner! If it's nav, could not having shoes on for 4 or 5 days be a really bad thing?Thank you! |
| Member: Scooter |
Posted on Thursday, Dec 21, 2006 - 2:12 pm: Hi Aileen I sure hope you get this solved! imho I don't think being barefoot will hurt anything as long as you don't work him on hard ground, heck it might even help him . Is he barefoot right now? If he's much better maybe you should consider leaving him barefoot and have him trimmed every 4-5 weeks. It might help to get those toes back where they belong a little faster.
|
| Member: Sunny66 |
Posted on Thursday, Dec 21, 2006 - 6:33 pm: Thank you Diane, no he's not barefoot... vet, farrier and farrier consultant all say he's not ready... yet. So we'll see.Thank you for your thoughts...please hope for just bruising... My friend said that I could just lock him in his stall with deep bedding until his shoes get put back on... he won't be happy, but such is life
|
| Member: Sunny66 |
Posted on Saturday, Dec 23, 2006 - 5:11 pm: Right front Left front
|
| Member: Sunny66 |
Posted on Saturday, Dec 23, 2006 - 5:25 pm: Vet saw right fore, so he blocked right fore heel and he was "sounder" -- still off on left fore after block.Did the navicular series (won't post all of those unless you want to see them) xray guy said (after some prodding from me for info since the vet had left 45 minutes before for an emergency) he didn't see anything that popped out to him as awful. Coffin joint looked squished on both front feet on the OUTSIDE... I think THIS is his problem. Waiting OH so patiently for the vet to review, he promised he'd call me today. |
| Member: Sunny66 |
Posted on Saturday, Dec 23, 2006 - 5:49 pm: The xrays were taken with shoes off... so he's out of alignment with shoes off... so what would it take to get him in line? Anyone want to guess? I've emailed the farrier consultant the xrays... so we'll see what he says too. |
| Member: Sunny66 |
Posted on Saturday, Dec 23, 2006 - 10:13 pm: Brave is being given another year off. I will continue to address his feet, and start him back on Cosequin (he's been on glucosamine sulphate for the past 7 months). In a year, we'll see what happens.My vet wants to speak with his surgeon before giving me any absolutes, but he thought giving him a year off was a great idea ... and I think he was glad I said it without him having to say it. Dr. O, I just want to thank you so much. If it wasn't for this website, I would have never met the many wonderful people here... one in particular... Ann ... she's been there for me and recently has made me feel so much better by potentially finding a horse for me to lease while Brave is at pasture. If this horse doesn't work out, Alona is also back up for lease, so at least I'll be able to ride. Thanks again everyone... if he has to be a pasture pet, at least he's handsome and silly and sweet... not to mention an easy keeper and btw... I think with just the frog pad support and shoe, he'd be back in alignment
|
| Member: Scooter |
Posted on Saturday, Dec 23, 2006 - 11:30 pm: I'm sorry Aileen! Sometimes it takes pasture rest! Keep at those feet and don't let him get too fat.Hank had a year off while I got his hooves better and he was nqr for that long. Lucky for me I had Muddy Sam for a back up horse, but Hank is my favorite to ride. It was worth the wait and as you know he is now sound and barefoot. There is hope The only thing I see in the X-ray is his toe looks a little long yet, but it all takes time. Good Luck and keep us updated please. |
| Member: Quatro |
Posted on Sunday, Dec 24, 2006 - 12:38 am: Aileen, boy, looking at your x-rays compared to Levi,(bute or banamine) and I think Levi looks awful. He is still not really sound walking or trotting, but seems happy, and not really working, so I am hoping we can keep working on getting him straight. Good luck with your boy.suz |
| Member: Sunny66 |
Posted on Sunday, Dec 24, 2006 - 9:33 am: Thank you ladies, he's got a bunch of small holes in his navicular. Vet said we could inject the coffin joint/navicular bursa, he said he normally he'd ask to put a wedge on for the navicular, but he saw that he was worse with the wedge so he'll talk to the farrier consultant. He also said we could put him on iso - something but wants to wait for the surgeon's thoughts.I think that until he gets him some heel, injections might not work very well. So pasture rest it is. Susan, it really does depend on the horse, hang in there, Brave is a very sensitive soul so that may be why he's having so many issues. Dr. O, no one seems to be advocating barefoot on my team. Have you seen a navicular horse go barefoot successfully? |
| Member: Frances |
Posted on Sunday, Dec 24, 2006 - 12:13 pm: Aileen, I'm so sorry to hear you have another year to wait for your boy - after all the patience you've already shown . Keeping my fingers crossed for you that the horse Ann's finding works out. By the way, the iso-something is probably isoxsuprine - you can find it under medications on this site. DrO doesn't recommend it. Merry Christmas! |
| Member: Sunny66 |
Posted on Sunday, Dec 24, 2006 - 1:01 pm: Thank you Lynn,Patience?? What patience?? lol Thanks for the heads up on the isoxuprine.I hope this horse works out too. Only problem is the only stall I have available gets very wet when it rains... so we'll see. Dr. O, I was reading your article and it seems that correcting his feet, and coffin joint injections are really the only viable options I have. Since the navicular bursa injections only last 5 months, I'm not sure if I want to do that. Mr. Sensitivity will most likely react to the Capsaicin. Do the coffin joint injections have healing effects? I'm considering doing these now to make him more comfortable. |
| Member: Sunny66 |
Posted on Sunday, Dec 24, 2006 - 1:33 pm: Farrier consultant suggested barefoot! He said he saw no reason from the films I sent him (not all of them) for him not to be able to go barefoot. He said he has a ton of sole.He did say, however, that the vet may see something he doesn't... so shoes for now, but once the surgeon sees the xrays and vet agrees it can't do him more harm, we may give it a go Farrier comes on Tuesday, no wedges, just a trim and reset. |
| Moderator: DrO |
Posted on Tuesday, Dec 26, 2006 - 7:42 am: If a horse has a good foot I don't see why they could not go barefoot Aileen, I just don't see many horses with chronic heel pain synDrOme that have a good foot. You should not dismiss the IA injections, there are no set times for how long they will work and sometimes horses go several years between injections or longer.And lastly nerving is an alternative in horses with no evidence of a degenerative disease on radiographs, there is more on this in the article on navicular synDrOme. DrO |
| Member: Sunny66 |
Posted on Tuesday, Dec 26, 2006 - 8:37 am: Thank you Dr. O,The consultant was suggesting barefoot while he's retired, not necessarily when he gets put back to work next year. Due to the fact that he's pasture sound (comfortable as long as he doesn't trot and silly and full of energy) barefoot, I may just do that, but we'll see what the vet/surgeon says. Thanks again, it is highly likely he will get the coffin joint injections.
|
| Member: Sunny66 |
Posted on Tuesday, Dec 26, 2006 - 8:43 am: One more question??? yes, I know, that's a lie Vet said that while he's retired I could take him off Adequan and conquer but keep him on cosequin. Conquer isn't that expensive, so I was considering keeping him on the conquer. Any thoughts as to what maintenance he should be on while retired? |
| Member: Sunny66 |
Posted on Tuesday, Dec 26, 2006 - 10:41 pm: I received an email from the farrier consultant. He has spoken at length to my vet (on Christmas Eve, no less)about Brave... now I just have to wait for the vet's call... pins and needles... |
| Member: Sunny66 |
Posted on Wednesday, Jan 3, 2007 - 10:31 am: Brave has a severe case of navicular. Vet does not believe he should be a riding horse, however, he did say that Brave is not shy of telling me how he feels, so I could ride him at the walk and see what he thought about that.I still plan on giving him off until Spring. I won't try to ride him until then. He is sound at the trot to the left, better to the right, stride was 1.5 feet instead of inches, as of January 1. Vet did say he was worse on the right. He felt that all four of Brave's legs are compromised in some way, so while we could aggresively go at it, we may just end up fixing one thing to have another thing pop up. I plan on injecting his hocks in the next month or two, but the vet did not feel that injecting his front feet would help, well it may, but we may end up doing it every two months. He said he'd do that if I wanted. He really thinks he should just be retired, but walking around on him (only when sound at the walk) would be good for his mind and make him feel useful. Dr. O, have you heard of a rock and roll shoe? Is it the same thing as the rollermotion shoe? Vet suggested the rock and roll shoe but the farrier has to do a lot of work. If the rollermotion shoe is the same, then she wouldn't have to work so hard. Thank you. |
| Member: Frances |
Posted on Wednesday, Jan 3, 2007 - 11:00 am: Oh Aileen, I'm so sorry to hear this. But you know, with plenty of time off he may improve more than anyone expects. I had a VERY gloomy prognosis from my vet regarding my mare's suspensory desmitis at one stage in the rehab - just shook his head and said it wasn't healing as it should, and probably wouldn't. Not to bother with Adequan etc as it really wouldn't make any difference. Well now I pretty much have my horse back as long as I'm really careful not to overdo things. And I know of many other cases where horses recovered with time, when noone thought they would.If Brave is sound at the trot to the left, and not too bad to the right, can it really be such a severe case? Let's hope with rest and turnout and good trimming he'll surprise us all! Thinking of you - and I recommend a good bottle of wine in the seasoned HA tradition at these times. Lynn |
| Member: Stevens |
Posted on Wednesday, Jan 3, 2007 - 2:26 pm: Aileen,Good news that you have a diagnosis at long last. If you can afford to continue his supplements at the current level, that's what I'd suggest. If not, you may want to consider a gradual reduction to see how much is enough for Brave to be comfortable. Good Luck, Chris |
| Member: Sunny66 |
Posted on Wednesday, Jan 3, 2007 - 3:20 pm: Thank you Lynn and Chris,Lynn, I wish I could have hope like you do! But I don't think that time can heal bone. His normal trot strides are about 3 feet, while the improvement was really good, he's still far from sound. Now I have to make him into a trail horse... anyone want to volunteer for that job??? lol Chris, yes, finally, of course not what I hoped, but so be it. I'm not a great rider anyhow, so I have plenty of work to do at the walk, maybe this summer, I'll try my balance bareback, only if he loses weight though, I'd roll right off him otherwise... I've started him back on Cosequin and while I think the result was a little quick, he did seem to improve in two days. So I'll stick with the Cosequin and conquer, but most likely reduce the adequan to once a month. |
| Member: Scooter |
Posted on Wednesday, Jan 3, 2007 - 3:23 pm: Good luck Aileen, keep us updated on how he is doing. I'm still trying to make Hank a trail horse, never a dull moment! |
| Member: Quatro |
Posted on Wednesday, Jan 3, 2007 - 10:15 pm: Let us always keep hoping for the best with our horse friends. You have been so persistent in getting to the bottom of Braves problems, at least you have an answer to work with now.Levi will never be much of a worker horse, but then he is a spoiled rotten, expensive lawn ornament as it is. It does not make us love them any less for their imperfections. I often wonder why I had to have Levi with his problems, and then after talking to other "horse people" who told me "you better get rid of him fast" when I told them of his rotation problems, I realized that is why the universe sent him to me. I will cherish him, and all of his problems forever, as I know you will Brave! They are lucky critters to have such loving "horse moms". Give him a hug for all of us! suz |
| Member: Gwen |
Posted on Thursday, Jan 4, 2007 - 6:08 am: Oh Aileen, that is sad news. But like someone else said, it must be good to know for sure. I too am trying to make an unsound horse into a trail boy. Wouldn't it be funny if we got all of our "trail horses" together for one big dysfunctional ride?? Keep your chin up!!
|
| Moderator: DrO |
Posted on Thursday, Jan 4, 2007 - 7:47 am: Well, not a surprise with the chronic nature of the lameness but what specific lesions does he have Aileen?I have not seen a rollermotion shoe but rockering the solar surface of the toe and rolling the front are commonly used to ease breakover in horses with chronic heel pain and well described in our article on navicular synDrOme. DrO |
| Member: Sunny66 |
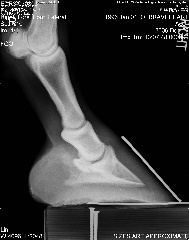
Posted on Thursday, Jan 4, 2007 - 10:35 am: Thank you, you all have warmed my heart He played with each and every one of his toys yesterday....they were EVERYWHERE .. lol... so yes, I think he's happy The vet said I could try two things. The first is the shoeing... the only different thing we'd do is expand the shoe so it didn't wrap around his heel. His current shoe (that he's had since November 21) wraps around his heel, the September/October shoe did not. This happened before (about 6 months or so ago) and he went lame, I had her adjust the shoe so it didn't wrap around and he went sound. It's a reach, but the vet says it's worth a shot for one shoeing. Then we go to the rock n roll or rollermotion (only if the vet approves). Thank you Dr. O, I will print out your article and show it to my farrier. He didn't tell me what lesions he had. Here are a couple of xrays: Right front skyline Right front
|
| Member: Frances |
Posted on Thursday, Jan 4, 2007 - 12:07 pm: Well, I think bone does remodel, although I don't know specifically in the case of the navicular bone. But a book I have says: "In some horses with the navicular synDrOme there is evidence of increased bone turnover within the bone. This may represent a regenerative process." I do believe there's a lot that the right trimming can achieve too.Anyway, trail riding can be great, and, as you say, there's a lot you can do in walk. Stay positive, as you have all along! |
| Member: Sunny66 |
Posted on Thursday, Jan 4, 2007 - 12:41 pm: Really? It does?? Which book? Wow. thank you Lynn
|
| Member: Paardex |
Posted on Thursday, Jan 4, 2007 - 1:52 pm: Aileen so sorry to hear the diagnosis you got for Brave.I am even more sorry you live so far away at the moment I seem swamped by horses who could definitely use excercise! Still if you ever visit France you know where to come for a ride! Jos |
| Member: Sunny66 |
Posted on Thursday, Jan 4, 2007 - 3:45 pm: Thank you Jos, since its possible I may stop having so many vet bills, I just may take you up on that in a couple of years Thank you.
|
| Member: Frances |
Posted on Friday, Jan 5, 2007 - 8:12 am: Aileen, the book is named for its original author, who wrote it in 1877! However, don't throw up your hands in disgust; this is the 2002 edition, authored by 43 qualified (and LIVING!) equine vets of various specialties.It's called "Veterinary Notes for Horse Owners", by Captain M. Horace Hayes. It also says: "No single treatment alone is uniformly successful. A number of the treatments outlined can together produce marked improvement provided that there are no erosions on the flexor surface of the bone as these merit a poor prognosis." Don't know what Brave's radiographs showed exactly? |
| Member: Sunny66 |
Posted on Friday, Jan 5, 2007 - 10:13 am: Thank you Lynn Dr. O, can you tell by these xrays if there are erosions on the flexor surface? What is the flexor surface? Thank you. |
| Member: Mrose |
Posted on Friday, Jan 5, 2007 - 11:20 am: Aileen, I'm just catching up on your thread. I'm glad you finally have a diagnosis; although it certainly isn't what you were hoping for, it could be a lot worse. Brave may respond well to being riden slowly; it sounds like it would benefit both of you.I have the same book that LL has, but an older addition. I need to go read more of it. I too would like to know about bone healing. In people bone can become more dense and "fill in" with supplements, weight bearing activity, proper diet, etc. Would calcium supplementation help? Dr. O? |
| Member: Canter |
Posted on Friday, Jan 5, 2007 - 1:07 pm: Sara, you bring up an interesting point. I wonder about the drugs known as bisphosphonates, which actually build bone (prescribed for older women w/ osteoporosis, 2 brand names are Boniva and Fosomax). I wonder if these would help a horse with navicular. Wild speculation here as I doubt there's been any type of research on the effects in horses and to be effective they must be taken with calcium and Vitamin D.Anyhow, I'm glad you have your answer, Aileen, but I'm sorry that it is such a sad one. Wishing you and Brave the best. |
| Member: Paul303 |
Posted on Saturday, Jan 6, 2007 - 12:49 am: Aileen: My mare was diagnosed with navicular synDrOme around 1986. I remember still, how devastating it was to get the news. So much more is now known about navicular. Goodness! I just realized that it's been twenty years that have raced by since then. I leased her mother and bred her to a stud I picked....she was bred for reining. My only shot. Born in 1980, by 4, her occasional odd way of moving was raising alarm bells. Since she showed little enthusiasm for reining ( no wonder ), she was slated for pleasure, and did very well....yet...I just could feel that things weren't quite right. When she was 5, the "head bob" to the right, became apparent and I began chasing a diagnosis.Over twenty years, I've had my ups and downs with her shoeing schedule, new treatments, lapses in her schedule due to illness in my family, and barn owners who didn't believe in bute "'cuz it sets 'em nuts!!" Her sole has been rockered and her toes rolled since sometime in the nineties and there has rarely been a time that she was unrideable. She got really good when we moved from mountains and rocks to flat sand. She kept improving, and we rode her more, and she kept improving. Then ( closeyoureyesandholdyourears, Dr.O ), I discovered magnets. Bought a pair for her front feet. She SEEMED to get even better. I started leaving the magnets on a lot and she began flying around and playing with the other horses performing her old intricate rollbacks and slidestops along with handsprings and backflips with flatulent exuberance. Shortly thereafter, she bowed a tendon then developed a slight bow in the other front leg despite the fact that we wrapped both front legs. My vet could not believe that a 21yr. old navicular mare could bow a tendon. Now, I can't say it was the fault of the magnets, but I never used them again. She's 26 now, old enough to have Cushings and arthritis...but she still loves to go out walking or jogging lightly on the trails, and is careful to execute only 1 or 2 itty bitty slide stops and some cantering if we ride out without her. So you see, Aileen, there IS life after navicular. |
| Moderator: DrO |
Posted on Saturday, Jan 6, 2007 - 8:36 am: Lee, I could not help myself so I peaked, in my opinion neither the improved condition or the acute bow are likely to be do to the magnets.Aileen there is a suspicious spot in the navicular's flexor side, just medial to the midline and I almost think I can see a actual defect in the surface but this may be artifactual. It is the darkening seen in the bone just to the left of the light pointy down area in the middle of the radiograph. When I get in the office on Monday I will view it on my large screen and see if I can put an error on it. DrO |
| Member: Sunny66 |
Posted on Saturday, Jan 6, 2007 - 9:16 am: Thank you Lee and thank YOU Dr. O I think I see what you're talking about. He seems to be doing ok... can you say fiesty?? Chasing and lunging at the horse next to him whenever I'm around...Maybe he is very stoic and he's been trying this whole time? To get this sort of news and still see him silly makes my heart feel good... He's still very sore going down hills tho. Here's to hoping the shoeing corrects this! Dr. O, is there any reason now to give him the full year off? Could I just start riding him in the spring and see how he does? I will confess to looking at a horse to buy, but (due to Lee's post) I'm leaning toward not leasing or buying a horse until I see what he can do, seem reasonable since he's still bright eyed and bushy tailed? |
| Member: Sunny66 |
Posted on Saturday, Jan 6, 2007 - 9:19 am: Thank you Sara and Fran, I too would be interested to see if supplementation would be of benefit... Perhaps Brave could be a test case if it won't hurt him at all... |
| Member: Mrose |
Posted on Saturday, Jan 6, 2007 - 10:03 am: I have just learned something, which is bone has to have periostium (right term?....that thin membrane covering it) in order to regenerate because that is the only way nutrients are delivered to the bone. I had thought that all bone was covered with this, but just learned that some bones don't. I don't know if the navicular does or doesn't.I assume that increasing the density of the bone would be the same as regenerating bone; is this a correct assumption? |
| Member: Dres |
Posted on Saturday, Jan 6, 2007 - 10:41 am: I say look at the horse.. put the wheels in motion.. for sure Brave will be sound if you do..On the first day God created horses, on the second day he painted them with spots.. |
| Member: Paul303 |
Posted on Sunday, Jan 7, 2007 - 2:11 am: Aileen, the changes in the bone of my mare were very obvious when the vet pointed them out. Her right foot was worse than her left. But I've kept after her religiously and have her x-rayed about every 6 years or so. Surprisingly, she's had no further breakdown since the late eighties. The main thing is the farrier schedule, and keeping it as frequent as possible. The tip off with my mare is when she starts pointing that front right. I know then, that her angles are growing out and she is becoming uncomfortable. We've got things so fine tuned with the farrier now, that he is usually due very shortly if the pointing occurs. We also book months in advance with him, so that we never have to wait. It's been easier for everyone to keep my other two horses on the same schedule, and their feet are in excellent shape. |
| Member: Sunny66 |
Posted on Sunday, Jan 7, 2007 - 9:12 am: Thank you Lee, He's been on a five week schedule, and he wasn't lame nor pointing before the shoeing, just a wee bit not quite right. He has been moved to a four week schedule she's coming out on the 22nd I think.Reading my last post, it reads as tho I'm in denial, I'm in no way denying the severity of this diagnosis and will keep up his shoeing. Thank you Ann, keep your eyes open for me I may need your help come fall.
|
| Member: Sunny66 |
Posted on Sunday, Jan 7, 2007 - 6:08 pm: I AM in denial... I took a pic of his shoe today, there is no difference from the September shoeSep Shoe Nov Shoe He's lame again on his turns. No wonder I wanted to get another horse. You know, I feel like I'm being petty here... there are so many of you here that have worse issues going on with your horses. I'm sorry, I just have to get this pity party over with. |
| Member: Dres |
Posted on Sunday, Jan 7, 2007 - 6:17 pm: Did you go look at that horse today>???On the first day God created horses, on the second day he painted them with spots.. |
| Member: Sunny66 |
Posted on Sunday, Jan 7, 2007 - 6:26 pm: No I didn't... |
| Member: Juliem |
Posted on Sunday, Jan 7, 2007 - 9:30 pm: When you took the picture of the Nov. shoe (is that the one on the bottom?) how long had they been on? It looks as if that shoe was just reset from the Sep. shoeing if the top one is the September shoe. To me it looks as if the breakover is still too far forward, although hard to tell just looking at the sole shot. I think long toes contribute to navicular pain. Can't remember if you've tried barefoot and with what results, but it would make it easier to keep the toes backed up and rolled to facilitate breakover. I have no idea if that's contraindicated with navicular synDrOme. Also, what about a natural balance shoe? It cannot be applied like a convention shoe, and is best done by a farrier trained to use them and familiar with the inner structure of the hoof. Applied correctly it would move the breakover back and give heel support. While I don't believe every problem can be fixed by keeping the horse unshod, Pete Ramey and Jaime Jackson have both written books that essentially make that case. Since you are planning to give him a year off, I'd be tempted to try barefoot, get those toes backed up (that will help him grow better heels I think), and keep them trimmed or at least rasped every four or five weeks. If you can access some natural hoof care reading material, it will give you a lot to think about and a pretty good idea of the hoof mechanism and dynamics. Id stay away from things like the "Strausser Trim" that to me seem invasive. I do have friends with horses that have navicular synDrOme and they have learned to rasp the toes back frequently and trail ride their horses barefoot. Maybe I'm just trying to make a "one size fits all" comparison, but I sense you are about out of shoeing options and your team is not totally adverse to trying barefoot. You can always put shoes back on if he's still uncomfortable after a couple of weeks. If you do try, don't have the farrier do just a regular traditional pasture trim. Roll that toe and shorten it. It will look odd to someone whose eye is accustomed to traditional, but it may just help. Of course, don't do anything until Dr. O and your own vet give you their opinion. I'm sensing your frustration and thinking maybe a change is in order. |
| Member: Sunny66 |
Posted on Monday, Jan 8, 2007 - 2:54 pm: Thank you Julie,The Nov shoe has been on since Nov 21. The September shoe was reset in October, so he had the same shoe the entire time he was sound. I want that back! However, I've received a quite nice but kickin' and I feel much better now. My vet is adverse to going barefoot, but no one else seems to be. Only Lee has told me of a success story with shoes, all the other stories I've heard were after the horse went barefoot; however, I do not know the extent of the navicular for all the barefoot success stories, so that may be my vet's point, Brave's navicular is severe. I'm going to talk to my farrier, but I think first they want to try a rock and roll shoe, they've seen great success with this shoe. He was just fine while he was barefoot for 3 days. Not the first day, but the second and third days he was fine as long he wasn't on hard ground. Even on rocks he was not even flinching. My farrier saw that and suggested a trimmer even... but what the vet says goes. Thanks again
|
| Member: Scooter |
Posted on Monday, Jan 8, 2007 - 5:16 pm: Aileen, I feel your frustration, I had the same problem with the differing opinions with Hank also. Vet saying one thing, the farrier another. There are so many opinions on navicular it's scary. We had one horse at the barn that the vet said he would never be ridden again, according to the x-rays. The owner got a different farrier, put him barefoot and uses him for cattle now. So you just never know.I finally decided to go with what made Hank comfortable, taking into consideration everyones opinion....especially Dr.O.'s. In the end the horse will tell you. Why can't you have the shoe he was sound in back? Why does your vet not want him barefoot? I would definately be asking alot of whys and why nots. Good Luck and keep asking. As my vet said, in the end you are the owner, and your horses advocate Diane! That got the wheels turning
|
| Member: Scooter |
Posted on Monday, Jan 8, 2007 - 6:06 pm: P.S. The first vet and the old farrier BOTH said Hank would never be sound again without shoes and pads + 1 gram bute a day. Those comments about broke my heart. As you know Hank doesn't have nav., but he does have rotation, which can be just as dentrimental. That's when my shoeing bruised feet post started. Keep picking Dr.O.'s brain he will lead you in the right direction. |
| Member: Sunny66 |
Posted on Tuesday, Jan 9, 2007 - 11:10 am: Thank you Diane,I don't know why I can't have the shoe he was sound in back... and I don't know why the vet doesn't want him barefoot. I have to wonder if he's seen some bad things happen and just doesn't want to tell me? I don't want to bother him too much about it, when I asked him he seemed a bit frustrated and just said "no, not for Brave". |
| Member: Sunny66 |
Posted on Wednesday, Jan 10, 2007 - 10:21 am: Hi Dr. O,No one can seem to understand why my horse is going through all this. A while back, a vet told me (can't remember which one) that if his cancer were to metastacize it would most likely affect his bones. Would this be something (albeit farfetched) that may explain all this? Or am I just blessed with a horse that has degenerative bones... (hock spurs/changes, stifle bony changes, bony changes above the pastern joint, and navicular ... all, but the hock changes, in the last two years)? This seems excessive to me, he'll be turning 14 in April. If this theory is not farfetched, is there anything I can do for him, aside from keeping his immune system up, that could help him? Also, he was VERY sore the last two nights, we're going to be getting one heck of a cold snap...how much bute can I safely give him? He's on one am and one pm right now. Thanks. |
| Member: Sunny66 |
Posted on Wednesday, Jan 10, 2007 - 12:09 pm: Forgot... his cancer was/is apocrine carcinoma, very rare in horses I guess, so no one knows much about it... |
| Member: Stevens |
Posted on Wednesday, Jan 10, 2007 - 2:00 pm: Aileen,I can't remember so please refresh my memory; is Brave a quarter horse? The reason I ask is that my quarter horse boy that went through a similar experience also had degenerative joint disease in his hocks. This showed up when he was only 7. The last vet that diagnosed him speculated that his joint problems were likely genetic. When you say "changes in the last 2 years", are you comparing current radiographs to a series of baseline radiographs/ultrasounds/diagnostics taken 2 years ago? Or are you referring to what would be "changes" from the expected norm of what his bones should look like or "changes" in his soundness? If his pain has been localized to his heel, you may want to talk to your vet about a neurectomy. I'm sorry things are going so badly for you and Brave. Chris |
| Member: Sunny66 |
Posted on Wednesday, Jan 10, 2007 - 3:52 pm: Thanks Chris,Well, he's a paint/Arab cross, so sort of a qh... None of his siblings have any problems that I know of... 1 full sister and 2 half sisters I think... Xrays taken in June or July 2004 show slight nav changes consistent with his age...but new xrays show severe nav. Hock xrays had changes in 2002, little more changes but nothing significant in 2004, spur showed up last year. No bony changes on pastern as of jan 2005, but there last month. Nothing to compare for the stifle however... Oh and my friend said that if it was connected to the cancer it would show up on the chemistry panels, so far only low white blood cell count has showed up. He gets a chemistry panel every spring. I just hope this freezing week goes by fast. |
| Moderator: DrO |
Posted on Thursday, Jan 11, 2007 - 6:06 am: Aileen, I don't see anything to suggest this is metatsized cancer. Your last veterinarian, and the last radiograph you posted support his diagnosis, that your horse suffers from chronic heel pain do to a diseased navicular bone. The radiograph appears to show a erosion on the flexor surface so we have at least two areas causing pain: the eroded navicular bone and the damage it does to the the flexor tendon. There are no effective treatments if this is in fact the cause though the article on navicular disease gives some ideas to help lower the discomfort.To further nail this down you could have a navicular bursa block and if it blocks out here ultrasound (demonstrate soft tissue damage and the outline of the erosion), a series of skylines (to define the extent of the erosion), and/or MRI (may show both in great detail) of the foot done. DrO |
| Member: Sunny66 |
Posted on Thursday, Jan 11, 2007 - 2:18 pm: Thank you for confirming re: cancer!Thank you also for the reminder of the tendon being affected as well... completely forgot about soft tissue. I do think that the vet would probably do the blocks, mris, and other treatments but will not suggest them...he just suggests retirement and keeping him comfy ... which while still a bit hard for me to swallow, is getting easier... I am lucky that he is pasture sound and I fully realize that. |
| Member: Frances |
Posted on Friday, Jan 12, 2007 - 7:19 am: Aileen, I'm so sorry to hear that retirement seems to be the only option. You've worked so long and hard to get Brave right again - it's very tough on you.At least for him we know life will be lovely - the very best care, with no work required! And I do hope you'll find a super horse to ride - I'm sure you will. |
| Member: Sunny66 |
Posted on Friday, Jan 12, 2007 - 6:27 pm: Thank you Lynn, I can promise that as you said, he'll get the best care He won't allow anything but The hard part will be keeping weight off him without working...
|
| Member: Mrose |
Posted on Friday, Jan 12, 2007 - 7:51 pm: Aileen, I've been keeping up with your posts, just not adding anything. I am sorry Brave's prognosis isn't better, but at least you'll still have him around to enjoy. I know how much you'll miss riding him, but there are other ways you can interact with him.I just had a thought, if he is pasture sound, could you drive him without aggrivating his condition? |
| Member: Sunny66 |
Posted on Saturday, Jan 13, 2007 - 9:47 am: Thank you Sara. I know I can't do anything with him now, he's still pretty sore. You know Sara, you're going through so much and yet you post here to help. I know I've said it before, but you are a gem. |
| Member: sunny66 |
Posted on Monday, Jan 29, 2007 - 10:43 am: Ok, I'm not getting my hopes up yet, but she put on aluminum shoes with a breakover, and made sure not to round the shoes around his foot. He was landing heel first yesterday The vet will inject his hocks on the 10th, solely for compensation while we figure him out. He had a ton of toe she could take off, and I have to say that I think his feet may even look normal I'll get pictures by next weekend
|
| Member: quatro |
Posted on Monday, Jan 29, 2007 - 11:23 am: Alright Aileen! I will cross fingers and toes for you as well.suz & Levi |
| Member: scooter |
Posted on Monday, Jan 29, 2007 - 12:13 pm: Great Aileen! A correct trim will go a long way for Brave! GOOD LUCK |
| Member: frances |
Posted on Monday, Jan 29, 2007 - 2:27 pm: That is such good news Aileen! Heel first landing and normal-looking feet - sounds pretty positive! |
| Member: sunny66 |
Posted on Monday, Jan 29, 2007 - 3:33 pm: Thank you ladies! I would be thrilled to be able to ride him at a walk!!! We shall see
|
| Member: gwen |
Posted on Tuesday, Jan 30, 2007 - 6:27 am: fingers crossed... |
| Member: sunny66 |
Posted on Saturday, Feb 10, 2007 - 9:05 am: Left Front Right front: I took these last weekend, but my computer wasn't cooperating... |
| Member: sunny66 |
Posted on Saturday, Feb 10, 2007 - 9:07 am: This one is from November, just for comparison What do you think? |
| Member: scooter |
Posted on Saturday, Feb 10, 2007 - 10:35 am: Hi Aileen, I think it looks like you are on the right track. Hard to tell from the pics, but it LOOKS like he is lined up much better. His toe looks much better, it looks like his heel is still under run, but that will come along with the correct shoeing. It doesn't look half as bad tho.It's hard to tell from the angle of the L.F. pic, but it looks like the shoe could still come back a little further, to support his heel. So my amatuer opinion is he looks much better, how's his soundness? |
| Member: sunny66 |
Posted on Saturday, Feb 10, 2007 - 10:47 am: Thank you Diane!Re: the LF, it's just the angle, granted it's not as far back as before, but we are hoping that since it's a four week trimming cycle we'll get away with it. I too like his angles He seems to be doing ok. When the new mare came he had to show off like a stallion. Had a day of being a horse, but then was sore the next couple of days. Have not had to bute him since the shoes were redone Jan 27. He does seem sound for the most part, no more headbobbing, but if all four legs hurt, couldn't it be possible that I won't see any lameness? Should I bute him after a rodeo? He's still crossing over his front feet, trots and canters at times. I'm still hearing raves about how barefoot fixed their horses, but I'm wondering why a correctly shod hoof wouldn't do the same thing? I wonder about the navicular bone remodeling with correct shoeing... wishful thinking? |
| Member: scooter |
Posted on Saturday, Feb 10, 2007 - 11:39 am: I don't know about barefoot either Aileen, Hank is still tippy toeing around and for summer he may go back in shoes. He still doesn't have healthy hooves. Hank is doing as well barefoot as he was shod, but that is because his shoeing was so terrible I think. Once Hanks white line tightens and he has better hoof form, I think barefoot all the time will be an option....I hope.Brave will tell you if he can handle barefoot, my farrier said when he pulled Hanks shoes that after 2 weeks he didn't seem comfortable he would come back and put shoes on. Could you try something like that? A bit of a trial? Hank had a rodeo the other day and fell down the hill at a full gallop,(snow) he was stiff the next day, so I did bute him. I would think if all 4 legs hurt, you would know it! Hank was stiff and slow. Hank was trimmed yesterday and he is sore today, but I have learned not to panic and to give him some bute for a couple days and he seems pretty good after that. I think you are on the right track, by summer you may be riding him again. Keep up the good work.
|
| Member: dres |
Posted on Saturday, Feb 10, 2007 - 12:21 pm: I wonder if Dr. O could explain the whole idea of going barefoot for a navicular horse is better then being correctly shod. ? The barefoot folks are very strong opinioned on this topic and feel the shoes are the problem ? I understand underrun heels / crushed heels etc. But a shoeing and time can help take care of that as well..Dr. O any comments on barefoot for navicular horses.. ??? On the first day God created horses, on the second day he painted them with spots.. |
| Member: juliem |
Posted on Saturday, Feb 10, 2007 - 4:41 pm: If you really are interested in why barefoot can be beneficial, you need to do some reading. The hoof mechanism is much more complicated than can be explained in a single post. In a nutshell, many of the natural functions of the hoof and it's "parts"--the bones, digital cushion, frog, bars, wall, and P1, P2 and P3, etc. are hampered from functioning properly when a shoe is nailed on to the hoof. There is much to learn and a lot has to do with the vascular system of the hoof as it expands and contracts with loading and unloading. This is impossible with a shoe nailed on. I'm not one that says every horse is better off barefoot, but I do think shoes do much less good than we have always thought. It really opened my eyes to learn there is much more to the horse's foot than meets the eye. In many cases, shoes really are detrimental to healing, but as Dr. O has pointed out, the horse often gets better in spite of what we do to them! Perhaps Dr. O has a recommendation of reading material. I have read Pete Ramey's book and Jamie Jackson's, and while not scientific, they do help you understand how complicated this structure is and how a shoe many times makes the mechanism dysfunctional. You will not be sorry you take the time to educate yourself, and it's especially important as you search for relief for your horse. We should never stop learning. It's especially important when we're dealing with something we assume we understand--that is, nailing a shoe on a hoof. Seems simple, done it for 100's of years, yada, yada. Please don't fall prey to that assumption. Read, read, and read some more. Julie |
| Member: sunny66 |
Posted on Saturday, Feb 10, 2007 - 5:29 pm: Hi all,The vet just left. I asked him about Brave's navicular and about remodeling of the navicular bone. He said there is no scientific evidence that he has seen that causes him to believe this to be true. He said there are MANY anecdotes, but he won't practice by anecdotes. It would be greatly helpful if the barefoot advocates could get together and get some scientific proof that would show remodeling and make it available to ALL vets. Is there such evidence? His vet tech has seen owners take horses barefoot with navicular changes and the horses got impressively worse, I can see where this may not happen to all horses, but the ones it has happened to makes me hesitant. The REALLY good news (I think) is that he doesn't believe Brave has erosions on the flexor surface. What is there is cartilage which causes pain whenever that foot is on the ground. He said we could do ultrasounds to determine if soft tissue is involved, and do more xrays to determine with no question what exactly it is on his flexor surface. I'm going to give Brave some time off and before I actually purchase another horse, I will do full diagnostics. |
| Member: kthorse |
Posted on Saturday, Feb 10, 2007 - 6:40 pm: I agree with Julies post. I have read every book article etc possible on barefoot and they have shown remarkable results with navicular and other hoof problems. You should not however take our word on this. read the stuff and shown examples of the results. opinions have changed so over the years, they used to say a horse is OK barefoot on soft ground and must be shod on rocky ground. now they say the opposite is true. Hard and rocky ground is better. The main problem people have with going barefoot is that they don't realize it can take 8 months for a new hoof to grow before the horse is totally sound again. Which is why many people say their horse cannot go barefoot as they don't or cant wait the time it takes. I am not saying shoes are bad and they do have there place, but if a horse cant be ridden or needs major time off because of navicular why not try the barefoot route. The real problem with going barefoot is finding someone who has had extensive training in the hoof and lower leg. That could be hard. If shoes haven't helped your horse maybe its time to try another approach, but remember it could take 8 months before you see what you want. You need to way your options. Good luck with what ever you decide. Hoof and leg problems are the worst. Good luck and your horse is lucky to have such a wonderful mum. |
| Member: sunny66 |
Posted on Saturday, Feb 10, 2007 - 7:49 pm: Thank you Katrina The stories I've read are heartwarming and wonderful and they do make some sense to me ... but I haven't found any that have proven scientifically that this is the way to go. Maybe since the barefoot thing is so new, they don't have hard evidence yet? This really is something that would really help, I would think. I understand taking a lame horse and making it sound should be enough from the barefoot advocate's point of view...but why was the horse lame? Were xrays taken? What trim made them sound? Were xrays taken when sound to show, for example, remodeling of the bone? I don't know if this would make a difference to my vet, but I would think it may help. Brave is doing much better than he was after the Nov 21 shoeing. After talking to my friend, she felt that if it is cartilidge, it would make sense since he was going SO well before Nov 21. |
| Member: juliem |
Posted on Saturday, Feb 10, 2007 - 10:06 pm: Actually Aileen, there is no real science behind shoeing navicular horses. That's all pretty much anecdotal as well. You really need to understand the anatomy and function of the hoof structures to know what barefoot advocates are so excited about. There are many, many studies of cadaver and wild horse hooves. Most theraputic trims should be done according to radiographs (technically they aren't xrays)so there are lots of those available for study. When I say scientific proof, I refer to double blind, peer reviewed studies. So if that's what you're looking to find, you won't find it for shoeing either. Understand, I'm not advocating you try this with your horse as your vet should know best. I just think it would be invaluable for you to learn about hoof function and anatomy in order to be the best advocate you can for him. You'll find the answer to your question about why a correctly shod hoof won't react the same as a properly trimmed barefoot hoof when you learn these things. What can it hurt to become informed about something so many people have found to work for them? I know you've been fighting this frustrating battle for a long time and I think it would be invaluable information to have. There is a lot of material online, and like everything horse related, opinions are all over the board. A really good barefoot trim is not the same as the trim your horse gets when his shoes are pulled and he's turned out for the winter, and your horse shouldn't be sore following a trim unless there are unusual circumstances. When one of my farriers learned about the internal mechanisms of the hoof through several clinics, he felt so badly that he had been shoeing horses for so long and was considered a very good farrier who worked with a number of vets, but in his words, "I was just a cowboy shoer." He didn't feel he'd ever harmed a horse, he just felt he hadn't done as much to help them as he could. He said, "I was failing some horses." He still shoes, but advocates barefoot for those horses that can (and many times if they can't it's as Katrina said, the owner doesn't make the committment) and boots for those that need some help. |
| Member: amara |
Posted on Sunday, Feb 11, 2007 - 12:20 am: i hope you have the time to learn about the internal hoof mechanism and good barefoot trims, as julie and others have suggested... it really opened my eyes...SOME vets dont take the time to learn about barefoot-especially the info that has come out recently (Bowker and Ovineck's research comes to mind), so they "pooh pooh" the barefoot trim... i did too actually, until i learned.... now i dont shoe!...many many years ago i had a boarder who's horse had navicular and had some tendon problems (dont remember what)... xrays showed some mild degeneration of the navicular bone.. he was on and off lame (sometimes very lame) for a long time....the vets and farriers tried every shoeing procedure they could think of....nothing seemed to really work... finally the owner threw her hands up, did some research, and said "what the heck, he cant get any worse, lets do barefoot..".. he was very sore for a long time - but then again he was lame anyways.... it took almost a year, but he did get sound, and xrays taken about a year and a half later showed healthy bone remodeling... mind you, this is only one case and there was an over 2 year gap in xrays and there definately could have been other factors involved, but everyone, including the vets who didnt think that barefoot was the way to go, were very pleasantly surprised... good luck.. i know you've gone a long tough road... |
| Member: scooter |
Posted on Sunday, Feb 11, 2007 - 7:14 am: I think barefoot is great, but not every horse is capable of it. Even horses with healthy feet can have thin soles, that can't handle the vigors of rocky terrain. If I was to ride my horses on soft ground all the time it would be different.Years ago my horses were trimmed by a barefoot trimmer, their hooves looked fantastic in (per x-ray) and out. No matter how hard he tried Hank could not go barefoot on gravel or the road and be comfortable. The barefoot trimmer agreed he needed shoes...if I wanted to ride him. He said he had thick soles, but they were soft and nothing seemed to make them hard enough to make him comfortable on the terrain we rode. I do think it doesn't hurt to give barefoot a chance(we're trying again), but I don't ride in the winter. The barn where I worked for years had a horse with a bad case of navicular per x-rays. The owner tried every type of shoeing and nothing seemed to help much. She finally pulled his shoes and he was much better, almost immediately. She moved shortly after that so I don't know how he fared in the long run. Every horse is different
|
| Member: kthorse |
Posted on Sunday, Feb 11, 2007 - 7:45 am: I do just want to make one more point. Horses with thin soles and thin walls also can go barefoot. The whole foot changes as the new hoof grows. Mine had the thinest walls no concavity and very thin soles even when he was barefoot in his younger days. The correct trimming has totally changed the whole hoof. He now has the thickest soles and walls and has a beautiful concaved foot and he is on very rocky ground.Rocky is better, but if they are to be on soft ground boots when riding solve that problem. If always on soft ground they may never have rock crunching hooves. However boots are available for these horses. In some of the barefoot books and on the web they do show examples of before and after and it seems to me they have more success than the farriers. The books answers alot of the questions you asked Aileen such as why they get better and what happens when the hoof is trimmed this way. Now I feel like I am pushing a bit. Sorry!!!!!!!!Good luck again, I am thinking positive thoughts for you and Brave. |
| Member: scooter |
Posted on Sunday, Feb 11, 2007 - 8:30 am: I too ride my horses in Old Macs, but by the middle of summer I get sick of putting them on and taking them off 2 horses daily. It's not hard, but I like the convenience of shoes.The farrier said Hank had Great hoof wall, his soles are thick according to x-rays, but for some reason he can not go barefoot on hard, or rocky ground, even before all his problems. Shoe advocate I'm not, and I think every horse should be given the chance to go barefoot, but some just can't tolerate for some reason. |
| Member: sunny66 |
Posted on Sunday, Feb 11, 2007 - 10:53 am: Thank you Julie, yes my vet did say that we would just need to see what works for Brave, he and I are both aware that there isn't proof other than the horse showing us he feels better. However, he prefaced this by saying he was FAR from a barefoot advocate. He knows ONE person who trims their own horses and the vet thinks he does a great job, this guy leaves the heel. I think part of my vet's frustration with barefoot is that he thinks all barefooters take off heel.The opinions "all over the board" are what frustrate me, Julie. I gave up, for the time being, on trying to learn more. You learn one thing just to have another person tell you that you're wrong and could hurt your horse. For instance, you say the trim is not the same, but I can say his trim is good with or without shoes. His shoes were pulled for the navicular series and was barefoot for 4 days. The first day he was ouchy, but then he was just fine over rocks, everything. Commitment isn't an issue here! It's going against a wonderful vet that has been practising for years. Also, he's not the only vet that is adamant against barefoot for Brave. Help me give him some substantial information. He's read all the websites. I agree that a double blind study would be MOST beneficial, how could we get that started? If it truly is the best thing, wouldn't a study be warranted? Melissa, thank you for that story and your thoughts. I hear you all, loud and clear. If I can get his heels to grow, it may be possible to convince my vet to at least try it. But until then, he keeps his shoes on.
|
| Moderator: DrO |
Posted on Sunday, Feb 11, 2007 - 12:48 pm: Aileen the way you take the photos from an angle by standing toward the front of the horse makes evaluation of the angle with precision difficult. Can we have pictures more like the Nov where you are truly lateral (straight out from the side of the foot)? Also consider is it that the heels don't grow or that they grow abnormally forward?Concerning the shoe vs barefoot it is first important to remember there is no such thing as "navicular disease". There are many diseases of the navicular and heel region of the foot (see navicular disease for more). Therefore as you might expect different diseases will respond differently to how the feet are cared for. With the exception of diseases that cause pain on pressure to the sole, and to the degree that a foot can be balanced correctly without excessive thinning of the sole, and if the horse is not going to ridden over ground significantly harder than he stands on all day, barefoot is probably easier on the moving structures of the foot and more physiologically healthy. DrO |
| Member: sunny66 |
Posted on Sunday, Feb 11, 2007 - 2:37 pm: Thank you Dr.O.I'm of the impression that his heel grows forward not up -- or down -- but that's a guess I'm taking when looking at pics of his bare foot from September. Re: barefoot... since he is supposed to have pain when weightbearing due to whatever is on his flexor surface, why was he ok barefoot for those 4 days, well 3 of the 4 days? Also, why was he ok in turnout on all surfaces, but ouchy on decomposed granite flooring in the barn aisle? This is all so confusing. But I think I'll see how he goes this year, do the diagnostics at the end of summer if he's still showing signs, if we get any correct heel growth, I may just try to talk my vet into it for a trial next winter. Hopefully, compromise is key and I can make it work. Just to clarify my above posts, I'm afraid I gave the impression that my vet is adamant against barefoot for ALL horses. He does believe barefoot is ok for some horses, just not Brave. The leased mare is barefoot and he loves her feet and is fine with keeping her barefoot because she has good heel and a great foot. Left front: still needs work, in a week he's growing forward not up, I'll tell the farrier and have her set the shoe back next time. Right front:
|
| Member: sunny66 |
Posted on Sunday, Feb 11, 2007 - 2:41 pm: left front, better?
|
| Member: juliem |
Posted on Sunday, Feb 11, 2007 - 3:52 pm: I think the breakover looks as if it's still too far forward and agree that the shoes need to be moved back. Getting the breakover correct will discourage underrun heels. I think it's easy to confuse "not enough heel" with underrun heels. Whew, you must be exhausted with this whole situation! |
| Member: sunny66 |
Posted on Sunday, Feb 11, 2007 - 5:04 pm: You said it... I am exhausted, but he is worth it The shoe does have a built in breakover of a little more than 1/4 inch, if I remember correctly, because she could take off so much toe along with the built in breakover, that's why she didn't set the shoe back, also, she didn't have size 4's, only size 3's. I'll ask her if she can just set this shoe back behind the toe, if not then we'll get the size 4's on? Thanks so much, I hope you all know how grateful I am for the input, as much as it confuses me! |
| Moderator: DrO |
Posted on Tuesday, Feb 13, 2007 - 6:30 am: Angle wise Aileen, you are about where you were in the Nov shot you post above, (however the Nov shot you have above looks better than the ones you posted last Nov in the previous discussion).But as you already know I agree with Julie, I have long suggested to get your toe back and more rocker up front, bit it did seem everytime someone attempted that, you end up sore but it is your best chance of getting a more upright heel. DrO |
| Member: sunny66 |
Posted on Tuesday, Feb 13, 2007 - 10:27 am: Thanks Dr. O, I'll try to get her to do that again. Do you have that step by step for rockering? I could have sworn I saw it before, but maybe it was the founder article?He is much more sore now on his front end. I can only assume it's the shoeing and perhaps because his back end feels better after the injections...He's back on bute. |
| Member: gailkin |
Posted on Tuesday, Feb 13, 2007 - 6:22 pm: Aileen, if you want some really good articles that help to answer many of your questions regarding why barefoot is better and what the barefoot hoof should look like, go to Pete Ramey's website, www.hoofrehab.com. He has added many new articles and updated his philosophy from his last book. He continues to learn from the horses he works on and has refined his barefoot approach. Having a high heel is not optimum. You want to have all of the parts of the hoof that support the weight of the horse working together. Julie and Melissa made some very valid points and I certainly agree with what they said. Since I have been doing my own horses' feet for three years, and working with other barefoot advocates, we have seen many previously lame horses become completely sound. It seems overwhelming at first but as you learn more, things make more sense. It would help to have a friend to compare notes with and discuss what is going on with your horse. I am flying down to Arizona next week to help a friend finally get her thoroughbred barefoot at 19 years. Your horsekeeping situation is also very important if you have barefoot horses; the horse should live in the type of surface you ride on. So if you have rocky terrain, you might add gravel in your paddocks, etc. After you read the Ramey articles you should have a much better understanding of his maturation as a barefoot trimmer and what he now advocates. He is doing seminars with Bowker now and incorporates lots of his new research into his thinking. Very, very simply put, don't mess with the live sole. Remove all flares and back up the toes to allow breakover with a good mustang roll and allow the hoof to develop a concave foot and hard calloused sole and frog to support the bone column. Some horses remodel very quickly. Others may have their boney column DrOpped within the hoof capsule and take much longer to build the proper support. I wish you luck on your journey, but I assure you that it is well worth your effort. Gail |
| Member: sunny66 |
Posted on Wednesday, Feb 14, 2007 - 11:37 am: Thanks Gail for your input. Appologies in advance if I sound short... I do appreciate your input.If he doesn't grow heel, his angles won't align. I know some barefooters don't care about angles...but my vet does and I do too. I have read Ramey's website... sounds great! However, Ramey's been doing this since 1994, but my vet's been in practice for over 20 years. Please correct me if I'm wrong. But I believe this is a process -- either barefoot or shod -- I was the one that allowed the farriers to screw up his feet due to no correct knowledge. Granted I thought I knew, but I didn't. No, I'm not patient, but I can guarantee you that I am committed to this horse. I'll ask again, show me a study that I can show my vet. He will not listen to anecdotes. If anyone has Ramey's or Bowker or whoever's contact information please ask them please to do a STUDY. If this is truly THE way... think of how many horses out there that have owners and vets like me and mine. Please prove it. I beg of you. |
| Member: juliem |
Posted on Wednesday, Feb 14, 2007 - 5:47 pm: The study's are referenced in Pete Ramey's work, in Jamie Jackson's work and in Gene Ovenick's work, as well as Bowker's and others. They have been done on sound, unsound, cadaver and wild horse feet. Now then, can you find any studies done on shoeing horses to alleviate navicular synDrOme? Shoeing has been done for hundreds of years with no real science behind it. And the methods have changed very little until Gene Ovenick's work in the 90's began to open many eyes. I don't think shoeing is always the wrong option. Still, you have vets and farriers that refuse to be open minded or challenged. There is, in my opinion, no one right way, but to ignore something because it goes counter to tradition seems shortsighted, especially when the tradition in question was developed before the diagnostic tools available now were even thought of. I'd venture that many farriers working today don't have the knowledge of the anatomy and function of the hoof even now. We've had a post on this board where a vet and farrier insisted that lowering the heels would destroy a little horse named Chief. When the owner finally got the radiographs to another vet and farrier, they were appalled and immediateley set to correcting that misconception. Again, I'm not saying to ignore your vet's advice. I'm just saying you need to read these case studies yourself. Then try to find case studies justifying the traditional treatment and read those as well. Your farrier is not getting the breakover right and I can't help but think that contributes to his pain. I think the easiest to understand procedure is Gene Ovenick's for correct breakover, but initially it should be done with radiographs and someone who has hands on education with the method. I think his website is www.hopeforsoundness.com. Years ago I paid for a farrier to go to one of his early clinics and it changed his methods completely. To the point he refused to do traditional shoeing any longer and lost several clients over it. He by the way, still continued to do a lot of shoeing. More than made up for the lost clients when his reputation for getting horses sound began to spread. With navicular synDrOme, it's amazing how little room there is for error with that breakover before the horse is uncomfortable.Please don't feel like we're ganging up on you or harranging you that barefoot is the only way to go. I just think you're missing a piece of the puzzle. I know you must feel besieged, (and I bet your vet does too), but all of us feel your frustration and like you, have a hard time when our animals are hurting. |
| Member: sunny66 |
Posted on Wednesday, Feb 14, 2007 - 6:37 pm: Julie,Yes, I agree and I hear you loud and clear on all your points... I do. Barefoot (with heels) makes sense to ME. My vet adores my horse, because he's a great horse... I don't want to risk any more damage to his feet, and my vet doesn't want to either. Hence the shoes. I would like to change his mind to at least TRY barefoot if I can, but in order to do that I need to provide proof. That's what I'm looking for. I've emailed AAEP asking if they know of a study being done for barefoot and navicular. I'll let you know if they respond. I hope someone will contact the other trimmers to see if they would be willing to do a study if there isn't one ongoing already. I've left a message for the farrier stating my horses' hoof growth, and I'll ask her to adjust as I stated in my prior post. I've also asked her to look into the shoes for long toe and underrun heels. I previously had the navicular shoes on here, but they are geared toward a thin sole, and Brave's is very thick... https://store.nanric.com/servlet/Detail?no=438 He was better last night, so no bute... |
| Member: gailkin |
Posted on Thursday, Feb 15, 2007 - 5:21 pm: Aileen, I'm tired and hungry so this will sound short. You have preconceived ideas about how going barefoot will work and what "proof" you need to make that decision. If you read the articles on Ramey's site you would know why keeping long heels is the opposite of your goal in a barefoot horse. You want the heels, bulbs, frog and sole to all absorb the concussion with a heel first landing. Your horse's foot photos shows a horse with a flare at the toe and toes and are too long. Every time he lands on that toe he rips his lamina that attach the hoof wall and the long toe pulls his heels forward. His breakover is too far forward again stressing the hoof and bones. Gene Ovineck showed a skeleton of P1,2, and 3 to demonstate the movement of the bones when the toes and breakover are too far forward. P3 hits the ground and pulls P2 forward and then it pops back into place as the foot roles past breakover contantly irritating the navicular area. There is lots of info out there but no one is going to have the exact thing that you think will convince your vet. You assume that someone doing something longer is better, but that is definitely not the case. Bowker's work was first published in 1995 and many shoers have not even bothered to read it. (I just spoke to one yesterday that has worked over 20 years and had not read this info.) None of the vets in my area are well versed in barefoot techniques. It is complicated in that every hoof is different and it all depends upon the condition of the hoof as to what you must do to support that horse going barefoot. Most horses raised today with shoes never develop the lateral cartileges they need to support good hoof function so that the transition to barefoot may take longer in order for those parts of his hoof to develop. You dismiss anecdotes, but I have seen many instances myself where previously lame horses have become sound. Rather than cite lots of stories, many people on this site have suggested that you learn all you can about the hoof function and the process of taking a horse barefoot. Then you can make an informed decision yourself. You said you visited the Ramey website, but did you read all of the articles? They explain in detail many of the answers to the questions you have been asking. But if you still insist your horse needs longer heels, then you have totally missed the point of the information you have been reading. As Dr. Phil likes to say, "How's it working for you?" You horse is having problems. You are asking for help with suggestions about how to help fix the problem, but you have preconceived ideas about how that should work. It is way too complicated to explain in a post. You need to read and talk to people who can help you understand the issues you raise. If you don't want your horse barefoot, that is your choice. But, at least make an informed choice for your horse that you love so dearly. I hope that didn't sound sarcastic, because it isn't meant to be at all. We all love our horses or we wouldn't be trying to do the best for them. Most of us who have learned newer info about feeding or shoeing or horsekeeping wish we had known these things sooner and could have done better for our horses as we made some mistakes. But we continue to learn and make the best choices and decisions we can for our animals to keep them happy and healthy. Gail |
| Member: juliem |
Posted on Thursday, Feb 15, 2007 - 5:55 pm: Aileen, you already know how I see this situation, but I think if you would actually read Bowker's reasearch, which by the way is very methodical and scientific, you would start to understand why we are so adamant. And again, Aileen, have you found ANY research of shoeing horses with navicular synDrOme? Has your vet? Navicular synDrOme is almost entirely a man created problem. It's unheard of in wild horses, and in properly trimmed horses almost never occurs. I know you have an open mind and are trying to sort through all the opinions and still keep a working relationship with your vet, but just the fact that he has been doing this for 20 years may be getting in his way of looking at things...I think it has to do with testosterone as we women are always open to suggestions!!! (Honest all you guys--that was said tongue in cheek!) Some of the first work that was done and the early studies on barefoot were by Dr. H. Strausser and Martha Olivio and in my opinion were way to radical and turned off many vets to the whole concept. I'm over stepping my bounds, but I think both of them are too invasive and are best ignored.I talked with Pat Thacker today about your horse,(a nationally and internationally published farrier, who does a lot of theraputic work, both barefoot and with shoes). He said in his experience, without getting the breakover right, the horse will not improve. Much of navicular synDrOme is soft tissue inflamation. If he is to continue in shoes, he recommends frog supports. I couldn't remember whether you had used them or not. He has only had one horse in his practice with navicular synDrOme who couldn't be made comfortable. Finally, that mare was turned out for nine months on pretty hard dry ground barefoot. Her feet became very short and she came sound. She was then returned to irrigated pasture, her feet got long and she was back to being sore. |
| Member: stevens |
Posted on Friday, Feb 16, 2007 - 9:37 am: Can't resist jumping in on this.Has is occurred to anyone that you don't see navicular horses in the wild because they are removed from the gene pool in the course of natural selection? A wild horse with ANY foot problems is likely to be the slow moving one, unable to keep up with the herd and therefore likely to be the one to fall to predators. Just because you don't see it in the wild doesn't mean that it doesn't or hasn't happened. Either way, I don't believe that anyone is advocating that we turn our horses loose, let them forage for themselves and not ride them which would be the closest approximation of their "natural" state. Methodical and scientific are not the same thing. The plural of anecdote is not data. We're all trying to what we think is best for our horses. Hang in there Aileen. |
| Member: ajudson1 |
Posted on Friday, Feb 16, 2007 - 10:04 am: I am just starting to try to do my own hooves, having lost my farrier when he moved. So I am reading and trying to absorb all this, as well as visiting the websites you've all listed here. I've called around and all these guys tell me is "I balance the hoof, and line up the angles, foot, pasturn, and shoulder".I haven't seen that part about lining up the angles in my readings. Comments anyone? Mostly wondering about the shoulder angle and hoof angle. I think I am leaving the toes too long yet, but I am happy that 2 of my horses have developed good tough, big frogs. New guy comes Monday, so I plan on taking pictures, and starting a new thread then with my questions. If he shortens toes, and comments on my work. Then I want to keep everything correct. Good luck everyone on this debate! |
| Member: kthorse |
Posted on Friday, Feb 16, 2007 - 11:28 am: Angie, that is because if you read the horses hoof it will naturally be balanced. The pastern angle is the only one I look at after I trim and its always perfect. If you trim from the bottom the hoof will show you exactly how much to trim. If you keep the exact same amount of wall around the white line the foot should balance. As for heel height I go by the frog. If the frog ishas contact with the ground the heel is the right height. I only trim to the water line(line outside white line) but if you have separation you can trim to the white line. If trimming From the top as soon as you see the flakes start to stick instead of falling off like Parmesan cheese then that is far enough. Most people like to trim only from the bottom until they roll the toe. I prefer to trim from the top as its easier for me. Balance has alot to do with a good eye. Hold the leg on the cannon and shake it and it will hold the correct position look at the foot to make sure it is level and will hit the ground equally. A flat piece of wood or plexi glass held on the bottom on the hoof to make sure the hoof touches it all equally. Hope I did not confuse you. This is how I do it and it works for me. I still get nervous and get others to check balance but so far its been perfect. Good luck. |
| Member: maggienm |
Posted on Friday, Feb 16, 2007 - 12:08 pm: Katrina, good explanation. I have trouble trying to figure out how long/short to make heels. |
| Member: ajudson1 |
Posted on Friday, Feb 16, 2007 - 2:35 pm: Thanks Katrina. I have read enough to know what you are referring to, and also like the "trimming from the top" concept. I have heard this new guy I am having out takes the heels way down, so I am concerned he'll pare away the frog to do that. I think I'll take pictures of where they are at now with my "experiments" and take "after" shots when he does them Monday. Then compare all the pictures to what I am seeing on the various websites. I didn't get the impression he was familiar with any of this "barefoot/natural" trim though. But he does own a nippers which I don't at this point!I like the idea of plexiglass! I do believe we have some around here from when hubby was going to use it for a window in a dog house. BTW, the horse with the big frogs is very flat footed, and this is the nicest I've ever seen her frogs look. And my on again/off again lame guy has been sound since he hasn't been done by a farrier since October. Beginners luck? Looking forward to your input as soon as I get pictures on new discussion next week. Thanks! |
| Member: sunny66 |
Posted on Friday, Feb 16, 2007 - 2:36 pm: Thank you,My vet is the best vet and he'll come to my area. Other vets that will come to my area are not so good! So Julie's right in saying I'm trying to keep a working relationship with him. My horse has too many issues right now to not have a top notch vet at our beck and call. I will not jeopardize that. You both can stop trying to convince me. You have, the websites have, others have... I need help convincing my vet. I don't know how many different ways I can say this! I know there are some barefooters that agree with keeping angles and heels and have read that they had success as well. But having read so much and so many different opinions I am fuzzy and I can't remember which one it was. My vet is coming out for spring stuff at the end of March and I will try again to have him agree to a 30 day trial barefoot. If he doesn't do any worse, then I may be able to talk him into longer. But I'm telling you... he is adamant, if I keep on it like the squeaky wheel, he may give in, but he may not. He may reiterate his argument that he's seen horses do WORSE barefoot, than with shoes and I'm telling you that that terrifies me. Because yes I do love my horse dearly and I want to do the best thing for him. Julie, I appreciate you talking to Pat Thacker more than you will ever know! Brave does have frog pads. I just got off the phone with my farrier, and I've called Nanric to ensure I get the right shoe for Brave. I asked my farrier about exaggerating the breakover (since it never seems to be enough), rockering and rolling the toe, and she said for sure we could try it. She's coming out again on Feb. 24th. He was landing heel first for the first couple of weeks, hopefully with this change we'll keep him landing heel first for the full four weeks and get that boy some heel! Thank you Chris, more than you know... I'm saying that phrase a lot it seems, but it's the only way I know how to express extreme gratitude. Angie, good luck with your horses. As evidenced by the responses I've received, you're in good hands
|
| Member: amara |
Posted on Saturday, Feb 17, 2007 - 11:29 am: Is your vet the kind of vet that will DrOp you as a client if you dont do exactly as he says?..the truth of the matter is that this is your horse and the vet works for you... you can follow his advice or not, but that's all it is-advice... i can well understand your not wanting to lose a good vet, but its YOUR decision to try barefoot or not, or any other type of changes... if you want to have him go barefoot, then there's nothing that's stopping you from pullling the shoes off, and getting it done... you dont even have to tell him... its not your job to convince him or show him new info... a good vet keeps on top of the current research (kudos to Dr.O here!), and doesnt make snap judgements based on what he's seen with "one guy"... i've fought with a few vets over treatment...i won-its my horse, not his.. i was paying the bills... and strangely enough i was never DrOpped as a client.. good luck |
| Member: sunny66 |
Posted on Saturday, Feb 17, 2007 - 12:04 pm: Melissa, that is exactly what I'm afraid of, him DrOpping me. He doesn't need me as a client... at all. He's in very high demand.I have thought about just doing it and not telling him, but I'm a terrible liar! I even had a friend coach me on how to lie to him... but I just can't. However, you have given me a lightbulb moment. I can just ask him, if I took him barefoot, would he DrOp me as a client? I just may do that, but not yet! He's coming out next month, I'll try again, I hopefully won't see him until fall after that...But I am trying to compromise here and get him some healthy heel first. If I can succeed with that, then maybe all will be ok. Thank you. |
| Member: sunny66 |
Posted on Saturday, Feb 17, 2007 - 12:06 pm: PS, it's the one guy he LIKED that trimmed his horses...he's seen many horses that barefoot made them worse... |
| Member: sunny66 |
Posted on Thursday, Feb 22, 2007 - 12:39 pm: Ooookkkkaaaayyyy.... with my looking for studies on barefoot and navicular, one place I looked was a vet... He saw my horses' xrays (reduced size) said he didn't see navicular that's not consistent with his age. So, I sent the full size xrays to another vet and he said the following:Reviewing the digital film taken in December of 2006 I conclude: The left front DP view revealed large side bones with the lateral side more pronounced than the medial side. The lateral view horn-lamellar (HL) zone is smaller at the distal apex than the tip measurement. I cannot actually measure the HL zone, but would suspect it to be within normal limits. The lower measurement is most likely due to backing the toe up to improve breakover. The palmar angle (PA) is zero, with a concave palmar surface. Good sole depth (SD), 4-5mm thicker than the HL zone. There are no demonstrable lesions. Skyline views are within normal limits. The 65 DP navicular bone appears to be quite healthy. Slight remodeling is evident, but still within normal limits. The right front foot closely resembles the left. Side bones are present, navicular bones are within normal limits. SD and HL zone are also within normal limits. The PA is zero in both feet. Even though digital alignment is acceptable, I would like to see breakover well under the foot to offer a self-adjusting PA. The side bones as a rule do not pose a threat to soundness, but they can cause discomfort in a few cases. The concave palmar surface is a reflection of long term heel loading and excessive compression throughout the digital cushion. This area can become a hot spot with feet that do not carry a natural 3-5 degree PA and strong digital cushion. Most low heeled feet will have several areas that become influenced and many will test and block like navicular cases. As far as distinct navicular pathology, your horse does not exhibit high suspect areas. "With this shoe (rocker), I see no reason why you can’t start riding him a bit if he becomes sounder." Now, this guy knows nothing of Brave's history, he has no idea how much money I spend per month on vet bills, but my vet does, so I'm going on the assumption that due to this fact and the fact that he has suggested mri/ultrasounds/etc., that the vet is looking out for me when he told me to retire my horse... but I was definitely under the impression that Brave has navicular and won't get better, that I can only ride him if I bute him. So now I'm questioning myself even more. I have two choices, get an mri and get a diagnosis and give the mare back (thank goodness I didn't buy her!!!!), OR see what happens in a year with Brave and good hoof care, keep the lease mare and ride... finally. Here is how he saw the xrays: https://s141.photobucket.com/albums/r59/wishes_album/xrays%20dec%202006/ |
| Member: quatro |
Posted on Thursday, Feb 22, 2007 - 1:25 pm: Hey Aileen, thanks for your support with my Levi, and I tell ya, does it not drive you crazy with all of the differing opinions?????? Levi has the sidebones, like Brave also. Never heard of them before, learn something new every day.levi and I are sending positive thoughts your way as well. take care Do you think there is a day out there where we will just spend time grooming and worrying because our horses have a burr in their mane, or a knot in their tail???? Wouldn't it be loverly? suz |
| Member: sunny66 |
Posted on Thursday, Feb 22, 2007 - 1:32 pm: Hi Susan, it certainly DOES drive me crazy! I can't see how xrays would be construed differently from person to person, but again, my vet is looking at the whole horse, not just the xrays of the front feet, so I'm giving him the benefit of the doubt.There is also the fact the reduced xrays may not show everything, or maybe even the original xrays have lost something in translation from cd to posting on the internet? I just don't know anymore. I certainly am HOPING for the day when we all have nothing to worry about! At least for awhile! Thanks Susan
|
| Member: shanson |
Posted on Thursday, Feb 22, 2007 - 3:31 pm: I haven't read this entire thread, but just wanted to clarify something here. The term, "navicular," is pretty broad in my experience and can encompass issues that show up on xrays and, just as often, soft-tissue (such as ligament) injuries that do not show up on xrays and can only be picked up on MRIs. It could be that Brave has soft-tissue injuries. I have a mare like this. She has ligament injuries in the navicular area of one of her feet that have caused lameness off and on for several years. With careful management, I've been able to keep her serviceably sound for arena work and light trail riding. A key component is my top-notch farrier who keeps her feet well balanced and, in her case, shod in bar shoes for plenty of heel support. I've also found that monthly Legend injections make a big difference with her. I cannot ride her on rough rocky ground without her getting sore.Concerning the sidebones, I have a friend who owns a mare with pretty-pronounced sidebones. This mare was going lame fairly regularly until my friend found a better farrier...one who kept that mare's feet well-balanced. She hasn't taken a lame step since. We discovered that her previous farrier had no idea what a properly balanced foot looked like, particularly medial-lateral balance. Just my 3 cents worth of random thoughts... |
| Member: stevens |
Posted on Thursday, Feb 22, 2007 - 4:00 pm: Aileen,I so understand your frustration having lived it myself. I vote for the MRI. Best Wishes, Chris |
| Member: shanson |
Posted on Thursday, Feb 22, 2007 - 4:37 pm: MRIs are very expensive. I had one done on my mare, because I couldn't stand not knowing exactly what the issue was. We knew it was soft tissue because everything else had pretty much been ruled out. I wanted more precise information. I'm not sorry I did it, but it cost as much as a nice vacation (which I did without that year...)The thing is that, even without the MRI, my management of her would have been the same. I'm following pretty standard protocols for chronic soft-tissue injury in the navicular area of the foot. And, hoping it ensures she has a long useful life. Best of luck with Brave! We all sympathize with your frustration! |
| Member: dres |
Posted on Thursday, Feb 22, 2007 - 6:24 pm: Aileen, Sharon is saying what I have been saying..I think,,, Its time to move on .. you have done it all.. don't put yourself in more of a $$ hole then you already have...You are managing Brave well..very well , and he is comfortable for him.. you have the opportunity to have a riding horse now.. So save that MRi money.. put in for a vacation ... a horsy vacation.. or for lessons .. or for .. ????? Again I say this in a kind way.. It hard to see a friend keep chasing that rainbow .. the pot of gold might be in your hands all ready.. tell me to SHUT THE **** UP if you like.. On the first day God created horses, on the second day he painted them with spots.. |
| Member: kthorse |
Posted on Thursday, Feb 22, 2007 - 7:25 pm: I don't know what to say except good luck with whatever you decide, If you do have a doubt that the MRI will show anything different, Don't think too hard or you will confuse or worry your self more. Just sit and think for 5 minutes the plus's and minuses and follow through . If you think for ever you will always second guess yourself and the thinking and worrying will never stop,. I am sure if you give yourself 5 minutes only your gut instinct will be right. Sorry if I sound like a nut but I believe we all know whats right inside us if we don't keep dwelling on it, thats just confusing. Maybe I read to many self help books wishing all this will resolve for the best for you.
|
| Member: sunny66 |
Posted on Friday, Feb 23, 2007 - 10:18 am: Thank you Sharon for sharing about your horse! I'll look to see if ligament and tendon rehab is similar. I still am planning to retire him for a year, just to get used to balanced feet again. I am going to get another opinion and see if he feels an MRI is warranted, or just time off. If there isn't a chance that a year in retirement won't hurt him, I may wait until next year to do the mri.Thank you all, and Ann, I would never tell you that I just want to ensure I'm doing ok by him.
|
| Member: shanson |
Posted on Friday, Feb 23, 2007 - 11:36 am: For what it's worth, I laid this mare up for 9 months in carefully controlled environment so that she could heal as much as possible. No squirting around like a maniac and reinjuring it. At this point, I'm managing the chronic injury that didn't resolve completely with rest. It wasn't just my high regard for this mare that motivated all this expense and effort. This is a valuable mare who has a back-up career as a broodmare if this rehab effort doesn't work. Having said that, I really enjoy riding her again...albeit mainly in arena. |
| Member: sunny66 |
Posted on Friday, Feb 23, 2007 - 5:49 pm: hmmmm... thank you Sharon. I'll keep you posted on what the vets say because I'll be sure to have a ton of questions for you
|
| Member: shanson |
Posted on Saturday, Feb 24, 2007 - 9:47 am: FYI...she has both a ligament and a tendon injury. |
| Member: sunny66 |
Posted on Saturday, Feb 24, 2007 - 2:00 pm: Thanks Sharon, was there a time when your horse was lame on bute? I think that was the scariest time of all for me. |
| Member: shanson |
Posted on Saturday, Feb 24, 2007 - 6:05 pm: Yes, when the injury was acute, but bute always helped. |
| Member: sunny66 |
Posted on Saturday, Feb 24, 2007 - 7:14 pm: Thank you Sharon, he was lame on bute right after the wedges were put on... he did have a rodeo, so that may have exacerbated something.We left him barefoot. Everyone please keep your fingers crossed that my vet won't be too mad at me and DrOp me. If Brave does ok my farrier will trim him every two weeks to keep the toe back. If he doesn't do ok, the new rocker shoes will be in next week and we'll put those on. Reason being is that he lost one shoe this week, and the other shoe was loose. I heard a saying one time that if the shoes fall off, they may not be correct. So that's why we're trying this. Farrier is willing to come whenever I call to put the shoes on. I adore her! Here are his feet as of today I'll get better pictures of his angles tomorrow: https://s141.photobucket.com/albums/r59/wishes_album/feet%20feb%2024%2007/? I have locked him in his stall/run.May also confine him for the month of March. It's supposed to rain all month anyway... and yes, I realize that's counterproductive to growth... but I don't know what else to do until the vets get back to me. |
| Member: kthorse |
Posted on Saturday, Feb 24, 2007 - 8:12 pm: Aileen I think his feet would benefit from barefootHe has a nice wide frog, which will eventually help support his foot . I think the right front heel could be lowered a smidgen to get the frog more weight bearing, but hey you just started not need to rush this. A week or too is not going to tell you if he can handle barefoot, Its a longer process, you really cant tell in a few weeks if it will work or not. When mine was trimmed aggressively by a barefoot trimmer he was very ouchy for 2 months wearing boots out in the paddock during the day for about a month. It takes time. Barefoot is not a quick fix. This thinking is why many revert back to shoes. If you are not riding him why not give him at least 3 months to test the barefoot to really tell if it is helping. Otherwise you still will never know. A few weeks will tell you nothing. Just my thoughts. Good luck. Just ask your farrier to leave the sole especially in the beginning. I found it is very hard for a farrier not to trim it. Its in there nature. . If he just trims and rockers the toe in the beginning and keeps flairs under control for the first few months thats all you need, The sole will start to thicken and concave on its own if the walls are nice and tight. Fingers crossed.
|
| Member: kthorse |
Posted on Saturday, Feb 24, 2007 - 8:16 pm: I meant roll the toe. Is rocking the toe the same thing? Anyone.? |
| Member: kthorse |
Posted on Saturday, Feb 24, 2007 - 8:38 pm: I forgot to mention another thing, Do you think pads would help. They make them with built in frog support and others all different shapes and ways to help support the foot you could tape them on or put hem in boots like old macs. I am bummed I had an old pair still good that I gave to my barn owners. If I had known you were going to try barefoot earlier I would have happily sent them to you with some pads. Just another thought. My horse thought they were heaven when I first put them on. He had strained ligaments due to unbalanced feet also due to the aggressive trimming |
| Member: stevens |
Posted on Saturday, Feb 24, 2007 - 8:51 pm: Aileen,Whatever you decide will be the right decision for you. Best Wishes, Chris |
| Member: sunny66 |
Posted on Saturday, Feb 24, 2007 - 9:25 pm: Thank you Chris, I really appreciate that! Katrina, that's a generous offer, I appreciate that He's fine barefoot, not sore, no problem picking his feet, etc. It will only take him a few days for the right foot. He has a lot of sole. I'll be able to tell if it's something else soon. My worry now is that he will be sore in his tendons and/or ligaments. If I'm going to guess that is his problem, I certainly don't want to expand on it. Hence the shoes if he doesn't do well. He is already a menace. Not a happy guy. But I'm going to wait for the bute to get out of his system because it's possible it's his belly bothering him, he was not happy the last couple of days either (locked out of his pasture due to rain - but he also had lost a shoe a couple of days prior to that). I've double dosed him on ulcerguard and that made a big difference. I'm hoping it's because he can't graze. We're just trying different things, something has to work. The previous shoes didn't work, and we didn't want to put more holes in his feet once the rockers got here... but we just don't know. btw, She didn't take a bit of sole off.
|
| Member: juliem |
Posted on Saturday, Feb 24, 2007 - 10:16 pm: Aileen, more twists and turns, ups and downs, huh? In your photos, the right front sole looks as if it were trimmed for a shoe, not for barefoot. It looks really close to the ground and it looks as if the sole callous at the toe was rasped, which would probably say the live sole was either rasped or trimmed. Anything that is flaky and loose is ok to come off, but not live sole. I still don't think the feet have been rolled enough, some call it a mustang roll, all the way around for barefoot. The breakover could still come back a bit I think, but I'm hoping it's just the photos. Actually, if the feet were rolled a bit more I think the breakover would look pretty good. If he's sore I think it will be from the right front sole being trimmed too much, but maybe he has enough depth of sole to handle it, and the breakover not quite right yet. When the heels are trimmed back to the widest part of the frog, they will actually look less underrun. Frequent trimming is good, but a barefoot trim is quite different than the way a hoof is trimmed that will have a shoe.I know what confusing information you have been given, from all of us, from your vets and from your farriers and it's to your credit that you're still listening to any of us!! Give him time as taking the wedges off adds yet another element to the equation. Do you have some good boots? The older version of Old Macs had the breakover too far forward and I think that has been changed in the newer ones. The Simple Boot by Cavallo is a good one, but fitting any of them is a black art! You can't always go by the size charts. Best is to find a barefoot farrier who keeps several sizes in stock and have him fitted. Well fitted boots come in really handy for a variety of soreness problems and can help you over the rough spots. I really felt encouraged by the consults you got and think there really may be light at the end of this long, dark tunnel. Keep on keepin' on! Julie |
| Member: shanson |
Posted on Sunday, Feb 25, 2007 - 1:17 am: Aileen, there's a really good website -- www.horseshoes.com/forums -- that is run by farriers that may be of help to you. I think they're pretty good about judging the quality of a trim. In fact, seems like it's the companion farrier site linked to from www.horseadvice.com, but I could be mistaken. You may want to post your pictures there too and get their advice. It's been very educational for me to monitor that site. |
| Member: sunny66 |
Posted on Sunday, Feb 25, 2007 - 8:45 am: Thanks Julie The wedges were taken off beginning of December, I think, so they are not an issue at this time. I'll be gauging this by his turns. If he turns better without the shoes, I'm going to give it a shot. To me, that would mean the steel on his feet are conflicting with his feet. But I won't know until the bute wears off. If he makes no progress, he'll get the rocker shoes on. Please remember that I'm going by the seat of my pants here. I don't know what's wrong. I don't want to do more damage. He will tell me. I'm sure of it. I'll call the farrier and ask her what she thinks about rolling the entire foot. She did tell me she took off no sole. She does know about the toe callous. He's had pads on for a year, so he's most likely got quite a bit of fake sole. He'll lose that in a couple of days. Thank you Sharon, I've visited that site before, they seem to do a lot of arguing ... lol .. I have been "talking" to a couple of other farriers on a different site and they are helping me as well Thanks to all, once again! |
| Member: shanson |
Posted on Sunday, Feb 25, 2007 - 10:04 am: Yes, sadly most forums are not as well moderated as this one. (Thanks Dr. O!) Some people just like to argue. Between arguments, though, I learn a lot from that site. Especially the forums where people post pix and professional farriers comment on the work.BTW, we tried wedges too with my mare and she immediately got worse. I'm sure they help with certain types of injuries, though. Pour in pads helped some, but not enough to justify the expense, which was significant. So, I've stuck with plain ole bar shoes...no bells or whistles. I keep her shod because she's in work. If she weren't, I wouldn't hesitate to try her barefoot. The important thing with chronic injuries like hers is to keep the foot well balanced and the toe rolled for easy breakover. |
| Member: sunny66 |
Posted on Sunday, Feb 25, 2007 - 11:07 am: Thanks Sharon! That's good to know! Both about the wedges and that you would consider barefoot for her.Maybe I'll get my own diagnosis.. because your mare's symptoms sound similar to Brave's symptoms! Thank you Dr. O for this site! I'm very concerned that trying him barefoot and keeping him confined will do no good whatsoever. However, what I'm doing just *may* be ok with my vet because he's on soft ground and can't get stupid. We have a list of things to try now... we just have to wait and see what he thinks. He wasn't nearly as irritated this morning, but iffy on the turns... won't go out of his stall because it's pouring rain right now. I've bedded him deeply and I'll call the farrier today to see about rolling all sides of his foot to see if that helps. Also a disclaimer... he was able to let me clean his feet with only the right shoe on this week, but I don't know if he'll be able to do that with both fronts bare... another thing he'll tell me... remember that for the November and December shoeings I was only able to hold his foot to clean for about 20 seconds. No, not a training issue. He's a good honest boy. Thanks again! |
| Moderator: DrO |
Posted on Sunday, Feb 25, 2007 - 5:25 pm: Yes we are a sister site to Horseshoes. I have been slack not to put a link on the new navigation frame to Horseshoes.com and will correct that early next week.I have been working like the devil to get together an article on trimming horses with chronic heel pain and, as so often happens with such a basic problem, it causes a complete rework of a constellation of articles so that they work together correctly. In the last few weeks I have completely redone the articles on diagnosis of lameness of the foot, navicular disease article, and several articles on balancing the foot. This was followed by an edit the menus on foot care and the reference section on conformation. This gets me back to where I can put this article together and create a network that works together. I hope it will help those with chronic undiagnosed lameness of the foot and should have it all pulled together next week (the week after at the latest) and will post when I do. DrO |
| Member: sunny66 |
Posted on Sunday, Feb 25, 2007 - 7:45 pm: Thank you so very much for all your hard work Dr. O!!! I look forward to reading the articles!I was able to clean each foot and hold for about a minute and could have held longer He's still not good on his turns tho. I then tried to get better pictures, however, a long hail storm ensued and it was tough getting him to stand still since the other horses were going bonkers. I did take a long look however, and it looks like the left angle is not good, but the right is. I hope all is well with you and yours, Dr. O. |
| Member: sunny66 |
Posted on Monday, Feb 26, 2007 - 2:22 pm: Second consult, NO CHARGE!! Only phone, nothing written, but hey ... Love them!Ok, similar to the first, (likes/knows my vet) Nothing demonstrable, but hasn't seen the horse, etc etc... He said I should be able to let him out to his pasture if he's sound barefoot, and was ok with him barefoot as long as he's sound, if there is a chance it's soft tissue. Phew. There was one erosion on something or other, that he says often causes ddft strains. He of course said an mri is my best choice, but barring that, a year off as long as he doesn't get worse would be fine. Hard to judge because no diagnosis. He of course disclaimed all of this with the fact he had not seen the horse yadda yadda... He did mention that it IS possible to ultrasound the foot through the frog... soak the frog for 16 hours first tho.... hoo boy, he would not like that, I'd be lucky if the soaking boot stayed on! |
| Member: sunny66 |
Posted on Saturday, Mar 10, 2007 - 4:56 pm: Farrier came out today to put the nanric rocker shoes on. He was still not landing heel first and still lame on circles and tight turns, but sounder on the straight. I thought his feet looked great barefoot, but since he's not sound, I wanted to be able to tell my vet that I tried everything before I do the barefoot deal for the long term.Following is a link to his barefeet before the shoes were on and a short video of him much sounder after the shoes were put on. Before the shoes, he was still lame barefoot. I wish I took a video before the shoes...He is on bute so we'll see. I'll update the link with pictures of his feet with shoes on later today. https://s141.photobucket.com/albums/r59/wishes_album/feet%20mar%2010%2007/ Dr. O, I printed out all the articles and gave them to my farrier. She promised she'd read every word. Thanks again for writing the articles! |
| Member: scooter |
Posted on Saturday, Mar 10, 2007 - 7:17 pm: Hi Aileen, Brave and Hank do have very similar hooves...the under run heel, flares, and wide white line. What a challenge!Hank still isn't sound, but better. I think we may be expecting too much too fast. I too read the stories how horses get better barefoot and the correct trim etc. I think we just have to let the horse tell us and do the best we can....patience isn't one of my better virtues, especially when the horse is sore or sick. Brave is a work in progress, just like Hank. I'm going to try sticking it out barefoot, maybe we can see who gets better faster!!! (hopefully they both get better) I really can't comment on your pics as I am getting way too confused with all this! Good Luck and keep us updated. Hank gets trimmed Weds. I will probably update my pics too.
|
| Member: sunny66 |
Posted on Saturday, Mar 10, 2007 - 7:32 pm: Thanks Diane, I updated the link with the shoes... I think they look funny, but he did go much better with them on, even tho with all the breakover everywhere he's a bit hesitant today in the pasture and in the pics. He's not landing heel first, but he is landing flat so that is an improvement I guess. We'll see what happens after the bute wears off No pads this time ... we're just trying different things and see what he wants. Farrier says some horses she's seen don't like any heel support whatsoever. If no pads is what he wants, would he need to go back barefoot to keep his foot healthy? He needs a size 5 with this shoe even the 4's are too small! In four weeks if he is improving, we'll put the 5's on. I too am confused Diane! I wonder if I can rule out soft tissue if he stays like this? |
| Member: mrose |
Posted on Saturday, Mar 10, 2007 - 8:37 pm: Aileen, thanks so much for posting the photos! Good job! This is very educational. I'l be very interested to see how he does after he's had these shoes on for a few days. You and Brave have really been a long time trying to work this out. His feet look a lot better, imo. |
| Member: scooter |
Posted on Saturday, Mar 10, 2007 - 10:39 pm: Wow Aileen they are some funky looking shoes! What is the reason for the heel part being off the ground? It would seem from pure physics it would make him land toe first??? Hard to believe his shoe size is that big! The 4's don't APPEAR to be small on him, but maybe this type of shoe is suppose to have a fuller fit? Very interesting
|
| Member: sunny66 |
Posted on Sunday, Mar 11, 2007 - 10:52 am: Thank you Sara, I hope they help someone...Diane, they ARE funky looking! The fours don't extend past his heel, so that's the main reason for the fives. With the rockers everywhere, he does stand on his toes, you can see how the back of the shoes comes up when he stands, but moving they help a lot it seems ... we'll see, at $40 per shoe, they better make him sound or we're back to barefoot
|
| Member: sunny66 |
Posted on Sunday, Mar 11, 2007 - 6:39 pm: Well, as of today, the shoes aren't making him sound, while he's sound on the straight, he has bilateral lameness on circles, his tight turns aren't that hot either. I'll leave them on for four weeks and check him again. Vet's coming on the 31st, I'll be asking him about the ultrasound.Edited to add, he's no worse barefoot than he is in these shoes. |
| Member: kthorse |
Posted on Monday, Mar 12, 2007 - 7:07 am: Bummer Aileen.I read an article about dramatic changes in hoof and angle. For example a horse that gets trimmed every 8 weeks. It showed the changes every time they were trimmed which effected the hoof and leg. Which confirmed that big changes in the hoof in each trim was damaging to the the hoof and leg. It stated that the smallest changes are best(unless founder or other detrimental condition) It stated that 4 weeks are best. This advise I think goes more to shod horses as there feet dont self trim. I know you do that.The only reason I mention this was could it be that the extreme change itself could be making him wimpy on his feet. Maybe in a few weeks you can tell better. Does that make sense? I am grasping at straws here.
|
| Member: scooter |
Posted on Monday, Mar 12, 2007 - 7:56 am: Sorry to hear this Aileen, that is why I left Hank barefoot, because honestly he is just as sound as when he had shoes on. If it wasn't for this last bruising episode , I actually think he is BETTER barefoot. He is trimmed every 6 weeks, he just doesn't grow enough hoof in less time and he will become sore if trimmed too often. I am not up to doing my own trimming so that works for us.The barefoot route is a long one and quite frustrating at times. Hank isn't good on tight turns either and he still has a somewhat pottery gait, but I am willing to give it a little more time. I know BOTH of us want our horses better NOW, but think about how long it took for them to get this way, I figure the road back will probably be as long. (I hope not). Good Luck |
| Member: sunny66 |
Posted on Monday, Mar 12, 2007 - 11:08 am: Thanks Katrina, I'm hoping he'll be better in a couple of weeks, but it seems no matter what we do with his feet he stays the same ... Unless of course he's on bute.Thanks Diane, I know you're right... |
| Member: shanson |
Posted on Monday, Mar 12, 2007 - 3:58 pm: I don't know your entire history of shoeing here, but have you tried plain-ole bar shoes with no wedges and rockered for easy breakover? I shoe my mare in the front with these and they only cost $20 more total than a regular shoeing on the front. And, this is a top-notch farrier in my area. From there, you can try pour-in pads and wedges to see how he's most comfortable.Once again, now that you have good pix, I recommend that you post on www.horseshoes.com. They may have some helpful input for you. |
| Member: quatro |
Posted on Monday, Mar 12, 2007 - 9:50 pm: Hi Aileen, I feel for you. I hope that someday we can be worry free.Have you seen the reference to the "Tracme shoes" somewhere on one of the other posts? I called and they sent a sample of the shoes. They are pretty interesting, This lady designed them for her horse, She ran a forging company and had her vet and farrier design the shoes, and she makes them. They are hopefully going to work for Levi someday when he has a foot to shoe! The web site is www.tracmeshoes.com It says it is useful for navicular synDrOme, long toes, crushed heels etc. Good luck, levi and I are still thinking about you. suz |
| Member: sunny66 |
Posted on Tuesday, Mar 13, 2007 - 10:39 am: Hi Sharon, thank you, I did post there a long while ago, December I think Their comments were to increase the breakover to encourage heel growth, to use the EDSS system, someone else commented that his bars were bent. The bars are good, the EDSS system is on our list of things to try, and we have worked on increasing the breakover Farrier, farrier's mentor, and my vet do not think bar shoes are the answer for him, but I will keep that in the back of my mind for future reference. I just wanted to let you know that I'm not completely ignoring your suggestion He got more healthy heel growth when barefoot than with shoes. I've talked to my chiro/vet and she agrees that may be the way to go for awhile at least and see how he does. However, my lameness vet is coming out on the 31st for spring stuff and I've requested extra time for a lameness exam, perhaps a blocking session of the coffin joints, and maybe injection of the coffin joints (this before I talked to my chiro/vet). Again, his lameness is no different no matter what type of shoes/pads are put on or if he's barefoot. That said, I have my petsitter lock him out of his pasture in the afternoons (getting pudgier!) and I let him out again when I get home from work for an hour... he cantered to me, stopped, DrOpped his head and waited for me to tell him I had no treats before he went out to pasture So I can still say he is sound on the straight in all gaits. Thank you Susan I'll add that to my list! I do appreciate your thoughts and I keep you and Levi in my thoughts daily
|
| Member: sunny66 |
Posted on Saturday, Mar 17, 2007 - 2:11 pm: I've uploaded a video of him today. He is better, but not sound on the full circle. I will continue to monitor him weekly and see if he gets any better, but I'm leaning toward taking the shoes back off. If he gets healthy heel growth with the shoes I may give it another four weeks, but if he doesn't I'm thinking to pull the shoes and get his heel growing. Then try the shoes next spring when I start riding him again...hopefully, at least at the walk.You can see in the video times where he is relaxing, but they are very short. His tight turns are still ouchy. https://s141.photobucket.com/albums/r59/wishes_album/feet%20mar%2010%2007/ |
| Member: sunny66 |
Posted on Saturday, Mar 31, 2007 - 7:06 pm: Vet came today. He was bilaterally lame on the circle, worse on the circle to the right. While he still thinks Brave needs to be retired, he thinks I've exhausted all options.However, he DID say I could try barefoot for three months with the caveat that whatever "changes" happen may need to be fixed with shoes. I told him that when he did go barefoot this last time and grew heel, that my farrier came out in two week intervals -- until the nanric shoes came -- to keep his toe back and that I was sure she'd do so again. That way if she saw any deterioration she could put shoes back on. He was happy with that He does not think that Brave will return to being my dressage horse, he was very hesitant, but did say he does not think that fixing his heels would solve his problem... He did say that if I did bute him and ride him as my dressage horse I could cause him to deteriorate faster. So, same diagnosis, but another thing to try with my vet's blessing. Oh... and he lost weight 1160 whew.
|
| Member: amara |
Posted on Saturday, Mar 31, 2007 - 8:18 pm: aileen, so sorry to hear about what the vet has to say about Brave...i'm not quite sure why he's insistent that the horse has to have shoes on.. even if there are soft tissue changes, they can heal just as well barefoot....i think it more a key of his general maintenance as to how any soft tissue changes would heal... in fact, if you go barefoot, i wouldnt be surprised if there were some soft tissue changes.. if you can find yourself a good barefoot trimmer (and i mean do the research, chck references, see who they studied with and how much experience they've had with "problem horses", you'll find that they really change the way brave's feet look... these changes could very well have some soft tissue affects because of how the bony angles and the tendons/ligaments are interwoven together... as long as you dont let him get himself into trouble it might not be a bad thing.. if you do decide to go barefoot you may want to leave yourself with more than 3 months before going back to shoes.. as i know you've seen mentioned, it can take over a year for a horse's foot to be sound barefoot because of all the changes a horse has to make, esp. with a horse who has such problems... the horse i mentioned in an above post did have the rocker shoes you mentioned put on as a last ditch attempt before the vets threw up their hands...if anything he only looked worse... the horse definately did not get better for several months-had some good days, but not "better" for quite awhile... but he's fine now, and she doesnt need to use boots, even when trail riding (on that's on rocky new england soil!)... so if you decide to go barefoot, find the absolute best person for the job-not just someone who's recommended, but someone who has the credentials to backup that recommendation... and then stick it out for the long haul.. if the vet is talking about retiring this horse anywas, then what do you have to lose? good luck.. Brave is lucky to have you... |
| Member: sunny66 |
Posted on Saturday, Mar 31, 2007 - 8:53 pm: Thank you Melissa!My farrier REALLY wants to fix Brave. She's willing to learn. If I could find someone to consult and come up here, I know my farrier would be extremely pleased to be there and learn. I had asked her previously about relieving the quarters and she said she did what she could without compromising the white line... then I showed her pictures about what I meant and she said "Oh! I can do that" I think what I will do is keep posting pictures (if that's ok with everyone I'm taking a LOT of bandwidth here I realize!) and get everyone's input. Oh and I'm also going to ask her to bevel the entire foot. I will do what Brave tells me... as long as he doesn't get worse, we'll see how it goes. I have to say again tho, he was no worse barefoot last month, so it won't be because he's ouchy without shoes. When you say "general maintenance" can you expand on that? btw, I did ask the vet about doing the ultrasound/mri deal, and he said honestly, it wouldn't help anything. Brave is bright and sassy and silly so that's good. |
| Member: mrose |
Posted on Saturday, Mar 31, 2007 - 11:41 pm: Aileen, it's been so long since I've posted. I've been reading all the post, and just now read through everything again. You have really "been through the mill" - you and Brave both. I have no advice, but am learning a lot. When I'm not so tired I want to go back over this and read some of the sites you've been refered to also. Thank you for keeping up with the posts and pictures. |
| Member: scooter |
Posted on Sunday, Apr 1, 2007 - 6:57 am: Sorry Aileen, I hope you find a solution. My old vet said Hank would never be sound again too. With shoes he is....so keep trying. There may be something that helps and barefoot could be it.Like Melissa said 3 mos. probably won't be enough to tell if it helps, but you will know if it doesn't by then, if he gets much worse. GOOD LUCK! |
| Member: sunny66 |
Posted on Sunday, Apr 1, 2007 - 10:25 am: Thank you Sara and Diane Sara, I'll probably start another thread about the barefoot route... this one has gotten long too. The vet did reiterate that if his only problems were his front feet, he'd be all for all diagnostics, but he has hock, stifle issues as well... hence his retirement diagnosis. Have you posted any updates on Libby? Is she home? I haven't been on in a while... Hi Diane, yes I do realize that I plan on measuring his feet to see if there is any progress every four weeks, that way if he does improve it's on paper and I can show my vet He'll be out again in a couple of weeks for Lady, and again in July. He really is such a good vet with a huge heart, I am incredibly happy that he has ok'd this so I don't have to lie! His hind feet look fabulous! They've been bare for quite a while now and he has healthy heels Next farrier appt. is April 7. |
| Member: kthorse |
Posted on Sunday, Apr 1, 2007 - 5:24 pm: Aileen I am so bummed for you. Every time you think he is better it ends up not being so. How frustrating for you.I had problems with lunging the last few days and am thinking mine might have the start of Navicular. I posted under navicular. i could not find your first post to read so if you dont mind can you tell me if he had slight symptoms for a long while before he got very lame? Curious. Thanks Katrina |
| Member: mrose |
Posted on Sunday, Apr 1, 2007 - 5:59 pm: Aileen, Libby is continuing to improve and get stronger and should be able to come home in a couple of more weeks! I can barely wait to pick her up.
|
| Member: amara |
Posted on Sunday, Apr 1, 2007 - 6:14 pm: what i mean by general maintenance is to just make sure he doesnt start any rodeo antics with his buddies and stuff like that... he doesnt need to add bruising or real strained tendons to his problems!!!as far as finding a good barefoot trimmer maybe you could go to the websites of the "barefoot guru's"? pete ramey, jamie jackson, kc lapierre, geno o. etc., and tell them the story and where you are and see if they could recommend someone in your general area that could work on your horse.. i really think it will be critical for you to get a good barefoot trimmer to work for you.. i know your farrier is willing to learn, but perhaps learning on a horse who needs some expert care isnt quite the way to go... (tho my friend with the horse i have mentioned above did the horse herself, but she looked at his feet only as a trimmer, with no real farrier experience behind her...) good luck and keep us posted.. you have a big, generous and BRAVE heart... |
| Member: sunny66 |
Posted on Sunday, Apr 1, 2007 - 7:37 pm: Oh Sara! I'm on pins and needles Go Libby Go! Katrina, I posted on your thread, but this thread has an 'introduction' to Brave's issues. Under https://www.horseadvice.com/horse/messages/4/8338.html Look for Still a Mystery... Started in 2005... Thanks so much Melissa! He has individual turnout. Can nuzzle over the fence tho. Glad you said something because I was thinking of putting the mare in with him... The one thing that scares me about barefoot is there are SO many different opinions... for instance, my farrier says that the bars support the coffin bone.. So I don't want to pick the wrong way to go barefoot and have them jeapardize his coffin bone ... My farrier will trim them if they are overlaid, overgrown etc., but other than that she leaves them alone. I don't think there is anyone up here with great credentials... it would be wonderful if they could teach my farrier then she could fix a lot of other horses up here! I hear what you're saying tho. Thank you for the list, it will get me started
|
| Member: paardex |
Posted on Monday, Apr 2, 2007 - 3:49 pm: Aileen I really admire the way you keep trying!I just wish you had a bit more luck with Brave. Jos |
| Member: kthorse |
Posted on Monday, Apr 2, 2007 - 6:55 pm: Thanks Alieen,Thanks for the link and your advise. I understand the thoughts and confusion on bars. I left them alone for the whole time I was trimming. My new trimmer says the bars were so over grown that she thinks he got inflammation from them. She wants me to trim them and keep them down. She thinks that is why he is funny on his front. I am giving it a try. He is still sound except for lunging. She does an excellent trim. i was getting worried doing it myself even though I think I helped his feet alot. I am thinking it cant hurt. I am giving her 6 months to see if she is right that is unless he becomes severely lame then I will go back to doing it myself. She said that if he did have navicular she doesn't think so, that barefoot would be the best anyway I do agree with her on that point. She also recommended recovery to try for a month and a chiro to help with the stiffness. I am going to try that route before the vet as no matter what the outcome. If a vet diagnosed him with navicular or arthritis I would go the same route or try it at least with out the expense. I don't want to pay for a diagnosis that cant be fixed anyway except by being relieved as I am trying to do anyway. I am hesitant about Chiros. I don't like them on me. and supplements well who knows. But if I don't try I wont know. Its going to be hard not riding in these beautiful mountains. They are my medication. Wishing you some sort of resolution to this. Again good luck |
| Member: sunny66 |
Posted on Tuesday, Apr 3, 2007 - 11:51 am: Thank you Jos Katrina, if you go the chiro route, get him a massage before to loosen up his muscles, the chiro will take and keep much better...or just do massage for a while and see if that helps. My guy absolutely ADORES his masseuse, sadly she moved to Colorado... Melissa, I did a small amount of research and I have joined a KC LaPierre forum. KC himself actually responded! He stated that he thinks my goal of wanting Brave to land heel first right now may be misguided and could end up causing more damage to his already damaged nav/tendons/ligs. He said I need to fix the underrun heel first, then worry about the landing. I agree with him on a number of issues, one that he actually wants my horse to have heel, versus some of the other trimmers that do not want my horse to have heel... I like that he wants a healthy environment for the coffin bone, but one of his people said the bars do not support the coffin bone. They said it is suspended on a C Spring... I'm not sure about this at all, so I am hesitant on this point. Another point I'm hesitant on is the fact they don't want to trim the forward grown heel, they want to keep it there to build upon.... I thought the forward grown heel was like a hang nail and caused pain? Can anyone help clear this up? I have ordered his book and we'll see... |
| Member: quatro |
Posted on Tuesday, Apr 3, 2007 - 1:23 pm: Aileen, our poor boys At least we are not giving up, I am keeping Brave in my prayers as well. Sara, don't forget to let us know when we are to have our cyber-toast! suz |
| Member: mrose |
Posted on Tuesday, Apr 3, 2007 - 9:57 pm: Oh, I won't forget! I'll be talking with Libby's vet end of the week and should have an update to report and hopefully a time schedule. I just wish we could celebrate the end to illness, lameness, etc. for all the other horses on this board. They all deserve to be pain free. |
| Member: sunny66 |
Posted on Wednesday, Apr 4, 2007 - 9:57 am: Thank you Susan how can we give up when those big brown eyes look at us the way they do... and those nuzzles and nickers...? Sara, you are so very sweet and so very right Dr. O, could you comment on what the bars support? Is it the coffin bone or the hoof wall? Both? Thank you! |
| Moderator: DrO |
Posted on Thursday, Apr 5, 2007 - 9:18 am: This is not as simple a question as it may seen Aileen and to some degree depends on what you mean by support. The anatomical relationships are not as important as the functional relationships and that seems more pertinent to your question. Functionally the bars:
DrO |
| Member: sunny66 |
Posted on Thursday, Apr 5, 2007 - 10:22 am: AH, got it. Thanks so much Dr. O, you are the best
|