Site Menu:
| This is an archived Horseadvice.com Discussion. The parent article and menus are available on the navigation menu below: |
| HorseAdvice.com » Diseases of Horses » Lameness » Diseases of the Hoof » Overview of Diagnosis and Diseases of the Foot » |
| Discussion on Still a mystery... Part 3 .... Barefoot | |
| Author | Message |
| Member: sunny66 |
Posted on Saturday, Apr 7, 2007 - 12:57 pm: OK, here are the pictures of his trim today. She didn't do much at all, just took his toe back.https://s141.photobucket.com/albums/r59/wishes_album/feet%20april%207%2007/ |
| Member: scooter |
Posted on Saturday, Apr 7, 2007 - 1:07 pm: I don't know what to say anymore about hooves Aileen, just keeping my fingers crossed this works for him! |
| Member: sunny66 |
Posted on Saturday, Apr 7, 2007 - 1:12 pm: Thank you Diane, me too! We'll see
|
| Member: sunny66 |
Posted on Wednesday, Apr 11, 2007 - 11:09 pm: He was quite sore when the shoes were taken off but got a tiny bit better day by day (wouldn't trot or canter), we had a bit of rain today so I'm assuming it softened up the ground a bit Tonight I saw a few sound straight trot steps!! He's also doing tight turns VERY well With shoes, if he did trot his head was as high as he could possibly get it.... bilaterally lame. Any recommendations on inexpensive boots? Are there any inexpensive boots? I'm waiting for some boots to come on the market to spend a bunch of money. Thanks in advance! |
| Member: kthorse |
Posted on Thursday, Apr 12, 2007 - 7:51 am: Aileen e-mail me if you want me to send some pads. They fit in old macs, but I am sure you can cut them to fit in any brand. Easy boots are the recomended boot that you can leave on for long periods although I left my old macs on all day for turn out and he was fine. I just took them off at night in his stall.Kturner1999@optonline.net |
| Member: sunny66 |
Posted on Thursday, Apr 12, 2007 - 11:23 am: Thank you Katrina!! You are so sweet No need to send the pads tho.... I thought the easy boots had sharp edges or something? I can't remember now, may try cavallo simples...
|
| Member: scooter |
Posted on Thursday, Apr 12, 2007 - 5:56 pm: Aileen, I have the old macs and really like them as far as ease of use. They are very easy to get on and off. I have had mine for 4yrs. now so they hold up well too. It would have cost me a fortune to shoe the horses for 4 yrs. compared to $150 for the Old Macs. I have the old style ones, but think the newer version looks even better. They stay on thru everything. I used them on Sam for his barefoot transition and still use them occasionally when I ride him. They are great just to have on hand....for our many hoof problems. The trick is to measure the horses hoof properly for a good fit.The few people I know that use easyboots have a heck of a time getting them on and off. |
| Member: kthorse |
Posted on Thursday, Apr 12, 2007 - 6:27 pm: Aileen I had the cavallos. I traded them for 50% off the old macs. The reason being they are pretty wide and tend to twist a little. If you are just going to use them for turn out I think they will be fine. Thats what I used them for. They tended to twist more when riding. Your horses feet are wide so they might actually be OK for him. They are very easy to put on and off. They did not rub and were in general a good boot.The easy boots now have things to put on the sharp edges. I would get them if I was doing endurance. My old barefoot trimmer flattened the sharp bits for my girlfriend when she brought them. Thats easy to do. The new ones with gaiters are easier to put on and off than the old ones which I hated. Just throwing out options. My preference is the old macs but all of them have good points. If you are not riding in them for a while till he is better they will last you ages and ages. Much cheaper than shoes. My first pair of old macs lasted 2 years. My offer of pads is still out there as I have some spare as when he was very lame I thought I would need them. Good luck. I wish my new trimmer was near you. She is soooo wonderful and I have never seen my horses feet look so good. I trim him inbeween as per her instructions so he actually gets done every 2 weeks. I have been lunging with side reins and doing a lot of other exercises to strengthen his back and he seem to be getting better during circle work. Maybe he just needed more suppling and its not leg problems. I starte him on recovery EQ as recommended by my trimmer. Its a very high glucosamine product. we will see. |
| Member: sunny66 |
Posted on Friday, Apr 13, 2007 - 10:29 am: Thank you Ladies Diane, how's Hank doing? The cavallos I can get down the street, but they only have size 1-3's .... hopefully he won't need a size 4! The stores around here have quit selling the old macs. Katrina, that is wonderful news that your boy is doing better I'm thrilled for you! I was going to try Recovery EQ, keep me posted... I may still try it... Brave's on cosequin and doing well, but does better if he gets the Conquer gel as well. just a note about the lunging... not too much, keep him up and open and forward... and using his back What I wish I knew years ago, but you probably already know it ;)
|
| Member: kthorse |
Posted on Friday, Apr 13, 2007 - 11:35 am: Thanks Aileen, My lunging is not the typical go around in a circle. Its transitions and more transitions after warming up a little usually on the trail. I change gait every half circle. Its only a 10 minute workout but after a month his back is so muscled and strong. Sometimes I only let him do 2 strides at a canter then back to a trot. Its a great listening exercise as well.It teaches them to bring their hind ends under them as they are waiting ready for the next transition. I would not do this on an unfit horse though as its an extremely tough workout. but a great one. |
| Member: sunny66 |
Posted on Friday, Apr 13, 2007 - 12:21 pm: Hi Katrina, I completely agree I just wanted to note that because I have since found out that lunging Brave in a 10 meter, 15 meter or even 20 meter circle was bad for him since he has navicular, it exacerbates it... The only time I lunge him now is for a couple of circles to see if he's lame or for the vet. Just call me a worry wart...
|
| Member: scooter |
Posted on Friday, Apr 13, 2007 - 2:07 pm: Aileen Hank is doing great!....for the moment anyway. I ordered my old macs thru valley Vet online. I was just looking at their new G2 line, I think I may have to get a pair. They look much sleeker than the old ones. |
| Member: sunny66 |
Posted on Friday, Apr 13, 2007 - 4:08 pm: Ah yes, I know about "the moment" lol... glad to hear he's doing so well! I also have a request into my farrier on the best type of boot for Brave so we'll see what she says too
|
| Member: sunny66 |
Posted on Saturday, Apr 14, 2007 - 1:23 pm: Farrier is coming on Tuesday to fit boots... I don't know what kind it is, but they worked with cavalo to make it, so we'll see, it has the built in pastern wrap. When I was measuring him I saw bruising on his white line, but the farrier said she's seen intermittent bruising even with shoes ... hmmm...Good news is that his left foot is 5 1/8" wide and just 5" long, right is 5" wide and long
|
| Member: scooter |
Posted on Saturday, Apr 14, 2007 - 4:27 pm: Good luck Aileen, Hank had the bruising in the whiteline also, it actually was gone this last trimming. Hopefully getting his feet back to normal will take care of this! |
| Member: sunny66 |
Posted on Sunday, Apr 15, 2007 - 8:01 pm: Thank you Diane... I hope so!! He cantered about 20 steps today in turnout, granted it was windy so it may have just been adrenalin, but he didn't do that with shoes on. Seemed sound, but then he trotted... nope... at least he wanted to!Katrina, check out this site... great information https://www.hoefkatrol.com.whsites.net/Webstite%20Engels/default.htm |
| Member: kthorse |
Posted on Sunday, Apr 15, 2007 - 8:46 pm: Great site Aileen,It makes sense. Blaze always seems better when I get him in proper shape using proper muscles IE the back. I am going to go back and read it more tommorow. Thanks for the link. Great info. He always was better when in dressage shape. |
| Member: sunny66 |
Posted on Saturday, May 19, 2007 - 11:38 am: Here's a link to the latest trim:https://s141.photobucket.com/albums/r59/wishes_album/feet%20may%2016%2007/ He's doing ok, sound at the walk, not the trot, but looks SO much more comfy...was doing great the last two days, but yesterday just ok. He likes the boots for only a short while, then he tries to take them off... He's relieving his own quarters like crazy, had no visible bars two weeks ago, now they're back...His heels are still not growing down. This has me puzzled because when he was shoeless for four weeks in the winter he had the start of a healthy heel, but we can't get it now. A bit frustrating. But I finally have boots so I can start walking him on pavement... today will be his first walk off the property in over two years!!!!! Any comments or suggestions appreciated! |
| Member: scooter |
Posted on Saturday, May 19, 2007 - 1:55 pm: Aileen, don't know what to say about the feet anymore....but I hope he continues to improve! |
| Member: cgby1 |
Posted on Saturday, May 19, 2007 - 4:06 pm: Hi Aileen, I just found this discussion, my mare Shimmeree has navicular. She has been barefoot since about 1999. It came on gradually, I was not riding her until early last year, 2006. We started to notice it when we took her to a trainer to restart her under saddle. We ended up bringing her home and I started doing research online, thats how I found HA. We got her pasture sound with isoxsuprine, joint supplements and a new farrier's trimming. He is also a trainer and he started getting her going again in January. We found out that exercise every day got her more sound and when I added boots with thin pads she lenghtened her stride. She has such round feet that the only boots that fit her are the original old mac's size three. I have a pair of size 2 easy boots with gaiters practically new that would never fit her right. We are working her in our arena doing dressage and even if she starts acting ouchy, she is fine as soon as we stop. The exercise has her much more fit and at an ideal weight. She is also getting her loin muscles developed as well as her neck and back. My trainer/farrier thinks it is like physical therapy, and I wish I had found him a long time ago. |
| Member: sunny66 |
Posted on Saturday, May 19, 2007 - 4:24 pm: Thank you Diane Cynthia, where in CA are you? I'm in No. Cal above Sacramento, if you're nearby I would love the name of your trainer!! He is not on the iso, but is on joint supplements. Brave is sound at the walk... I haven't asked him to trot out, but he will occasionally in pasture and doesn't seem to be lame, but he stops after a few steps so that tells me he's not really sure about it...but that's ok, something is better than nothing! Brave did very well on his first walk off property No spooking even with cars going by about 5 feet away...just LOOKING all around, he liked it
|
| Member: amara |
Posted on Saturday, May 19, 2007 - 4:38 pm: aileen, when were his feet last done before you took these most recent pics? i see what you mean by the heels not growing correctly, but i also notice how uneven they are... |
| Member: cgby1 |
Posted on Saturday, May 19, 2007 - 4:52 pm: Hi Aileen, I am in So.CA in Murrieta which is close to the Riverside / San Diego county border. We think that the circulation in her feet might be the problem but that link to hoefkatrol is very interesting and supports what is happening with our dressage training. Before we started she tended to be a little over weight, so the exercise helped with that as well. I only use the boots during training but she is out 16 hrs a day on 3 acres. I don't know if the iso will help but its not too expensive, so would not hurt to try it. Hope Brave is improving and that you find something that helps. Cynthia
|
| Member: sunny66 |
Posted on Saturday, May 19, 2007 - 5:06 pm: Oh shoot, Cynthia, too far away. Would you mind terribly asking him if he knows anyone up here he could recommend? I too like the hoefkatrol site... Was your horse lame at all when he first started riding her? I do have someone who rides well that, while isn't a dressage rider, does ride back to front ...Hi Melissa! He was done just three days ago... was really comfy the first two days after the trim, now, not so much... but ok with boots on. |
| Member: cgby1 |
Posted on Saturday, May 19, 2007 - 5:31 pm: Sorry Aileen, I will ask him. He also worked with Gene O. the natural hoof guy at a clinic. She was walking good, putting her feet down flat, though not quite heel first. And when he started she would start to get a little sore by the end of the session. We noticed that she improved with exercise but got worse again if she didn't get worked for several days. The boots with pads seemed to help a lot with concussion, she is trotting and cantering, you can read about us in Dressage Suitability, New to Dressage. Cynthia |
| Member: sunny66 |
Posted on Saturday, May 19, 2007 - 6:58 pm: Thanks so much Cynthia
|
| Member: erika |
Posted on Saturday, May 19, 2007 - 7:13 pm: I was thinking what Melissa was, as to when the trim was done. It doesn't look like a fresh trim to me. If it is, I think they still need to take the toe back a bit, no?Just finished a long couple of years trying to get rid of a nasty crack--I am really sensitive to a long toe now.
|
| Member: kthorse |
Posted on Saturday, May 19, 2007 - 7:15 pm: Hi Aileen, Would you mind if I asked my trimmer to look at the pictures if she gets a chance. I am and I am no expert but my thinking is that that left of the sole pictures at the back quarters could come off a slight more. It doesn't look quite right to me. Sometimes when I trim I think it looks perfect but after a picture I can see something else I could have done. Its also hard to tell because of the pine tar or stuff you put on. Are they front feet pictures. The left sole picture looks like a rear hoof. One of the side hooves the toe looked pointy not rolled enough. I think you should send you pictures to some barefoot experts and get an opinion they are always happy to help. The heels are not too much different than my horse and he is rock hard sound. As long as they are left alone I dint think they are the problem. Take a ruler and measure the pictures to make sure its equal everywhere. Dr o.s tip to me, great tip. The more you exercise a barefoot horse the stronger the feet become. The most successful barefoot horses are ridden many many hours. In your situation thats hard. |
| Member: sunny66 |
Posted on Saturday, May 19, 2007 - 7:40 pm: Thank you ladies These are pictures of his front feet, not hind... they are both getting narrower, not wider I think which sounds like the opposite of what's supposed to happen. Aren't they supposed to expand? Or maybe the shoeing that was done prior to the shoes coming off did let his feet expand and now they're becoming more efficient? He did go from a size 1 to a size 4 shoe in the last six months or so... His left front toe does look like it needs to come back more, I was just down there looking at it and putting more goo on, but I'm pretty sure she did all she could. She knows that his left is the longer toe. His right looks good to me while it too probably could have come back more, but I'm no farrier... I have seen her really back up the toe before so I know she does it, maybe there was something going on that she sees that I don't? He's getting trimmed again on June 2. His right foot does look equal from the widest part of the foot front and back, but not his left. I left his boots on today for about 5 hours and he didn't pull them off so we'll see if that helps. I didn't want to leave them on in the heat of the day... I have to say this tho, this was the first trim that he was better right afterward, not worse... for whatever that's worth Katrina, your trimmer is more than welcome to look at the pictures, I'll take some more tomorrow without the goo
|
| Member: sunny66 |
Posted on Saturday, May 19, 2007 - 7:52 pm: Wanted to add, that she did a LOT of rasping this last time to get a good line, his toe was really long (think skis) because we were waiting for his boots to get here... maybe that's why the long toe? |
| Member: amara |
Posted on Saturday, May 19, 2007 - 7:54 pm: if those pictures were taken just a few days after he got done than i think your trimmer needs to take a more active role in working on his heels.. while it can be hard to tell without being there, they dont appear to be even.. in both sides, the right side appears to be longer than the right.. see if your farrier can make sure they are even... the front quarters on the left front dont "appear" to be trimmed well.. they appear very ragged and uneven.. is your trimmer doing any sort of finishing roll on the wall?its hard to tell from the pics but is the frog higher than the wall?...some trimmers recommend it, some dont... as far as the size of the foot, i wouldnt worry to much.. he'll go thru lots of changes... good luck |
| Member: sunny66 |
Posted on Saturday, May 19, 2007 - 8:41 pm: Thanks Melissa, I think his frog is not higher than the wall.. I'll look again tho.I'm guessing she's just cleaning up his quarters, he seems to do a lot more relieving on the right than the left... maybe she's just taking what he gives? It does look like she forgot to finish the left... I wasn't there this time because I wanted him done asap... I'll ask her about the quarters, heels and to take another look at the left front. Thanks again
|
| Member: sunny66 |
Posted on Sunday, May 20, 2007 - 9:46 pm: Ok, I added pictures without the goo... and a couple of videos... I think he's landing flat again, not sure tho. He's walking fine, but the trot looks like all four legs hurt, or maybe his back? I'm having some doubts about barefoot... he'll stay that way until July when the vet comes and I get more xrays taken to see if he's gotten better/ worse / stayed the same.https://s141.photobucket.com/albums/r59/wishes_album/feet%20may%2016%2007/ |
| Member: dres |
Posted on Sunday, May 20, 2007 - 10:17 pm: Aileen, you need to get someone to help you video tape him at the trot.. this was not enough or good enough to really evaluate.. What i saw, and like i said it was not a good tape,, is a horse not using himself.... Why? is the question.. it was hard to see if there was a head bob.. it was just difficult to judge..On the first day God created horses, on the second day he painted them with spots.. |
| Member: amara |
Posted on Sunday, May 20, 2007 - 10:43 pm: well, it does seem to me that he seemed foot sore, but as stated, there was not enough tape to really say for sure what was going on... i certainly wont speculate on the causes of it, but his movement (what i could see) was not atypical of horses transitioning from shod to barefoot... the transitioning process can take a year before the horse is fully comfortable barefoot.. as long as nothing bad is going on inside his hoof structure, i urge you to give him that time...i also think you need to work with a trimmer who trims barefoot for a living...you mention her being in a rush and maybe not finishing the foot properly.. at the stage he's in, that's VERY bad...he needs a properly trimmed hoof, every time... the unevenness of his heels concerns me as well, and so soon after his being done... there's also unevenness in medial lateral balance... i get the impression that your farrier is essentially "pasture trimming" your horse, not therapeutic/performance barefoot trimming your horse...i know you like your farrier and its hard for you to find a certified trimmer in your area, but you may be doing brave a disservice... good luck |
| Member: sunny66 |
Posted on Sunday, May 20, 2007 - 11:48 pm: Thanks ladies Sorry for the bad quality, I didn't ask him for much, he wouldn't hold a trot... hence the shaking of the camera while I was urging him on. As soon as I stopped, he grabbed the lunge line with his teeth and shook it around... still had a sense of humor...then I just walked him in hand and he was striding out beautifully... it was only the trot that hurt him. I'm going to see if I can get his vet out to do some accupuncture and see if that helps. I do understand your concern about not having a barefoot trimmer... I will admit that I wasn't too concerned at first because he was sound in the winter with just a normal trim when he lost his shoe. There is one person two or three hours a way. I was hoping to find one closer. I just talked to my farrier and she's going to stop by tomorrow and take a look with her rasp. She did tell me of one person also 3 hours away that makes total sense to her... |
| Member: sunny66 |
Posted on Tuesday, May 22, 2007 - 10:53 am: Farrier came by last night... there was nothing to do to the hoof. She said his toe is as far back as she could take it, and that his hoof wall is very thin. I don't know what happened, but his heels look like they evened out? She said the balance was off since he was relieving his quarters. She wants to just let him grow. She said everytime he gets some growth she trims it off, so can't really do a great trim. I asked her about the long toe deal and that one of the reasons I'm doing this is to keep his toe back to hopefully get some better heel growth... so letting him grow would mean he'd get a bunch of toe...we're at a loss.She's calling her barefoot guru to see if she'll come and take a look. If her guru can't, I'll see if the one I know can. |
| Member: sunny66 |
Posted on Tuesday, May 22, 2007 - 11:12 am: Also I made the mistake of putting crossopol on his soles to toughen them... how do I get it off? water? |
| Member: cgby1 |
Posted on Tuesday, May 22, 2007 - 3:46 pm: Hi Aileen, I haven't been able to get online for a couple days. I looked at your photos and videos and read the posts. I agree with Melissa, do not get in a hurry to put him back in shoes. Find boots that fit him and add the thin pads. Have you been to the www.easycare.com site? They have easyboots, Old Macs,(both the original and the G2) and Boa as well as pads. They also carry all the spare parts to make repairs. My mare has very wide short feet and I had to get the original Old Macs, they were the only ones that fit. And it doesn't look like his toe is beveled, that will help with break over. My previous farrier did a pasture trim that looked a lot like your horse. He was resistant to the barefoot trim. Once you get the boots on him, I would start exercising him even if he starts to get sore. I have found that my mare improved and could go longer each day. And it helped her loose weight and tone her muscles. The dressage has helped to get her to use her back and hind legs to carry more weight. That hoefkatrol website has some good points, Lyn, my trainer says that if you don't use it you lose it. It seems that even though she had lots of room she wasn't getting enough exercise. I have a neighbor who had a paint gelding that they kept in a small pen (they grew xmas trees on their property)and he had navicular. They had him nerved. Thats what my old farrier thought I should do. The nerving didn't last and they ended up putting him down. My girlfriend spent a fortune putting special shoes on her paint mare and she was never able to stop because it didn't cure her. It took me a long time to figure out what works, so don't expect a fast and easy fix. Cynthia |
| Member: cgby1 |
Posted on Tuesday, May 22, 2007 - 4:36 pm: Aileen, Do you have Direct tv or Dish tv or do you know anyone who has it because I am watching Clinton Anderson"s Downunder Horsemanship program and they are showing a great demonstration by Pete Ramey of Hoof Rehab on hoof trimming. It will be on again later today if you could catch it. Cynthia |
| Member: paul303 |
Posted on Tuesday, May 22, 2007 - 10:56 pm: Cynthia: Thanks for the heads-up, I'm watching right now. |
| Member: cgby1 |
Posted on Wednesday, May 23, 2007 - 1:24 pm: Hi All, I was reading some of the earlier posts and I saw that Diane mentioned a couple of things about the boots that no one addressed. The new Old Macs G2 are sized more like the easy boots and Boa's, for a longer narrower foot. I learned a couple of things with the easy boots, to unlatch them I used a hoof pick. But be careful I rapped my knuckles once. To take them off, heel first turn them in a circle toward the front of the foot. KInd of like taking off a pair of riding boots that don't have a zipper. I wish I could describe it better. I didn't have any trouble putting them on, I used my foot to push the latch down. Actually I am having more trouble with my old macs. They are new and I am using the neoprene pastern protecter, so the strap is a little tight to buckle. I sure it will get easier after it stretches some. The Easy Care website has a lot of information on the boots, except for the Cavallo's. Cynthia |
| Member: sunny66 |
Posted on Wednesday, May 23, 2007 - 5:19 pm: Thanks Cynthia,I do have cavallos, and pads, and gators for him...I don't have satellite... I wanted to get it for the horse channels, but with my luck as soon as I subscribe they'll stop broadcasting! Yesterday I talked to someone who trims her horses' feet - she has cliniced five or so times with one of Ramey's people - she said she thought he's doing really good since it's been only 6 and half weeks and he's walking all around pasture. If he wasn't moving, then she'd feel differently. I've also emailed the barefoot guru I know and she said from the pictures that it looked like the big bumps (bars) near the tip of the frogs need to be taken down as well as the bars along the frog. Farrier said he doesn't appear to have much sole near the tip of his frog (VERY confused here because the xrays taken in December show a ton of sole). I'm whiney and frustrated. I started buting him at night to give him some relief if there's anything inflamed. Will do it again tonight then see how he does. How fast does it take bute to work? I gave it to him last night, put his boots on and turned him back out... 15 minutes later I hear the thunder of hooves! I know he just spooked, but at least he moved out at a canter... if bute doesn't work that fast, it had to be the boots, if it was the boots can we safely say the soles of his feet still hurt? Should I trim the bumps? Is the sole and the bars supposed to be the same height? |
| Member: kthorse |
Posted on Wednesday, May 23, 2007 - 8:42 pm: Aileen I did not trim my horses bars for many months after mine was lame. My new trimmer said that I should remove the bars. I was scared as there is a lot of controversy about it. We did it a little at a time. I now trim them level with his sole every two weeks if they needed it. If anything it has made him better.If your guy is sounder in boots than without yes his soles are still sore. But once he starts moving around more with the boots he will get better everyday. I started riding mine when he was only sound in boots (still ouchy without) I think that helped him alot. The more they move the better and faster they heal, as long as they don't hurt in the process. Mine when he was lame could barely walk at one stage put the boots on and you would never know he was lame. |
| Member: scooter |
Posted on Wednesday, May 23, 2007 - 10:22 pm: Hi Aileen, Hank is going thru the same thing. He also gets 1 gram bute at night but at least I have been able to remove the morning bute.I have found what Katrina said to be true, Hanks is wearing his barrier boots 20 hrs. a day, but when they are on he is very mobile. When I take them off for the 4 or 5 hrs. he is getting better everyday....still very sore, but a noticeable difference daily. His big turn around has been leaving the boots on so he does move more. My old Macs will be here Fri. and if he is sound in them off bute I am going to start walking him under saddle....he needs execise to lose some weight. Hang in there, we'll get thru it (I hope) |
| Member: sunny66 |
Posted on Wednesday, May 23, 2007 - 11:31 pm: Thanks Ladies!! He was much better tonight! Trotting about on the soft footing not hard footing, but regardless, he was trotting! He also didn't wait for his bute and boots tonight, just wanted to go out to his pasture (he gets switched to a turnout with harder footing in the afternoon). I can usually bute and boot him wherever he is ... but he was on the move I noticed two openings on the front of his left front hoof -- on the hoof about 1/4 inch below the coronet band... do abscesses pop below the coronet band as well as above? I tried to take a pic but my camera ran out of batteries, will get some batteries tomorrow. I've called my farrier to see if she'll come out and just trim the bumps/bars (which have increased in size in just two days and he has more concavity) at the point of his frogs, nothing else, and see what happens then. So it was either an abscess or his bars came down...Katrina, did your horses' bars keep coming down? hmmm am I making any sense? Or am I being a neurotic mom again? Diane, we WILL get through it one step at a time... but you'll have to remind me to have patience...
|
| Member: kthorse |
Posted on Thursday, May 24, 2007 - 8:04 am: In the beginning the first 2 months the bars grew like crazy. The first month i actually took a bit off at least every week to keep them down. My trimmer said not to worry eventually they will stop growing so fast. And its true. Its been 3 weeks now and there is hardly any bar. His feet are so hard I have a tough time trimming now. I dont need boots anymore, But if I go on a long ride I will put them on, or if its been extremily rainy. Once he is on pasture I might use them all the time even though he doesnt need them.I dont know yet. So the bars comming down fast is normal when they are used to having long bars, once the hoof is used to short bars they will start to stay that way longer.Katrina |
| Member: sunny66 |
Posted on Thursday, May 24, 2007 - 10:33 am: Great to know, Katrina! Thank you I've put a call into my farrier about just trimming the bars to be even with his soles near the point of his frogs since she wants the foot to grow and I told her about the slices on his hoof... I have to wonder if she thinks I'm absolutely neurotic! However, this morning his left front foot had a bit of oozing moisture... this time from a spot a bit above the coronet band... I didn't have time to do much but I did make sure it wasn't blood. Will look at it closer tonight when I get home from work. He's a happy horse, still tender on sporadic rocks, but as soon as he got to pasture he was striding out well. |
| Member: cgby1 |
Posted on Thursday, May 24, 2007 - 5:07 pm: Aileen, When I looked at the Cavallos in the catalogs the only measurement they showed was the length. My mare's foot is so wide that I decided to go with the original Old Mac's since the size 3 was a good fit. You said something in a previous post about fitting boots, did they custom make them? If so, how much extra did that cost? I have been getting RFDtv for several years now, with both Dish and Direct tv and they show no signs of quitting. If they ( Direct satellite) stopped I would find out who still carried RFD and change. On the hoof program I watched he did trim the bars even with the sole and trimmed the hoof wall to 16th inch longer than the sole. Then he gave the wall a mustang roll. Have you checked out www.hoofrehab.com? That was one of the sites I found when I first started looking for answers to Shimmeree"s navicular. I think that the bute is a good idea especially if it gets him moving. Usually if a horse gets an abcess they don't want to move at all and they don't even want to put weight on that foot. It's possible the bute is masking the pain. If he walks ok in the pasture I would leave off the boots at least part of the time so that his soles toughen up. Cynthia |
| Member: sunny66 |
Posted on Thursday, May 24, 2007 - 5:48 pm: Thanks Cynthia I wasn't there when she fit them, I don't think she did anything special tho... she said they fit him very well. I only put the boots on when I get home from work for about 3 hours... but not last night, he was doing great... the rest of the time he's bare. Hmmm... maybe it's not abscesses then, because he was walking ok, not hobbling at all, he is walking better now tho. I can't wait to get home and get a good look at that foot. It's funny, we talked about keeping the wall longer and keeping the bars even with the sole and doing the mustang role, she DID it the first few times, now she's not. I know she tries to do the minimum so she doesn't hack at his feet. She knows, but she doesn't think we're giving him enough time to grow so she can do that properly. But if we wait too long, then his toe gets too long then she has to rasp the foot (thin the wall) to get it in alignment. |
| Member: sunny66 |
Posted on Thursday, May 24, 2007 - 11:28 pm: Ok, lame at the walk tonight, bute and boots and a happy guy. I'm not positive it was an abscess or gravel, but here's the mark on his foot, my friend thought maybe a gravel since she had a horse that presented this way before. I've also picked wet spots out of his stall that aren't pee spots. I don't *think* my cat pees in his stall... There's a bigger picture on the link below the mark is almost horizontal and almost exactly in the middle of this picture. I couldn't find the spot that oozed this morning, maybe if I shaved him I could, but it was not visible to the naked eye tonight. I did feel a soft spot but got no reaction when pressed. My friend also told me that sometimes they close up then fester and then burst again... true/false? Here's a link to more pictures taken tonight, as well a shot of his boots. His right front is still very flat, but his left foot is changing daily. https://s141.photobucket.com/albums/r59/wishes_album/feet%20may%2024/ Haven't heard from my farrier, she may have plans for the holiday weekend, please let me know if I should be getting the vet out or just chill and enjoy my long weekend... Thanks! |
| Member: scooter |
Posted on Friday, May 25, 2007 - 6:17 am: Hi Aileen, from my experience with gravels....that doesn't look like one. It looks more like he scratched his hoof. Usually a gravel is a straight slit and deeper than that. When Hank popped his you could watch it grow down and it was deeper than that. |
| Member: sunny66 |
Posted on Friday, May 25, 2007 - 9:42 am: I was afraid of that, but I can't find anything in his pasture that would do that... unless rocks can or no climb fencing can. He has a little slice right below the big slice and I found another slice on the right front, and what looks like a puncture (but not) on his heel bulb. His boots are on. I'm home today so I can take them off in a few hours. |
| Member: scooter |
Posted on Friday, May 25, 2007 - 4:03 pm: Aileen you should no by now that they can hurt themselves in a padded room! Hanks got a sore on each heel bulb from his boots...I left them off last night and one is still oozing a little. Could his boots cause the scratching? Is there a rivet or anything inside of them? The Old Macs should be arriving today...can't wait to try them, they are much better than the barrier boots he's been wearing. |
| Member: sunny66 |
Posted on Friday, May 25, 2007 - 7:14 pm: Hah! Yes, you are absolutely right about the padded room!There is nothing on his boots that could cause such slices...A couple of people thought it sounded like an abscess, but he's out walking around today. His tight turns to the right are painful and we're back to gimping on sporadic rocks, so I'm leaning toward the trim... but went to the store and got some epsom salt poultice to apply tonight when I put his boots back on, just in case. I'm wishing you much luck with your boy!!! |
| Member: sunny66 |
Posted on Friday, May 25, 2007 - 9:24 pm: Farrier's coming tomorrow around noon so hopefully she'll be able to tell me... I walked out with his boots and he turned and walked out to his pasture... so no bute, no boots, no poultice. He did seem to turn better tonight. Hopefully she'll be able to do something to ease his discomfort...
|
| Member: sunny66 |
Posted on Friday, May 25, 2007 - 10:48 pm: She came tonight! She didn't think it was an abscess, she did trim the bar just before the point of the frog, now we'll see if they release?Edited after I came up from saying goodnight and he trotted sound on soft ground
|
| Member: quatro |
Posted on Friday, May 25, 2007 - 11:47 pm: Hey Aileen, try to enjoy the weekend. These boys of ours keep us on edge, don't they. Levi has been walking around pretty sound lately, but I have been keeping him confined, just in case. He has an appointment in South Dakota, on Wed, and we will do x-rays. I doubt that he has had any rotation problems, i think he really probably over-reached and bruised himself pretty deep, or had a small abscess. Anyhow, he is doing good so far. Me, You and Diane need a spa day together someday, ya think Give Brave a mooch from us suz |
| Member: sunny66 |
Posted on Saturday, May 26, 2007 - 11:27 am: Thanks Susan His "walkway" in his turnout -from his stall to the pasture - has the sporadic rocks, for the last month he's been taking an alternate route... not this morning tho! I turned around and he was walking right on his "walkway" with no signs of gimping... so my fingers are crossed that this continues. The leased mare may be leaving today and if so, he will be MAD... hopefully he doesn't do anything stupid... he's going to stay locked up for a while and get some of his favorite hay... Brave will get xrays in July just to make sure we're doing ok... and hopefully see some improvement... but I have no qualms about getting them earlier if anyone feels that's necessary. I do think a spa day would be very nice
|
| Member: kthorse |
Posted on Saturday, May 26, 2007 - 5:42 pm: Yes I think you guys deserve a spa day or even a mini 2 day retreat. you deserve it you guys are doing above and beyond to help your horses. And I think good things are comming your way. |
| Member: sunny66 |
Posted on Saturday, May 26, 2007 - 7:15 pm: Thanks Katrina, Diane and Susan ARE great horsemoms!!I on the other hand.. am not so hot in his eyes. The mare left today at 12 and he is still not settled down and I'm afraid to let him out to his pasture because with all the caprioles and piaffe's (MUST get him sound!), pawing and bucking he's doing I'm afraid to do it. So he's locked in his 24x16 run and stall, plenty of hay, he's eating here and there, is pooping and drinking a little, I did see him pee a good stream tho... I've given him small doses of ulcerguard throughout the day thinking he wouldn't need that much... He's still calling for her... poor guy. I walked him up and down the barn aisle to meet the new horse that came in and he appeared to be none the worse for wear... but those heartbreaking whinny's ... I feel sorry for him...but if I let him out I'm afraid he'll tear around like a maniac. |
| Member: kthorse |
Posted on Saturday, May 26, 2007 - 8:20 pm: Aileen you are just as good a horse mom, you are doing everything you can and more.Do you have somewhere you can take him for a nice walk and let him graze a little away from the barn and just sit with him while he grazes. He'll be OK. You are right I wouldn't want him tearing around. But I think he would like to get out even if its going for a walk down the road. Do you both some good. If ever I cant ride because of something with my horse I take him out like a dog and we just have a nice time. A good stress reliever and exercise for us both. You would be surprised. Hugs to you |
| Member: sunny66 |
Posted on Sunday, May 27, 2007 - 10:15 am: Thank you Katrina I let him out this morning because he nickered like "normal" ... he's pretty dang sore ... he's walking around and whinnying... a lot... but at least he's not an adrenalin junkee anymore and making mad dashes! I think the walking is actually good for him... but hopefully he stops whinnying soon... |
| Member: scooter |
Posted on Sunday, May 27, 2007 - 12:08 pm: Aileen, Hank whinnys all the way down the road while we are walking/prancing it gets rather embarrassing, all the neighbors think I'm killing him or something. Sorry Brave is sore again, Hank was better this morning....not crippled, but still very sore. I guess that's an improvement. He wasn't quite as gung ho on our hand walk either, but moved well in his boots. I guess we have to except the ups and downs and hope the ups take over soon.
|
| Member: sunny66 |
Posted on Sunday, May 27, 2007 - 1:55 pm: LOL... I was more afraid of him waking up the neighbors! He's LOUD! lol .. The whinny's were every 15 minutes starting at 6 am (think snooze alarm) but they are getting farther apart now, so that's good. I gave him some conquer gel this morning, it usually helps, if it doesn't I know it's something else and will call the vet. But his legs aren't swollen, warm, etc...I sincerely hope Hank continues to improve! The "ups" should come for us all soon I hope!! |
| Member: sunny66 |
Posted on Saturday, Jun 2, 2007 - 9:51 pm: Ok, farrier came today, didn't want to do anything. He's not growing toe OUT, so that's good at least. She just beveled the toe and trimmed the bars to the sole plane. At least now his sole and his bars are hard, I've read that if the bars are soft and flimsy, then something isn't right, correct?front view left front lateral right front lateral Left front sole right front sole She just wants him to grow, he's going to be walked in boots on pavement every day (halted that since his rodeo in case he had a soft tissue injury) and see what happens. Before the trim he wouldn't do a proper turn on the haunches, after the trim he would. Before and after the trim he was bilaterally lame at the trot. After the trim he looked more comfortable at the walk. I asked her to hooftest his feet. No response anywhere at all whatsoever. Dr. O, if he doesn't respond to hooftesters, does that mean it's not in the hoof, or that it may be DEEP in the hoof? I'm still trying to get a hold of her barefooter (Ramey)(who has invited my farrier to go along with her for a day), so we are trying Melissa
|
| Member: scooter |
Posted on Saturday, Jun 2, 2007 - 10:52 pm: His hooves look like they are improving every trim Aileen.....soon we will have skinny, sound horses...I HOPE. Our persistence WILL pay off
|
| Member: sunny66 |
Posted on Sunday, Jun 3, 2007 - 12:43 am: Oh good! I'm so glad you think he's improving, I think so too, albight WAY TOO SLOWLY ... lol...I think he's still a bit broken back on his left front angle, but I'm just thrilled his toe stopped growing out. I hope she didn't take too much bar, if she did, can I do anything for him?This flying by the seat of my pants is driving me to drink! The farrier's trimmer responded... $75 per hour, minimum several hours... for a phone consult...ug. |
| Member: kthorse |
Posted on Sunday, Jun 3, 2007 - 6:31 am: They look like they are getting better to me. Your horse will tell you better than I can |
| Member: sunny66 |
Posted on Sunday, Jun 3, 2007 - 10:05 am: Thanks Katrina, I do know he'll tell me... I guess I just need some human reassurance as well, it's been too long a road...He turned VERY well this morning with no hesitation... so my hopes are up
|
| Member: sunny66 |
Posted on Friday, Jun 8, 2007 - 10:37 am: Dr. O, we're finally making progress with the toe while barefoot, however, his angles are pretty broke back, better than in April, but still. Based on what you see below, would you recommend shoes on him now, or do you think he could wait until July?For comparison, here's his left front, the worse underrun of the two: December June Thank you. ps... I realize I should give barefoot more time to fully work, my concern is all of his bony changes and brokeback angles and am I inadvertently making his arthritis worse since he feels REALLY good if I give him 10m of Conquer gel every day. Recommended is 5 m every day, but that doesn't help him nearly as much as 10 m. |
| Member: kthorse |
Posted on Friday, Jun 8, 2007 - 11:11 am: Shoes? when barefoot is making him better. Now I am so confused. |
| Member: sunny66 |
Posted on Friday, Jun 8, 2007 - 11:28 am: Me too!! His angles are pretty bad... I am asking the good Dr. O if this is something I need to be concerned about
|
| Member: kthorse |
Posted on Friday, Jun 8, 2007 - 12:45 pm: forgot to say I kinda like the barefoot angle better in the latest pictures. The first dosent look as good to me. Just my thoughts, any others |
| Member: scooter |
Posted on Friday, Jun 8, 2007 - 1:28 pm: Angles are hard to tell from a pic...imo. Aileen if he is doing well barefoot, I would leave him that way. If I remember correctly he was pretty sore in shoes most of the time. I would imagine in time the angles will get better if the trim is correct, at least it is gradual that way and you don't have to worry about a big angle adjustment in one day....I imagine that could make him sore in the joints also.That's my novice opinion fwiw. |
| Member: cgby1 |
Posted on Friday, Jun 8, 2007 - 2:06 pm: Aileen, Metal Shoes add concussion which may be part of the reason for his problem. Plus the walls carry more weight unless you add special pads. His boots and pads are better for his feet as they help the blood flow inside. It will probably take close to a year to get his heels up where they belong. In April we had to put down our 33 yr. old mare because her hocks gave out but all her life her heels were like your horse's. She never had navicular. Her daughter Shimmeree has much more upright heels yet she is the one who has navicular. Please give it time! |
| Member: cgby1 |
Posted on Friday, Jun 8, 2007 - 3:00 pm: Aileen, I intended to add this site several days ago but got busy and forgot. You might find it interesting as did I. www.easycareinc.com/education/articles/padeffect.aspx |
| Member: sunny66 |
Posted on Friday, Jun 8, 2007 - 5:56 pm: Thank you ladies, he's sore most of the time whether with shoes or without... hence the trying barefoot. He's sound at the walk but not the trot or canter without. He's sometimes sound at the walk, but not trot or canter with shoes. I can't forget that I had THREE glorious months of a comfy pony with not one headbob (AND losing weight ) with shoes from September 6 to November 21... While his angles were broke back then, they were not as bad as they are now. It was when the farrier put the 2 degree wedge pads on (one degree higher than he had) when he went severely lame at the walk, took the wedge pads off and he got better, but not sound since. I'm just asking.. you all know how many mistakes I've made with this poor horse, I don't want to make another. I did see a barefooter at the horse expo today and asked her if the fact that since his toe stopped growing forward so much, if that meant his heels are starting to behave, she said 'maybe, can't know for sure without looking at him.' I'll go see if I can wrestle him in from pasture and get some more pictures... |
| Member: juliem |
Posted on Friday, Jun 8, 2007 - 6:32 pm: From the photo, that angle doesn't look that bad. If he's standing square with weight evenly distributed, I'd call that good. I don't know what you're seeing that you feel is broken back? Agree that June looks much better than December angle. It seems to me that if he's only sometimes sound at the walk with shoes, barefoot is a no brainer. Again, we're only seeing photos here, but sometimes too much back and forth defeats your purpose. Shoes, barefoot, shoes--I think you need to give this more time before changing things yet again. |
| Member: sunny66 |
Posted on Friday, Jun 8, 2007 - 7:27 pm: Thanks Julie, that's why I'm posting, I don't want to make another mistake I'm glad I took more pictures... please help me educate my eye... Left Front - this first picture looks ok to me... a tiny bit of toe needs to come off. This one, not so much... Right Front looks ok to me... needs a little toe taken off. Conf - please don't say he's fat Two of these because one he's standing square but you can't really tell much since my stance is off... I know his heels need to come back, but the farrier and I agreed to leave him be for right now and see what happens (since he was growing toe up not out) I think she'll take them back on the 16th. He's a fiesty little devil at the moment
|
| Member: amara |
Posted on Friday, Jun 8, 2007 - 7:44 pm: can we get a closeup full leg shot? the pics of just the hooves done look bad at all, but cant tell from shading how things look taken overall...i do think they look a whole lot better than they did when he had shoes.. still has some uneven m-l balance, and his frogs look a little "puny", but it takes a long time for them to get right and shoes dont really help at all...i also agree about the heel coming back and a bit more toe coming off, but that really will come in time.. i agree with julie that in order for barefoot to work you need to stick with it for awhile!... it really can take over 6 months for the soreness to go away... a year not uncommon with problem hooves... it really requires a lot of patience, but the thing that you have to keep in mind is this-do you want a horse to be sound for the long term? or the short term?...if you're seeing even mild improvement barefoot that you didnt see with shoes then being patient is really the key... so what if it takes a year... what's most important? your riding, or his long term health?... look into boots to help with the short term, and take xrays where necessary to see what's happening on the inside.. good luck |
| Member: juliem |
Posted on Friday, Jun 8, 2007 - 8:24 pm: I can see how the angle looks off in the second photo, but it really is hard to judge since the first looks so good--just the difference in weight bearing maybe. I don't think your angles are bad. Actually, looking at the pictures, the sole shot looks pretty good. If you draw an imaginary line across the widest part of the hoof, you have almost 50 percent of the hoof behind that line. That's what you're striving for. Agree, the right front toe looks a bit long, but if you draw your imaginary line, that will give you some idea. I think you're on the right track with this guy. Hope I'm right! Julie |
| Member: sunny66 |
Posted on Friday, Jun 8, 2007 - 8:44 pm: Thanks Melissa, his health is of course the absolute most important! Hence my question. I want to ensure that his angles being off isn't inhibiting him in yet another way. That's it. That's my question.I'll see what I can do about a full leg pic. Edited to say thank you Julie, I hope you're right too... |
| Member: sunny66 |
Posted on Friday, Jun 8, 2007 - 9:24 pm: Melissa, does this picture help a bit?
|
| Member: amara |
Posted on Friday, Jun 8, 2007 - 10:27 pm: its a little blurry, but i think i can see what it is your talking about with the angles... so you're thinking with shoes it would lift the heel a bit and get him back in line?cant answer as to long term harm coming from angles being a bit off, but would imagine that as long as he's not working the stress would be minimal... with time his heels should come back on their own and alleviate the angle problems, at which point you'd be working him anyways.... |
| Member: sunny66 |
Posted on Friday, Jun 8, 2007 - 11:06 pm: Thank you Melissa, yes, that's exactly what I'm thinking. He's not in work. Just hand walking on pavement to encourage growth; however, he does get stupid sometimes (which is why he's handwalked in boots so they help provide even more concussion... I think?)See those sores on his fetlocks? His hocks get sores when he needs an injection. Nothing else will fix his hock sores ... I'm hoping this isn't the same thing. I'm probably being paranoid, but I just don't want to make another mistake. Thanks again! |
| Moderator: DrO |
Posted on Tuesday, Jun 12, 2007 - 10:43 am: Based on the images, I would say the angles are tolerable without wedges.DrO |
| Member: sunny66 |
Posted on Tuesday, Jun 12, 2007 - 11:27 am: Thank you Dr. O, very very much
|
| Member: cgby1 |
Posted on Thursday, Jun 14, 2007 - 1:41 pm: Hi Aileen, I just checked the easycare link and it did not go directly to the article that I wanted you to see. If you click on articles or newsletter archives, then go to the June newsletter, you will see an article on pad effect. I have gone to the 12mm pad because of what I read and it helps. Her new old macs are staying on even with the thicker pads. She is also on Isoxsuprine. I know that the research does not support this but I see a difference in her soundness. I have let her run out twice now and each time she is ouchy after a few days. I am able to keep her sound enough to ride her and that has helped her to tone up and lose weight. |
| Member: sunny66 |
Posted on Thursday, Jun 14, 2007 - 2:25 pm: Thank you Cynthia! Would the pads help collapsed or crushed heels? I think he has them right now, will know for sure tonight. I just don't think his heel tubules are strong enough and once his heels start to get some height, they collapse.He's been lame since Sunday at the walk, just a one out of five, but I don't think it's his soles, they're really starting to look like the pictures I've seen as far as concavity. He's pretty bad going up slopes and turning, not a wince coming down on rocks. I'm pretty sure she'll take down/back the heels (she needs to get rid of the crushed parts - if that is indeed what I'm seeing - right?) tonight. I found this: https://www.vetcell.com/hoofsupport.htm Is there a possibility it may work? |
| Member: scooter |
Posted on Thursday, Jun 14, 2007 - 5:07 pm: Aileen the old mac comfort pads made Hank sound, even when he was very ouchy. They are worth their weight in gold. I know Brave and Hank have different, yet similar problems. The pads may very well help him, and if they don't they are cheap enough for an experiment. I just duct taped and vet rapped them on, when they weren't in his boots. Good luck. |
| Member: cgby1 |
Posted on Thursday, Jun 14, 2007 - 8:28 pm: Aileen, I don't know that pads will "fix" his heels but they should help with pain. My old mare's front left heel looked like your horse's. My farrier put eggbar shoes on her for quite a long time but it didn't fix it. Since she was never lame we decided to leave it alone. So it was a devastating surprise when her daughter Shimmeree developed navicular. I went to vetcell and it was very interesting. I hope that they find a way to treat navicular as well. |
| Member: sunny66 |
Posted on Friday, Jun 15, 2007 - 10:27 am: Thank you ladies He was trimmed last night... overgrown bars on the hind feet but not the front. She took his heel back a bit, relieved his quarters (they had separated) and rolled his toes. She said the only thing he's growing is bars on his hind feet. I have to wonder why relieving his quarters enables him to turn tight SO comfortably... what is in the quarters that would inhibit this? He's already crossing over again... I don't *think* his soles are sore. I think he's sore from his heels... I have to figure out how to strengthen his heel tubules. The best news is that I have a trimmer coming up next Saturday to consult with my farrier She's seen pictures and feels that for how long he's been barefoot he's doing pretty good. But she'll be able to tell my farrier how she'd tweak the trim here and there. I can't wait!
|
| Member: scooter |
Posted on Saturday, Jun 16, 2007 - 7:02 am: Hi Aileen, was Brave sounder after his trim? I always thought when they didn't cross over well it was the toe area that hurt? Maybe rolling the toes helped him. Loosing weight would help too, the less weight on those feet the better, he does look a little "chunky" . Good Luck with the farrier consult. Let us know what she says.
|
| Member: sunny66 |
Posted on Saturday, Jun 16, 2007 - 11:19 am: SoundER, yes, but not sound. Got a wild hair last night but stopped himself immediately I'm pretty sure it was the quarters that helped, that's the only thing she did additionally to rolling the toe the last time. Yes, he's chunky. I'm weaning him off quiessence right now, added chromium and micro minerals. These are supposed to aid in weight loss. Magnesium test in July, if he's low, he'll go back on the Quiessence. He's 1174 right now, down from 1190. He started eating shavings again...
|
| Member: sunny66 |
Posted on Sunday, Jun 17, 2007 - 2:46 pm: Well, at least he's walking around today instead of hanging out in his stall most the day. Took him off property in boots on pavement yesterday and he was sound on the straight and level and down hills, he hurt going up hills (slight slope). Will continue to do this (keeping as level ground as possible) to encourage growth. He was noticably happy on the level, even playful, and a nice even long stride.She took quite a bit of frog... he was thrushy. Left front Right front
|
| Member: scooter |
Posted on Sunday, Jun 17, 2007 - 8:51 pm: That's good news, who trimmed him? the farrier consultant? It looks like the right front is TRYING to get the heel "under him". Can't tell in the left pics. keep up the good work! Hank always feels better after his hand walks. |
| Member: sunny66 |
Posted on Monday, Jun 18, 2007 - 3:32 pm: Thanks Diane, no the BF trimmer doesn't come until next Saturday. It won't be soon enough tho. He's so sore. But I don't think it's his feet. I think it's something inside. No heat/swelling, etc. Is this normal?It has only been 10 days since I noticed his toes not growing forward so much... the last couple of weeks he's been moving like he has shoes on. I don't feel like I'm doing him any favors right now. |
| Member: quatro |
Posted on Monday, Jun 18, 2007 - 6:27 pm: Poor Aileen, you are trying so hard! Hang in there.suz & Levi |
| Member: scooter |
Posted on Monday, Jun 18, 2007 - 9:23 pm: Sorry Aileen, I thought he was better after the trim? If it makes you feel better Hank was very sore after his last trim, but now a week later he looks pretty good, I haven't even had to use the boots.It's so hard to keep doing trims that we know should help them, but seems to make them worse. It confuses me so much too. I am hoping in the long run it is in their best interest. What is it that you think is bothering him other than his feet? Every horse is different, but I KNOW if Hank was trimmed more than every 4-5 weeks he would be perpetually lame. How often is Brave trimmed? Good Luck...I hope he is better tonight. |
| Member: sunny66 |
Posted on Tuesday, Jun 19, 2007 - 10:14 am: Thank you ladies, I think it's his superficial flexor but may be his ddft. I found heat this morning on the heel, back of pastern, above fetlock, then around his knee. I iced him just while I fed this morning, but I plan on ordering ice boots today and will have my friend bute and lock him in (after reading Dr. O's article) and will call the vet. |
| Member: sunny66 |
Posted on Wednesday, Jun 20, 2007 - 10:09 pm: Dr. O, the heat in the left front is now only on the inside of his knee up to his chestnut. There's also a tiny bit of swelling where there is heat on the inside knee. I have not talked to the vet, but I have an appointment Saturday. He does not have a high temp (99.7), pulse is 36, he's on one bute am and pm, locked in and iced twice a day.It sounds to me like it's the ddft, hoping it's not his suspensories ... Could you please point me in the direction of which articles might be pertinent so I know what to ask my vet? I have already read the wonderful tendon article. Thank you very much. |
| Moderator: DrO |
Posted on Thursday, Jun 21, 2007 - 9:14 am: Since heat and swelling are your predominant signs and we don't have much other information, I would start with the article on that subject: Diseases of Horses » Skin Diseases, Wounds, and Swellings » Swellings / Localized Infection / Abscesses » Diagnosing and Assessing Swellings in Horses.DrO |
| Member: sunny66 |
Posted on Thursday, Jun 21, 2007 - 11:01 am: Thank you Dr. O,Why is the heat moving around? His knee was cold with no swelling this morning, but there was a bit of heat below it on the inside/top of the cannon, guessing according to your diagram, it's the suspensory, but it may still be the ddft because now I can't remember if the heat was directly behind the cannon. I did read the article you mentioned, that will help a lot. Since bute sometimes helps a fever and any swelling was gone this morning, should I stop the bute tonight so I can determine if it is an infection (taking temp without bute) and so the vet can see on Saturday? He was moving a bit less tentatively last night. Thanks again. |
| Moderator: DrO |
Posted on Friday, Jun 22, 2007 - 6:39 am: I would consult your veterinarian on whether he wishes to see the horse medicated or not, most would not. Generally NSAID's do not mask infection.DrO |
| Member: sunny66 |
Posted on Friday, Jun 22, 2007 - 10:17 am: Thanks Dr. O,I keep missing the vet's calls and he's going off messages that aren't correct. But the office did call and say not to bute him today or tomorrow. He was dead lame last night when I pulled him out of his stall to ice him, I couldn't feel much heat but iced him anyway just in case. His sole was red. Went down later and saw not so much red with black marks near the frog in both front feet. I've never seen an abscess, so I have no idea what I'm doing. I just read your article on abscesses, I'll squirt his front feet with betadine when I get home this afternoon. No heat anywhere this morning, very cool legs and feet, did not ice him, should I be icing him anyway? I called the farrier last night, hopefully she'll be able to stop by today. |
| Member: sunny66 |
Posted on Friday, Jun 22, 2007 - 9:30 pm: I talked to a friend, she said not to do anything until the vet comes in case it's an abscess. He was laying down when I got home, when he got up he seemed lame with jerky steps. Iced him, looked at his feet... I don't know if you can tell what it is from the pictures, but if you compare them to the ones above, they are definitely different in just five days.Left front Right Front I then walked him around the arena a couple times just to see and he walked just fine, even over the rocks. His pasterns did seem to dip horizontally, but I don't know if that's normal anymore or if I'm just looking for things now. I have the barefooter coming out tomorrow, but she'll be here at 10 and the vet is coming at noon. Should I have her not actually do anything? Edited to add temp is 99.5 Thanks so much! |
| Moderator: DrO |
Posted on Friday, Jun 22, 2007 - 10:22 pm: If there is no inflammation (heat) to treat I would not ice Aileen and I would wait for the veterinarian before doing anything you cannot change.DrO |
| Member: sunny66 |
Posted on Friday, Jun 22, 2007 - 10:32 pm: Thank you Dr. O! |
| Member: kthorse |
Posted on Saturday, Jun 23, 2007 - 6:59 am: Can you get the trimmer to come out the same time as the vet so they could maybe work together? |
| Member: sunny66 |
Posted on Saturday, Jun 23, 2007 - 7:58 pm: No, I couldn't arrange that unfortunately. I was hosting a clinic today on top of everything else. However, the trimmer met with the farrier and told her she was doing great, told her a different way to get the heel back and how to use a dremel so she could take away a little bar at a time to keep it even with the sole. Trimmer felt his angles looked ok. Farrier pelted her with questions It was good Trimmer also said his legs looked great and tight, felt what he went through (heat up and down leg) was something some horses go through during transition and that if he was bruised that it takes about three weeks to show up. She also felt that the bruising on his heel bulb I posted in another thread was from the boots. Farrier's coming back on Monday to do as the trimmer said. Now for the very best news! Vet found nothing soft tissue, said the same thing as the trimmer about taking the heel back, toe looked good. Vet watched him walk UNouchily on gravel to get to my arena (saw a bit of tenderness up and down the slight slope to the arena) but saw him really stride out at the walk in the arena. Asked for a few steps of trot, I got to fly a kite Then he gave a few steps. Vet said to try again, same thing but better trot steps. Gave him an adequan shot and said that he agreed with me that he was no different with shoes on and to keep up the good work. He said to give him until the end of August for the xrays. I'm very happy Thanks everyone!!
|
| Member: kthorse |
Posted on Saturday, Jun 23, 2007 - 8:34 pm: Yippee. Now maybe you can rest. I knew you were on the right path |
| Member: sunny66 |
Posted on Saturday, Jun 23, 2007 - 10:31 pm: Thank you Katrina a lot of you knew, too bad I didn't know! Now I do though. I can't rest, too much work to do, but at least now I'll lose the 5 stress pounds I gained this week.
|
| Member: frances |
Posted on Sunday, Jun 24, 2007 - 4:38 am: Great Aileen! What a relief! |
| Member: scooter |
Posted on Sunday, Jun 24, 2007 - 6:46 am: Good news aileen, I hope Brave continues to improve! |
| Member: sunny66 |
Posted on Sunday, Jun 24, 2007 - 10:45 am: Thank you! Yes, a huge relief...My five stress pounds are gone!! lolphtu phtu phtu Haven't done that in a while, thought it might be prudent since I saw him rearing and playing with his buddy, along with a few steps of canter and trot this morning -- LOOOONNNNNGGG time since I've that!
|
| Member: quatro |
Posted on Sunday, Jun 24, 2007 - 4:40 pm: Hey Aileen, Great News. Enjoy a few moments of respite from worry at least!Levi and I are praying for you and Brave
|
| Member: sunny66 |
Posted on Sunday, Jun 24, 2007 - 6:08 pm: Thank you Susan! I'm happy for today one day at a time How's Levi? I hope he's doing very well edited to add that I left out the part where the vet examined the foot, hoof tested everywhere and got no reaction from anything. |
| Member: sunny66 |
Posted on Tuesday, Jun 26, 2007 - 9:57 pm: Here's some pics: left front sole right front sole Bruising (if that's what it was) is completely gone. I'm hoping this works, he's ouchy but I guess I need to give him a few days. |
| Member: scooter |
Posted on Tuesday, Jun 26, 2007 - 10:18 pm: Looking better all the time Aileen, I hope he continues on the mend!
|
| Member: sunny66 |
Posted on Saturday, Jul 14, 2007 - 6:40 pm: Thanks Diane I somehow missed your post! I rode him today for a few minutes, I HAD to be the first one on his back! I think he's worried that we're going to put him back to WORK. So we're going slowly. Trainer who has been handwalking him came along and we went their usual route in hand (he got spooky then calmed right down), then she rode him for a few minutes and he was very good, ears pricked and forward moving, but had diarrea when we got home. We just need to make sure he doesn't get too worried and knows he'll be ok at the walk. He also trotted a few steps in pasture last night with no headbobbing, but he still stopped himself, so something still hurts somewhere... we shall see... I'm thinking he should have hock injections in August along with xrays of the front feet... he has a tiny bit of heat in his hocks. |
| Member: scooter |
Posted on Saturday, Jul 14, 2007 - 7:40 pm: How wonderful! I can't wait to ride Hank again, but I am afraid it will be awhile. When I take Hank on his hand walks he is so glad to get out he don't even get nervous. When they haven't seen the world outside the dry lot for awhile you never know what's going to happen Has the vet given you the ok to start lightly riding him? |
| Member: sunny66 |
Posted on Saturday, Jul 14, 2007 - 9:32 pm: Yes, he told me long ago that if he's sound at the walk I can ride him at the walk. But I wanted to wait to stabilize his feet a tiny bit first. He was only ridden a total of maybe 10 minutes today.One of the main reasons I thought it would be ok is because he hasn't had a spooky moment for a few weeks, I did hesitate when he spooked and thought it may not be the best idea, but when he calmed right down, the trainer thought it would be fine... and it was
|
| Member: quatro |
Posted on Saturday, Jul 14, 2007 - 11:13 pm: Hey Aileen, I have just been given the go ahead to ride Levi on soft, level ground. Now it is too hot for (probably me) to ride. Looking forward to it. I hope he behaves after all I have done for him. Glad to here you have been able to work with Brave. Will let you all know how Levi does suz |
| Member: sunny66 |
Posted on Sunday, Jul 15, 2007 - 9:43 am: Thank you Susan! I love the heat, especially having him not be in work for a long time, eases the antics Congratulations and we want to hear all about it!!!! |
| Member: sunny66 |
Posted on Saturday, Jul 21, 2007 - 2:33 pm: Pictures of trim on Thursday:Left front Right front Here's a link to the album, there's also a video of him at liberty in turnout... I see right hind mostly... anyone else see anything different? https://s141.photobucket.com/albums/r59/wishes_album/feet%20July%2019/ I'm happy that he feels good enough to move, tho it is windy, and while I *think* his feet are still improving, I don't think the angles have. One caveat is that we waited three weeks between trims this time, we won't do that again... |
| Member: scooter |
Posted on Saturday, Jul 21, 2007 - 2:48 pm: Hi Aileen your link isn't working. His toe sure is looking better, but he don't want to grow any upright heel does he. I am coming to find out that the underrun heels are hard to get going in the right direction . Patience is going to be one of our better virtues I think
|
| Member: sunny66 |
Posted on Saturday, Jul 21, 2007 - 3:07 pm: How about this one?https://s141.photobucket.com/albums/r59/wishes_album/feet%20July%2019/ |
| Member: sunny66 |
Posted on Saturday, Jul 21, 2007 - 3:09 pm: I honestly don't think he'll grow any heel until the ground softens up! It's like his weight just won't let them grow... I know he had good growth last winter when the shoes were off for four weeks...I hear you tho, patience is being taught to me whether I like it or not
|
| Member: dres |
Posted on Saturday, Jul 21, 2007 - 3:11 pm: Aileen, can't see much on the video.. it looks like he is not balanced on his down transition, can't tell if he is 'off' or not..Good thing is.. he is MOVING... On the first day God created horses, on the second day he painted them with spots. |
| Member: juliem |
Posted on Saturday, Jul 21, 2007 - 3:19 pm: Aileen, I still think his angles look pretty good. The a/p alignment is good and his heels appear to be back where they should be. His conformation needs to dictate how much heel height he has and in these photos it looks about right to me. More important I think is, is the heel back where it should be--at the widest part of the frog, more or less? Is he sound? I think frequent trims is an excellent idea. Some horses can't go more than a couple of weeks without getting out of balance. One of the big advantages of barefoot is the ability to do frequent, minor trims that more mimic the natural wear a horse would do own his own. You will know for sure about the angles when you have the radiographs in August. Have your vet show you what you're looking for on them. I still think you're going the right direction! Julie |
| Member: sunny66 |
Posted on Saturday, Jul 21, 2007 - 3:56 pm: Thank you ladies I am VERY glad he feels like moving I did slow the movement of the video frame by frame, his trot steps are even - so that's good - and he's landing either flat or heel first -- so that's good TOO! --- and I *think* his breakover is FINALLY correct or at least close to it! I do think his right hind is bugging him, funny because the vet has always seen that but I never have.... may be getting down to the last of his issues!!!! So, if his right hind hurts him, I do know he's sore on his loin on the right when grooming, swishing tail constantly/ moving up and back in the cross ties... could these be connected? I've tried harder/softer curries, strokes, etc. no difference. When I do the accupressure, he relaxes a lot... he's fairly sound now, but should I bute him to ease any muscle pain and let it recover? He's going up/down slopes handwalking with 10-15 minutes of riding said slopes at the walk. He does move forward easily and eagerly. Thanks again
|
| Member: hwood |
Posted on Saturday, Jul 21, 2007 - 4:06 pm: Feet look healthy, Aileen.Seems to me that his left front wants to flare at the heel. I think the right front looks about perfect heel-wise and substance-wise although his frog looks off-center. Great job with the trims. I have a very slow connection so couldn't download the video without waiting for 1/2 hour, sorry. Wish I could get all the videos better, but will have to leave it up to you other members and your vet to give you their observations. |
| Member: kthorse |
Posted on Saturday, Jul 21, 2007 - 5:20 pm: Aileen, A nice improvement. His feet look great compared to the other ones. They are looking much healthier. Its hard to see the video I watched it over and over . Its so quick its hard to tell but from the quick shot he does appear to land heal first which is a big start to recovery. I would maybe roll the toe a bit more, but if he is comming along the way he is i dont think I would worry about that. continue what you are doing. |
| Member: sunny66 |
Posted on Saturday, Jul 21, 2007 - 7:42 pm: Thank you ladies It makes me feel VERY good that you all think we're finally making some sort of progress! phtu phtu phtu
|
| Member: sunny66 |
Posted on Saturday, Aug 4, 2007 - 3:16 pm: Trimmed today Some of these a bit blurry, but hopefully you get the idea! Left front Right front Front view She had to rasp a bit of the foot since the new growth and the old growth were having a disagreement and she didn't want the new foot to follow the old foot, did that make sense? She said she hoped she wouldn't have to do that again. Aside from a bit of flaring on the left front, I think both the right AND finally the left are balanced! Am I wrong? |
| Member: scooter |
Posted on Saturday, Aug 4, 2007 - 5:16 pm: WOW Aileen what a difference from when you first began this journey! I understand the old foot new foot thing...battling that also.How are the lameness issues going? Is he sound on the fronts now? |
| Member: sunny66 |
Posted on Saturday, Aug 4, 2007 - 6:21 pm: Thank you Diane! I'm glad you see the difference too!I can't really say about soundness, I haven't checked him in the arena at all gaits in about a month, I will most likely wait to do that on August 10 when the vet is out... I can say, however, that he walks fine around the pasture even on sporadic rocks. I can also say that on his rides he is now up to 30 minutes with a rider and that he will trot straight up hills with no headbob (of course he is asked to walk after a few steps and he does so) this is with boots. This is actually what I've been hoping for, if he gets even sounder it will just be icing on the cake
|
| Member: sunny66 |
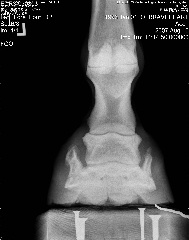
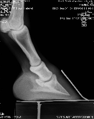
Posted on Friday, Aug 10, 2007 - 6:54 pm: We can trot on straight lines! Vet said he's at the limit from the coffin bone to the wall, that's not good, but he said he thought his angles looked ok. He thought that since the fetlock joints were off, he'd need more wall on the ;left front inside and more wall on the right front on the outside, then that should fix that. He said he'd like to see more sole, but he hooftested him and said his feet are rock hard so that should not be a worry for now. He's going to compare these to December's xrays and call. But based on what little he saw on the xrays and how he moved on the lunge, he said as long as I ride him in boots he should be just fine Here's a link to the xrays: https://s141.photobucket.com/albums/r59/wishes_album/xrays%20aug%2007/ Here are smaller versions: LF Lateral LF DP RF Lateral RF DP Edited to add that he was shocked that he could feel ribs when he asked Brave to move over But yes, he still is on a strict diet.
|
| Member: sunny66 |
Posted on Friday, Aug 10, 2007 - 7:32 pm: Dr. O or anyone, Do his heels need to be lowered? I find it odd asking this question, but based on the xrays...Thanks! |
| Member: juliem |
Posted on Friday, Aug 10, 2007 - 8:10 pm: Well, you can see from the laterals, his heels don't need to be higher. Are they back to the widest point of the frog? Breakover still looks too far forward to me if it's indicated by the white contrast line, but perhaps that's an illusion? |
| Member: sunny66 |
Posted on Friday, Aug 10, 2007 - 8:43 pm: I don't think so... but they ARE better than they've been, I think, I just took these:Left front: Right front:
|
| Member: quatro |
Posted on Friday, Aug 10, 2007 - 9:26 pm: Alright Aileen, Sound like you are making progress. Been thinking about you. It is so busy at the kennels in the summer, I hardly have time to check e-mails, and haHappy to here about you and Brave's success suz |
| Member: amara |
Posted on Friday, Aug 10, 2007 - 9:27 pm: and this from the vet that was extremely resistant to your going barefoot? to the point that you were afraid he'd DrOp you if you did?...hmmmmmmm.....i think you're heading in the right direction with his feet..breakover still needs to come back a tad, as well as the heel.. remmeber that the widest part of the foot should be at about the halfway point... his is farther back than that... that makes the breakover too far forward.. but they look tougher than ever and am so glad you've been given the ok to ride some... congrats and have fun!!! |
| Member: scooter |
Posted on Friday, Aug 10, 2007 - 9:39 pm: Aileen how wonderful.... his hooves really have come a long ways! I have a question, why can he only trot on straight lines did the vet say? Soon you will be doing airs above the ground also! |
| Member: sunny66 |
Posted on Friday, Aug 10, 2007 - 10:08 pm: Thanks all!Susan, I've been thinking of you too, I hope you and Levi are having fun!!! Melissa, LOL, I SWEAR he was adamant about Brave not going barefoot! I don't know if he talked to someone else or what, but hey whatever works. He's very happy for both of us... he's a great vet You said "remember that the widest part of the foot should be at about the halfway point... his is farther back than that... that makes the breakover too far forward.." Questions! lol How do we fix this? Aside from keeping his heels backed up every two weeks... would that do it? Is this where my patience needs to be more tolerant? I'd also like to know if you think his heels need to come down and if there is anything we can do about sole depth? Thanks Thanks Diane! Only trotting straight lines (this is only 3-5 minutes to start) because he's uncomfortable - not lame just uncomfy and tells me so -- on circles but sound as a dollar on the straight... he's not 100% on his tight turns either yet but he's not gimping around anymore ... but I don't think it necessarily means he can't ever do them, we're just going slow and getting his confidence that he's going to be ok
|
| Member: juliem |
Posted on Friday, Aug 10, 2007 - 10:23 pm: I believe circles exert more shearing force on the sides of the hoof. If the laminae that are meant to hold the hoof wall to the sensitive part of the hoof are weakened or compromised, possibly as a result of rotation or founder, they are further stressed by the force and would of course be painful. Circles are harder on all the parts I think than straight, so it makes sense not to start with them when bringing back from layup or rehab.Aileen, when you bring the heels back to the widest part of the frog it sort of has the effect of "lowering" them. Rolling the toe and rasping from the top to shorten the toe should help. You're doing one important thing by trimming often! |
| Member: sunny66 |
Posted on Friday, Aug 10, 2007 - 11:28 pm: Thanks Julie Ok, more questions Am I right in assuming that your and Melissa's suggestion of lowering/getting the heels back more would end up helping out with the sole depth at the toe? I'm afraid if we "lower" the heels, he'd then end up not in alignment, but I think you're saying that as the heels come back to their correct place -- not "lowering" them -- it should be ok? Also, how long is the toe supposed to extend in front of the coffin bone? I see that the left front has more toe than the right, can I assume are we aiming for the length of toe in the right front xray? Dr. O, I will be showing these to my farrier, and I'm going to suggest to her that we "really" back up the heels and take that left toe back a bit more. I put "really" in quotes because I am pretty sure she's trying to keep his heel height, but after seeing the xrays she will see that it's not necessary, would this be a correct assumption just based on what you see here? Am I thinking too much? Sorry! Just very happy ... for today... phtu phtu phtu! Thanks! |
| Member: scooter |
Posted on Saturday, Aug 11, 2007 - 7:32 am: Aileen I am curious too what Dr.O. has to say about his heels, Looking at your pics and x-rays I wouldn't think it would be a good idea to lower them. I can see where they could be brought back some, but that does take time, and even from Dr.O.'s atricle it is hard to achieve sometimes when they have been under run for a long time. See what your vet says before you get too aggressive.A "tight" hoof like you are doing will help with sole depth, all horses are different...genetics, diet...ect. come in to play also. I am VERY HAPPY for you! |
| Member: scooter |
Posted on Saturday, Aug 11, 2007 - 9:13 am: Julie if Brave has a tight lamenar (sp) bond, why would he be sore on circles or turning? I guess that's more my question. I am well aware of the founder connection to this, but it doesn't appear that Brave has foundered, unless you are saying that because he had the long toe thing his bond isn't tight. Very curious about this. If Aileens vet said he could use more sole would that do it (thin soles)? Aileen does he turn OK with the boots on? Sorry for the questions , but trying to learn also! |
| Member: sunny66 |
Posted on Saturday, Aug 11, 2007 - 10:53 am: Hi Diane Turns are better with boots. He has ringbone and navicular (which to my uneducated eye has gotten worse, not better. More changes in the nav bone and on the pastern)... not good. I AM hoping that once he gets more substantial wall... which I thought he had but the xrays show differently; however, it could possibly be because she rasped the hoof wall last week, IhopeIhope.. he will get more comfortable on his turns and doing 20 meter circles. I'm in no way getting my hopes too high on this. I am just happy that he's happy without bute, and sound on the straight and cantering in turnout, and we can start to get some real exercise (not just walking) so maybe... just maybe... I can start feeding him like a horse instead of a pony eventually The vet said that the xrays look like the start of mild laminitis, but said he had to look at previous xrays to be sure. He said since he is a large horse it may be just fine because his sole was rock hard, and he could barely see his white line (not thick), he wasn't too concerned about this. I did look at some xrays taken August 2006 and those look thinner, but they weren't digital. The December digital xrays look about the same. Hope that helps We also took xrays of his right stifle and he has changes there too. He said we could inject, but since he's not in "work" there was really no sense. He suggested to continue the conquer, eliminate the oral supplements and use adequan instead, which he got a shot of last week. Hocks had not been warm for the last couple of weeks, and he didn't see any hind lameness just uncomfortable on the front, so we're going to wait on hock injections until November. |
| Member: juliem |
Posted on Saturday, Aug 11, 2007 - 11:24 am: Aileen, I'd work more on getting the breakover right and not focus on lowering the heels. The xrays look good except for the long toe. Balancing the hoof and trimming to the live sole will eventually get them back. Trying to leave heels high is probably what gets them to the run under stage in a hoof like Brave's. I don't know how to increase sole depth, but if he's not tender on say gravel, I wouldn't worry about it.Diane, I think I was assuming Brave had some founder issues, so my statements were along that line. I guess I'd forgot the issues were ringbone and navicular synDrOme. The same forces still apply--the turns will create more "torque" to the sides. I know you're wondering about Hank, and you need to remember, the laminae in the old part of the hoof may have been compromised. It takes nine months to a year for a new hoof to grow, so I think if you had more rotation, you could have some stretched laminae which would be weakened. If he's had more rotation in the past months, I'd be wary of small circles at trot or canter for awhile. If you ask him to make a tight turn from a standstill, does he step right over or does he try to make more of a circle? If he tries to sort of walk around the turn, he could be feeling some discomfort. Hard to describe, but easy to see. |
| Member: scooter |
Posted on Saturday, Aug 11, 2007 - 12:24 pm: That's why I was wondering! Hank has no problems with turns AT ALL since his shoes and pads. He has a way worse hoof then Brave IMO. I do believe it was his thin soles that were causing the pain after the acute founder episode. Brave has much more sole than Hank. BUT can thin soles cause soreness on turns? It makes you wonder if he turns better with the boots? Or if Aileens vet said he might have had a mild case of laminitis, I suppose that could make him sore on turns also. The few horses I have known "diagnosed with navicular" didn't have turn problems. Keep up the good work Aileen and I too am Happy Brave is doing SO well!.Julie,I don't wonder about Hank anymore, I know his problems, and he is 100% sound, straight and on turns with the pour-in pads.(bare foot is not for that horse) I was wondering more about why Brave was still sore on turns, and Aileen ans. that question. Thanks |
| Member: sunny66 |
Posted on Saturday, Aug 11, 2007 - 12:26 pm: On Julie's comments on tight turns... Brave used to literally hop around - tried his best to get his weight off his feet... I agree that you'll know if you see it. He doesn't hop any more, but he's not comfortable doing it and you can see that he's picking up his feet faster than normal and he doesn't cross over properly a lot of the time (crosses behind the other leg, not in front).Julie, I am concerned that if we take off any sole it would not be a good thing... my first reaction was to just leave the sole, but address the heels/toes/quarters (mostly since he turns much better after she addresses the quarters) and try to leave more hoof wall height. I did compare Dec/Aug xrays and saw that his collateral grooves were not nearly as pronounced as they were in December, so that is ONE good thing. |
| Member: juliem |
Posted on Saturday, Aug 11, 2007 - 12:45 pm: No, no, I wasn't advocating taking off more sole! When I say "trim to the live sole" that means the farrier uses the live sole as a guideline to balance the hoof--part of mapping out the structures of the individual hoof and deciding how, what and how much to trim. Again, NOT advocating trimming live sole! Sorry for not being clearer. |
| Member: sunny66 |
Posted on Saturday, Aug 11, 2007 - 1:18 pm: Ah! Got it sorry for misunderstanding I got an email back from the trimmer who has seen his feet, she looked at the xrays and said that it's highly possible that whatever sole was there before was false and not to worry about that too much right now. But I remember at one point, can't remember when, but the farrier had said his sole was soft at the point of the frog... but it went away at the next trim I think, I wish I could remember when that was! The trimmer also said to look at the hairline at the front of the hooves to see if they are even, so I ran and got a couple of pics and once again her prescription is the same as my vet.. lower inside rf heel a bit - but she couldn't tell on the left front, but, I'm guessing here, the left inside needs to come down: left front right front
|
| Member: sunny66 |
Posted on Thursday, Aug 16, 2007 - 10:42 am: Vet called, he said due to his lack of sole depth he thinks maybe barefoot isn't the way to go for him. I asked him about the nav/ringbone changes for the worse (I thought) and he said he couldn't truly judge from the xrays we took. I told him that the trimmer thought it was false sole coming off, and he said false sole or not, it was helping to support him. However, I did talk him into waiting until the rainy season is over next year unless Brave got worse. He did say that if he did get worse to keep his boots on or try glue on shoes, so we'll see. If he doesn't get worse, then we'll do xrays again before we put the shoes on.Re: the arthritis in his hind end, mild changes to both stifles and hocks... to try the new Equioxx for his arthritis before injecting. Last night his LF sole felt softer than the rest of his sole just at the point of the frog, but he is still walking over rocks with no ouchiness. It looks to me that he is sloughing off sole only at the toe. Farrier should be coming this weekend. I'm going to have her look at the xrays, bring his heel back, and balance the foot but try to leave the wall at the toe. Thoughts? |
| Member: scooter |
Posted on Thursday, Aug 16, 2007 - 4:39 pm: I don't know Aileen, the thin soles is what kept Hank from going sound also. With the shoes and equithane pads he is 100%. I am all for barefoot, but some horse just don't tolerate it well...due to thin soles. If you don't mind dealing with the boots and he isn't ouchy otherwise I would leave him barefoot.That is why I was asking about him being sore in the turns, that does suggest tenderness in the sole area. Good luck with whatever you choose Oh and leaving the toe wall longer did not help Hank, actually I think it made him worse.
|
| Member: kthorse |
Posted on Thursday, Aug 16, 2007 - 7:37 pm: In my opinion and from my horse when the sole gets soft at the point of the frog I get excited. then he starts to shed in that area and the coffin bone starts lifting starting concavity. Letting nature do its thing, His hoof might be doing what it needs. This is how mine got thick soled. Its a process. My vet always said he needs shoes. Blah. Though each horse is different. I am just saying I would be excited. |
| Member: scooter |
Posted on Thursday, Aug 16, 2007 - 8:39 pm: I too have to say that Hanks soles looked much better when the equithane CS was removed. Even the farrier commented. There was the normal chalky stuff, but other than that they looked very good.Aileen there are 2 sides to each coin, I am not advocating shoes, actually if Brave seems comfortable and you are able to ride him I wouldn't bother with them. IME with Hank he was not comfortable in his turns or on very hard ground, and I did want to get the boy back in work.... without waiting a year to see what happens. What ever you choose, I'm sure he will be fine either way! (I hope) |
| Member: sunny66 |
Posted on Friday, Aug 17, 2007 - 10:12 am: Thank you His bars are overlaid on all four feet. Just not at the tip of the frogs. The trimmer did say it would take time for the cb to resuspend, but this is all new to me and I do not want to cause him any pain. His cb looks awfully close to the sole to me and I don't like that at all... and neither does the vet. Katrina, was your horse sore when his sole was soft? He was a bit more ouchy last night but not lame. Diane, I truly hope I make the right decision. Dr. O, if you could chime in here I'd greatly appreciate it
|
| Member: kthorse |
Posted on Friday, Aug 17, 2007 - 1:19 pm: Aileen,, He was not lame but was allot more careful on the gravel,a little ouchy, I used boots when he felt like that or I would put durasole on the sole only when I was going to ride barefoot that day, otherwise I just kept scraping it away with a hoof pick it and concaved more and more. It was the old sole lifting away as the coffin bone lifted. It was amazing to watch this flat footed thin soled horse do this. It happened more with the moisture as that softens the hoof alot which is why I think some barefoot trimmers like horses to stand in water. I personally am against that idea as it think it does more harm that good, however it will get rid of old sole pretty quickly. The reason mine became flat footed from what i am seeing with his feet is lowering his heel too much. Funny how they are all different and you have to listen to each one.With founder Usually the sole DrOps and convexes rather than concaves because the coffin is low, Or so I was taught. Is the sole concaving with the flaky sole? If not it could be way to much moisture. Thus not doing what happened to my horse. If it is concaving then the bone is or should be lifting. Gosh I hope it is. If its not lifting concaving I would put something on to protect his feet from too much moisture because then he would need as much sole as can get. Wish I could be of more help but without seeing him daily I really dont know. |
| Member: sunny66 |
Posted on Friday, Aug 17, 2007 - 4:03 pm: Thanks Katrina, it's dry as a bone here, we have hopefully only 2 months before the ground starts getting soft again, if he can make until then, we should be good to go through the winter. I don't think the sole is flaky. It looks a lot like the latest pictures, just more overlaid bar and more sole is gone at the point of the frog. Would you call that concaving? |
| Member: kthorse |
Posted on Friday, Aug 17, 2007 - 9:04 pm: Aileen I think its better for the feet if its dry as a bone, too much wet causes other problems. There is such controversy over bars. I have had a few different barefoot trimmers both with different opinions on bars, which is now why I do it myself mostly. 2 of my trimmers say bars are bad and painful to the horse, but when they removed them to the sole which includes the heel as they run into it, he became flat footed and stood tucked under. Another trimmed only from the top. I have sort of gone in between these 2 styles, preferring the top method if I had a choice. Your horses feet are very similar to mine I had posted pictures when he was very lame over a year ago with the same bruising and flat feet. They also look alot like yours now except that mine now has the concavity and very deep wide clefts beside his frog showing deep walls. Anyway to get to my point. The trimmer who says bars were bad had me trimming them to the sole. They started growing like crazy. I was doing them every few days as they were popping up like crazy. The more I did them the faster they grew as well as the heels, The bars started growing to the tip of the frog. They never did that. Starting looking overlaid. He started getting flat footed again. I thought hey this is not working. As Pete Ramey says if something grows like that its supposed to be there. So I left them and the heels alone, only trimming the bars a smidgen as well as the heels. Low and behold they have stopped growing and are staying pretty much the same and the concavity came back. The bars stopped growing at the tip of the frog and there is concavity again. This is the beauty of learning to do this yourself. I don't think your horses bars look bad. I would not trim them all the way down, just a smidgen if you think they will hit the ground before the rest of the foot. I some horses need some bar, mine does. As for losing sole at the point of the frog, I personally would think that is so great. Its a start to me anyway that the coffin is lifting. |
| Member: sunny66 |
Posted on Saturday, Aug 18, 2007 - 10:38 am: Thanks Katrina, we'll see how he does, he was walking around the pasture just fine this morning. Farrier hasn't called with a time, and I want her to see the xrays before she trims him, so it may be 3 weeks again! ug. |
| Member: sunny66 |
Posted on Monday, Aug 20, 2007 - 11:14 pm: Well she called, and wanted to come out Monday while I was at work. So I tried to tell her about just bringing the heels back and not down like she's been doing, but I told her about his coffin bone to hopefully make her feel more at ease doing that. Then I told her about the fetlock joint being a little off and making sure the hairline was even. He's short, she trimmed the bars, it looks like his hairline is even but he won't stand square so I can't be sure. He's sore, not crossing over correctly, BUT he did trot in on soft ground... we'll see what happens in a couple of days I guess.Left front: Right front (sorry for the blurry sole pic): I also mentioned the breakover may be too far back, how do they look now? |
| Member: scooter |
Posted on Monday, Aug 20, 2007 - 11:21 pm: Aileen sorry Brave is sore again. I'll leave the hoof comments to the hoof gurus. Hope he feels better in a couple days! |
| Member: kthorse |
Posted on Tuesday, Aug 21, 2007 - 7:25 am: If you take the breakover back and the heels at the same time on a tender horse it will make them ouchy. His feet look good, I would not have touched the sole at the toe at all I would have gotten rid of the tiny bit of flair on the toe from the top so as not to make him sore. He should be fine. If the heels grow back super fast then you know to leave them next time. Watch for that. Anytime a hoof part grows super fast its because they need it, so watch out for that. That will help you determine what your horse needs. When he grows more hoof at the toe rasp from the top at the same angle as the top half of his foot. Just a smidgen, as its not bad. And a bigger bevel would be nice but His toe might be too short for that right now.All in all I think they look pretty good. I hope he stops being ouchy soon. Can you put boots on or tape pads on for a couple of days to make sure he keeps landing heel first? I think he should be fine if you do that. |
| Member: scooter |
Posted on Tuesday, Aug 21, 2007 - 7:54 am: Well I do have to comment about the part if it grows fast they need it . Many different things can make a certain part of a hoof grow faster i.e. laminitis will make the heel grow faster, seems also that a long toe makes the toe grow faster, enviroment can come into play too and also how the horse lands. I had a farrier once that went by that philosophy and it just didn't work usually. |
| Member: kthorse |
Posted on Tuesday, Aug 21, 2007 - 8:22 am: Diane, You are right in what you said. I agree.I am talking about when a barefoot horse is trimmed short eg bars or heels and they are back in a few days to a week to what they were. Your above comment is true. This is what happened with my horse. I was going crazy trimming his bars and heels every 4 days to a week. I could not understand why this was happenning. So I went to all the barefoot sites. I read a pete Ramey article and it explained why this was happenning . It worked out very true in my case. This does not apply to shod, laminitic or horses with long toe underun heels. Sorry I should have clarified that. |
| Member: scooter |
Posted on Tuesday, Aug 21, 2007 - 8:32 am: Yes but doesn't Brave have some of the above mentioned afflictions? Quite a few things should be taken into consideration. I believe her vet said Brave may have had a bout of laminitis, his sole is thin etc. |
| Member: kthorse |
Posted on Tuesday, Aug 21, 2007 - 8:58 am: Its only a tool to help you learn to read your horses hoof and to know what he needs. Watching hoof growth cant hurt him in any way.I was just suggesting she watch his hoof growth to better understand his hoof. I think her horses hoof looks great right now and nothing needs to be done at this time. |
| Member: sunny66 |
Posted on Tuesday, Aug 21, 2007 - 10:42 am: Thank you ladies Yes, I can put boots on. It turns out though that he was done at 2:30 yesterday afternoon, so I saw him 2.5 hours after he was done. I'll wait and see how he is today. Diane, the vet did say he did not think he had laminitis after comparing the two xrays, but keeping his underun heels/long toes in check is a pain! I want him to grow some more foot and I just don't see that happening because every two weeks we're taking off the incorrect growth. When will he start to grow correctly? I do hope someone will step in here if I'm doing something wrong because I honestly just don't know. I can't believe I'm saying this, but I wish it would rain and soften up the ground. |
| Member: juliem |
Posted on Tuesday, Aug 21, 2007 - 4:26 pm: It's really hard to tell from the pictures Aileen. I think they look a bit short and it appears his sole is a little higher than the walls?? Is this true or just the picture? It does look as if the heel is back where it should be and the toes don't look overly long. I agree with rasping the toe back from the top--like with the foot positioned on a hoof jack. I wouldn't rasp anymore from the bottom and wait a couple of weeks. If the heels at that point rise above the live sole, they can be rasped back from the bottom, but only until they are just a little higher than the live sole. Personally, I don't like it that he was more sore following the trimming. The ideal is the horse is more comfortable, not less, following trimming. Take heart and don't do any more trimming in the next couple of weeks. |
| Member: scooter |
Posted on Tuesday, Aug 21, 2007 - 6:29 pm: Aileen you can have some of our torrential rains . Why do you want the ground soft? is he sore on the hard ground? I always wanted the ground soft for Hank also, but that in it self causes soft soles and really doesn't help in the long run If your vet says he has thin soles to begin with, and he is walking on his sole, he probably would be sore. That was the problem I was having with Hank barefoot. When we would get his hooves LOOKING good he would be very sore...especially after trimming. I think I mentioned in one of my million posts that the worse his feet looked the better he moved. That's why I couldn't take it anymore and fell off the barefoot wagon. With the shoes and pads there is NO more lameness and that just makes me happy, The farrier has been able to be a little more aggressive with the shoes and now his hooves are starting to look better...without the soreness. Brave seems to have more sole than Hank so if you have the time and the patience he probably can do barefoot. Thin soles are just very hard to deal with! You should talk to your vet...he seems very knowlegeable from your posts and see what he says. I was always afraid the with continued soreness and thin soles pedal osteitis or something else would happen. Good luck...hope Brave feels better today. |
| Member: sunny66 |
Posted on Tuesday, Aug 21, 2007 - 6:59 pm: Thanks Julie, I don't think he's walking on his soles, she did take quite a bit of frog however so that may be an issue for him. He was not landing heel first last night and had been landing flat or heel first for the most part. But then that would mean his heels hurt worse than his toes, so then I shouldn't have to worry about the coffin bone? I'll post once I get home to see how he's doing. He's on a 2 week schedule, I want it to be longer, yet when it is longer he gets all out of whack.Thanks Diane, vet knows I overthink... lol... he wants him to have shoes on, but understands that I don't want nail holes over the winter. I want to give his feet a good chance to regroup ... granted if he was lame at the walk I'd have shoes put on... but he's fine at the walk. I'll post later. Thanks again. |
| Member: sunny66 |
Posted on Tuesday, Aug 21, 2007 - 10:46 pm: Well, I got home to a horse who was in pain...you could just tell by looking at him. It was hot, so I brought him out to hose him down, but first I checked his feet... BIG OL ROCK in his foot... stuck stuck stuck. Whew! Betadined his soles and all his little sores on his hocks and fetlocks, then rinsed him off. Much better Personality came back too. He's still walking fine, not AS toe first, but still toe first, but not lame at the walk. So ... now what? Does this warrant booting him? I hesitate because that will breed bacteria since its so hot, but I will if you all think I should. |
| Member: scooter |
Posted on Wednesday, Aug 22, 2007 - 8:22 am: Aileen if he is walking "normally" I don't think I would boot him. It is up to you if he seems uncomfortable I would boot him during the day and maybe take them off at night. The lil swimmers with gold bond powder in them really kept Hanks hoof dry when booted. |
| Member: sunny66 |
Posted on Wednesday, Aug 22, 2007 - 3:37 pm: Thanks Diane, the lady that takes him off property three times a week said he was doing really well, very polite and no acting up. She's taking him out today so we'll see if there's a difference, she knows about his feet and is prepared to handwalk instead of ride. |
| Member: scooter |
Posted on Sunday, Aug 26, 2007 - 12:38 pm: Aileen how is Brave doing? I hope his soreness dissipated.
|
| Member: sunny66 |
Posted on Sunday, Aug 26, 2007 - 3:00 pm: Thanks for asking Diane, he's progressively getting better day by day. Still not 90%, but better. I just wish I could let his feet grow to normal. He used to have such big feet, now they're tiny... but as I said above, if I let them grow, then he gets a long toe and more underrun heel... a bit frustrating. Next trim is September 10 - 3 weeks - but he's so short now it will probably be ok. |
| Member: scooter |
Posted on Sunday, Aug 26, 2007 - 4:41 pm: It does get so frustrating. I wonder how long his soreness is "expected" to last in his transition. Dr.O.???? Can a long underrun hoof ever go to like 4-6 week trimming schedule without the hoof getting out of shape again? and if it did wouldn't the trimming take care of it? The long toe under run heel thing is a hard one to figure out.I notice too Hanks feet get long even at 4 weeks, When barefoot we couldn't trim that often because he couldn't walk until about his next trim and the perpetual lameness went on....he does have way more issues than Brave tho. I hope Brave feels better soon
|
| Member: sunny66 |
Posted on Sunday, Aug 26, 2007 - 7:07 pm: All good questions Diane Thank you. He's even better today, even rode him for a few minutes
|
| Member: gwen |
Posted on Monday, Aug 27, 2007 - 6:18 am: You are so good to that boy-and his feet.
|
| Member: sunny66 |
Posted on Monday, Aug 27, 2007 - 11:03 am: Thank you Gwen, but I owe him He's made me laugh for 8 years, the least I can do is make him comfy
|
| Member: quatro |
Posted on Monday, Aug 27, 2007 - 12:39 pm: Hey Aileen, do you ever wonder what it would be like to just feed, groom and ride our horses? I feel a bit on the down side, with Levi and his WLD right now. It is a comfort to know that I am not alone fighting the battles for our horses. Some days I just wonder how much I have left in me.All we can do is keep working at it, right? Good luck with Brave suz |
| Member: sunny66 |
Posted on Tuesday, Aug 28, 2007 - 10:52 am: Susan, Yes I do wonder!! I'm sorry you feel down, I know how it feels... yes, just keep on keepin' on I'm lucky in that I've gotten to the point that if I can maintain what he has now, he may even progress further next spring... I'm trying to make sure I'm not messing something else up in the meantime by going very slow with him... It's hard to know what to do. |
| Member: sunny66 |
Posted on Tuesday, Sep 18, 2007 - 3:32 pm: Just an update. Farrier came on Sep 10 and said he was fine and did not trim him... didn't even take his heels back... He was fine on the front feet, but he's starting to regress and now she can't come out until September 26.Another issue has come back to bite us in the bum. His hind end has "given out". My chiro/vet came out and he got an adjustment and accupuncture last week, will get another accupuncture treatment on Oct 4. He's now getting weekly adequan injections, and daily equioxx and I'm going ahead and starting him on Recovery EQ/HA as soon as it gets shipped to me. His hock sore on his right hind will not go away, it's the size of a quarter now. I can't wrap it, he won't let me which is very unlike him. I'm getting a prescription from the vet for the sore, that will hopefully heal it, on Saturday. When he gets up from laying down, he's dead lame for about a minute, then he's ok. Why, I have no idea. Vet wants to see what the accupuncture/adequan route does before he injects both the stifles and the hocks. So to round this thread out, while barefoot helped return his hooves to mostly normal, it seems that the rest of him just won't be able keep up. While he is still curious and silly with a wonderfully soft winter coat growing in, I can see the pain in his eyes. I'm hoping the recovery eq/ha does the trick as its website testimonials state. |
| Member: dres |
Posted on Tuesday, Sep 18, 2007 - 3:59 pm: Aileen, what do you mean his hind end 'has given out'... What exactly is he not doing with it? or doing with it.. ?On the first day God created horses, on the second day he painted them with spots. |
| Member: scooter |
Posted on Tuesday, Sep 18, 2007 - 4:09 pm: Always something isn't it . How is Brave doing on the front end...if he is still not "sound" you do have to wonder if the compensation thing isn't exuberating the problem in the rear. I know Hank has a stifle issue and when his fronts were sore his stifle was horrible. Same with my arab gelding who has a good amount of arthritis in his hocks, when his fronts were off, his backend looked worse then his front...that was the year he went in shoes to get his front straightened out . His backend almost immediately was relieved. I hope you figure it out...no one could be trying harder.
|
| Member: quatro |
Posted on Tuesday, Sep 18, 2007 - 4:59 pm: Oh Aileen, I feel for you. You are trying so hard for this boy. He is very lucky to have you as a horse mom. Prayers go out to you both.suz |
| Member: sunny66 |
Posted on Tuesday, Sep 18, 2007 - 5:06 pm: Hi Ann, he's lame behind. The arthritis seems to have taken it's toll on his stifles and hocks... when he gets up from laying down, it's his hind end that is drastically lame. Otherwise, his lameness comes and goes, but when it's there he's not headbobbing, not short striding in front but short striding behind. If he spooks (which he is doing a LOT of lately), he does pirrouettes so he barely has to move his hind feet. He protects his hind end whenever I'm back there. When I pick his left front it's like holding up 1,000 pounds (right hind is the worse of the two), his loins hurt so much I can't even saddle him anymore without him putting his ears back and moving away --- NOT like him at all and no, he hasn't been ridden in weeks -- it's just my gut feeling right now that he's done unless this recovery is magic.Thanks Diane, I appreciate that... he's not ouchy on his front feet at all, he was turning really well, etc. Oh wait, he IS on equioxx... maybe it IS in the front...Wow, what if it IS all four legs again I will boot him (when I see him lame) and see what he does, if he goes better, I think I'll put shoes back on... regardless tho, I'm going to do the overall with the adequan, conquer, and recovery eq/ha and see if it helps. Thank you ladies. |
| Member: sunny66 |
Posted on Tuesday, Sep 18, 2007 - 5:09 pm: Thank you Susan, he needs them!! |
| Member: scooter |
Posted on Tuesday, Sep 18, 2007 - 5:42 pm: Good idea Aileen I was going to suggest seeing if he was better behind when the boots were on the front...cheap experiment anyway . I remember once when Hank was having his right rear problem you suggesting maybe it was the fronts...I really didn't think so BUT IT WAS!!! |
| Member: mysi |
Posted on Tuesday, Sep 18, 2007 - 8:22 pm: Awww.. Aileen, I feel your pain. Moose is actually doing better this past week. He's been able to relax, no more exams with endless trotting in discomfort.Let me know how the recovery EQ/HA does for you. When you said you were going to try it, I should have told you to buy it from www.medi-vet.com It's the cheapest I found at $358 for the 11 lb container, $101 for the 2.2 lb and free shipping. I just ordered the conquer paste, I'm going to add that to Moose regimen of bi-weekly Adequan and daily Recovery EQ/HA. What we do for our boys! Good luck, I hope it all helps! |
| Member: sunny66 |
Posted on Wednesday, Sep 19, 2007 - 10:25 am: Thanks Diane, I didn't give him the equioxx last night for a couple of reasons, one, he was walking really well ... but his rider didn't even take him out yesterday afternoon because while he came to the barn with a smile, when she went to take him out he turned and "sulked" ... so we'll see. The second reason is that he's been on the Equioxx for a few weeks, and I read that 14 days is the limit... need to ask my vet if I can keep him on it or what... so I gave him ulcerguard instead since there's a weather change coming in.Thank you Melissa, it's hard for us to see them in pain, isn't it... I found good prices too! Go to https://americasequinewarehouse.com/ I ordered the 2.2 pounder for only 89.90 and the conquer gel was only 11.68! |
| Member: sunny66 |
Posted on Thursday, Sep 20, 2007 - 10:41 am: Well Susan, those were some pretty powerful prayers! He was cantering about last night, lame and I'm sure full of adrenalin with the thunder, lightening, rain and wind...but his hock sore hasn't opened up again. So I thank you and anyone else that prayed or sent good thoughts to my sweet boy!!With this erratic change from lame to ok... I'm leaning toward just riding him a couple of times a week at the walk in my little arena for 10-15 minutes (only when sound at the walk of course), so he thinks he still has a job, he needs that job... but I don't think he can handle more than that. Luckily, I have two boarders that will let me ride their horses as well, so at least I can ride more than that and I'll be able to sit on my sweet boy too... if only for 10 minutes at a time. Thanks to everyone
|
| Member: sunny66 |
Posted on Saturday, Sep 22, 2007 - 10:42 am: You guys, he's getting so much better! He cantered again Thursday night and last night he trotted about 20 yards with no headbob. I have to think it's the adequan series, nothing else has changed. He's even got dapples again, though couldn't that be because his new coat is coming in?Should I inject his hocks and stifles? Dr. O, I would really appreciate your input on this question along with everyone else! What would you guys do if he were your horse? I received the Recovery EQ/HA and I started him on that last night. Thanks for any and all input! |
| Member: hwood |
Posted on Saturday, Sep 22, 2007 - 10:56 am: How thrilling for you, Aileen, after all you have been through. It's so neat to hear of Sue riding Levi, you riding Brave, and Diane being on Hank again . . . all at about the same time. It's been a long haul for each of you . . . (and for us,too, as we've followed your trials and tribulations.If it were me, and I am no expert no medical expert, I wouldn't inject anything. If he is doing great on his present regimen, then I would just continue what is working. Do you have someone who can get some pics of you riding? |
| Member: dres |
Posted on Saturday, Sep 22, 2007 - 11:43 am: I am going to agree with Holly, why mess up with something that has changed with the good.. why even start on the other supplements right now when the adequan appears to be working.. ''' don't upset the apple cart'''...Don't add to much to his work out, keep them short and sweet.. He might never be more then a quick ride , but its a ride !!!! Congrats... On the first day God created horses, on the second day he painted them with spots.. |
| Member: sunny66 |
Posted on Saturday, Sep 22, 2007 - 11:49 am: Oh thank you for your input Holly Only thrilling to me because he seems so much more comfy He's not able to be a real riding horse because he always breaks down. However, if he can be ridden just a bit, I think it would help with his weight. Diane, Susan and I are very lucky we found HA ... well for that matter, we are all lucky we found HA Here's a pic from last month, hasn't been ridden since, maybe it's the way I ride!?
|
| Member: sunny66 |
Posted on Saturday, Sep 22, 2007 - 11:52 am: Thank you Ann I know I have to try the Recovery ... it's supposed to help with all of his ailments...
|
| Member: scooter |
Posted on Saturday, Sep 22, 2007 - 12:06 pm: Congrats Aileen, That is SO GOOD to hear!!!! All our lame fat ponies are finally coming around, it has only taken us about 2 yrs. . I agree with the others if he is improving...why mess with it. If he starts getting worse then maybe consider the injections. |
| Member: hwood |
Posted on Saturday, Sep 22, 2007 - 1:03 pm: Thanks for the pic, Aileen. Can't tell a lot from the photo, but it looks to me as if the front of the saddle is good . . . not pinching his front end, but looks like the back of the saddle may be cutting down into his back. Is this the saddle you always use on him? I wonder if you try a wide Wintec all-purpose or sport/dressage (Mine are the old-style less-expensive ones that can only be found used anymore) to see if it will work differently after riding a few times?If it's his feet and legs, then that's what it is, but if he is bracing and not using his legs freely because of discomfort in his back, maybe a different saddle will help? Anyone else have thoughts on that? |
| Member: sunny66 |
Posted on Saturday, Sep 22, 2007 - 1:17 pm: Thank you Diane Holly, I tried his Passier saddle on him and he kept his head high. With the Passier I use a sheepskin and thinline pad. His western I use a navajo and supracor. I lied, a month ago was the last time I'VE ridden, he had been ridden by his "rider" out and about, but I bought a fleece western pad and she's been using that...maybe he needs the supracor and the fleece... or maybe we're just too heavy for him? THAT would be sad... but I would appreciate all honesty on this subject.
|
| Member: scooter |
Posted on Saturday, Sep 22, 2007 - 2:00 pm: You are not too big for that horse...my husband 250#'s rode my little 14.1hh arab gelding who weighed about 700#'s at the time and he was fine.I don't know much about english saddles, but I know when I had a different western saddle on Hank he was cranky and very unwilling. I bought 2 saddles...one a wide tree to fit fat boy, he didn't seem comfortable in them either. Finally I bought the flex tree from circle Y and it made a big difference. I too think it LOOKS like your saddle hits in the middle of his back, does it have a round skirt? If so maybe a square skirt would help distribute weight better. may be worth trying if some one you know has one. I don't think padding is going to make a big difference. If you get too much padding back there it will start tipping forward, even a little makes a difference (from experience). Another adjustment I made with Hank was moving the saddle back a little more than normal and tying the cinch on the second ring...again big difference. |
| Member: sunny66 |
Posted on Saturday, Sep 22, 2007 - 2:44 pm: Thank you Diane I know "technically" I'm not too big for him, but maybe because he has so many issues... He has a pretty short back, when I used a square skirt it would hit him in the flank... while he never did anything wrong, he "told" me he wasn't too keen on that saddle ;) The crates he has doesn't have a second ring, but I'll try to set it back farther and see what happens. I might go to a reactor panel saddle - sort of a flex tree I think. I know someone that fits them and thinks he will just love it... but they are very expensive. It's raining here today, but maybe later I'll put the fleece and supracor on, saddle him and take a picture to see what you guys think. Thank you! |
| Member: scooter |
Posted on Saturday, Sep 22, 2007 - 4:46 pm: Aileen I hate to even mention this, but in your last couple posts when Brave has been moving better it has been raining, are you sure it isn't the soft ground on his feet making him feel better? I know after it rained Hank looked good for a few days until the ground got hard again. It took me awhile to put 2 and 2 together, because I was so thrilled with his "soundness" at the time.Would love to see the saddle pic. I have never heard of a reactor panel saddle...sounds interesting I will have to look it up. I think I am going to get a cashel soft saddle....put it on my birthday wish list anyway. P.S. you might want to start a part 4....recovery. This one takes awhile to load. |
| Member: sunny66 |
Posted on Saturday, Sep 22, 2007 - 5:00 pm: NOOOO Not a part 4!! lol ... ok...Ah, good point, I do hear you on the softer ground. It also rained a bit, when was that... just this last week. As long as it rains then he'll be ok then. I've actually been waiting for the rain for just that purpose but you're absolutely right, I did forget about that. His feet look good, while they're getting out of shape a bit and need to be trimmed (this Wednesday), they're getting bigger and looking more like they should be, in size, anyway. Ok, look for part 4 with pictures of feet and saddle in about an hour or so. |
| Member: dres |
Posted on Saturday, Sep 22, 2007 - 6:21 pm: Aileen, if the softer ground is key.. then maybe shoes with pads are something to think on.. remember that made a huge difference with my gelding.. ( then you won't have to feed him all those supplements to pay for the pads.. )Don't be thinking on buying a saddle now girl friend...you can only ride him a short time if that .. Please tell me you won't .. There has to be saddles around you can try out on him.. Shoot i just sold one ... The reactor panel saddle is an interesting saddle all tho i am not convince it does what the rep says it does.. but that is my opinion.. Some words to live by.. DON'T MICROMANAGE... he is doing well now be happy.. On the first day God created horses, on the second day he painted them with spots. |
| Member: sunny66 |
Posted on Saturday, Sep 22, 2007 - 6:54 pm: Thanks Ann, yes vet and I have talked and as mentioned above, if we can get him to when the ground softens up he'll hopefully be able to go one full year to give his feet time to really recover, then put shoes on if he goes back to work in the spring. If he doesn't get to go back to work, then I will take xrays periodically to determine where is cb is and how sore he is and go from there.Vet doesn't have a problem with me booting him to ride the little bit I can... but I do see your point, truly I do. I have one horse, I can't afford another. I can either get this heart horse of mine to be even just a little ridable or not. If he would stop the rollercoaster and be just lame (a horrible thought!), it would make it a whole lot easier to not micromanage. I didn't micromanage in 2004, if I had, I might not be in the predicament we're in now, or maybe I would... I most likely need counseling. LOL I started part 4 and will NOT let it get as long as parts 1, 2 and 3!
|
| Moderator: DrO |
Posted on Sunday, Sep 23, 2007 - 8:57 am: Aileen what work do you have to suggest you have DJD of the hock and stifles?DrO |
| Member: sunny66 |
Posted on Sunday, Sep 23, 2007 - 9:32 am: Hi Dr. O, xrays were taken last year of the left stifle and this year of the right stifle. Xrays of his hocks have been periodically taken, the latest last year. My vet seems to think his stiffness on the right hind could be due to either the hock or the stifle; however, he hasn't been blocked because it's been very mild compared to his other pathologies. He's had hock injections three times and they have helped him each time.He has a bone spur on his left hock, his right hock did not show a bone spur just changes on last year's xrays. The stifles show the same changes on both legs. Thanks Dr. O
|
| Moderator: DrO |
Posted on Tuesday, Sep 25, 2007 - 7:33 am: Aileen, you must decide with the help of your veterinarian whether these findings are enough to diagnose lameness from DJD or not and whether injections are indicated. To help you we discuss the significance of radiography in both the Diagnosis of Lameness and Interpretation of Radiography article and we discuss the usefulness of intraarticular injections in the Arthritis Overview article.DrO |
| Member: sunny66 |
Posted on Tuesday, Sep 25, 2007 - 10:27 am: Thank you Dr. O, I believe my vet's thinking is that if Brave only had two legs afflicted, and he didn't have four legs afflicted with something, he would definitely suggest the injections. But with the change in his hoof form, I'm wondering if there's even a remote chance that if I did do the injections, if Brave would be more comfortable being a limited riding horse with the injections.I must admit that injections are the less expensive route at about $350 for 6-8 months. Accupuncture ($175 bimonthly) and weekly adequan shots ($200 per month) will run me about $550 per month. I love my horse and want to do what's best for him, but I do need to keep a roof over his head. I have read your articles, but will reread them again to see if there's been updates. I truly appreciate your input! |