Horseadvice.com

Site Menu:

Horseadvice.com

Join Us!

Horse Care

Equine Diseases

Training and Behavior

Reproduction

Medications

Reference Material

This is an archived Horseadvice.com Discussion. The parent article and menus are available on the navigation menu below:
HorseAdvice.com » Diseases of Horses » Lameness » The Interpretation of Radiographs »
  Discussion on Ringbone/ bone spurs
Author Message
Member:
ramener

Posted on Wednesday, Jun 25, 2008 - 9:37 pm:

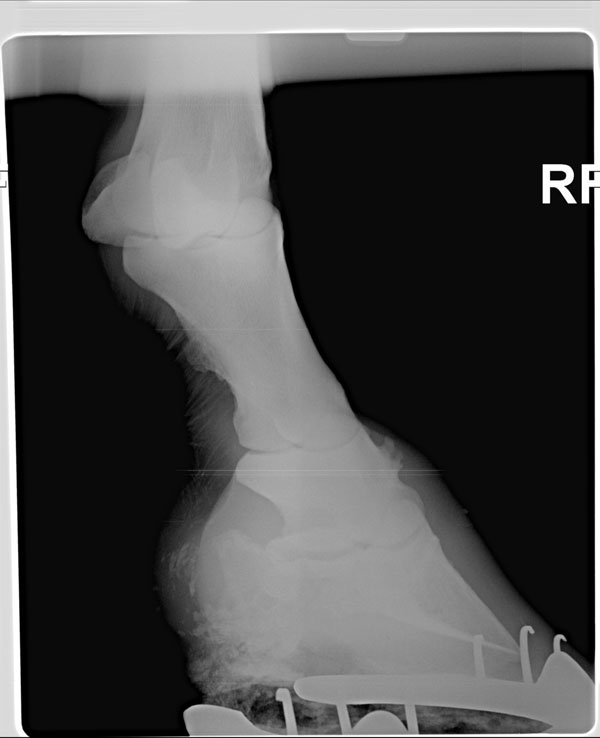
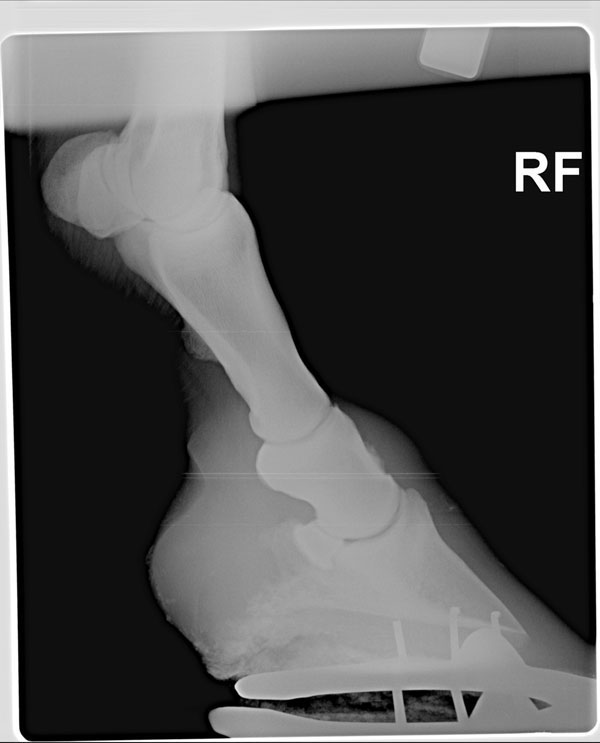
I have attached radiographs of my 16 year old gelding's right front pastern. He has been slightly lame for a month or so. We are trying to determine the treatment that would be best for him. I am alarmed at the bone spurs he has! I am trying to decide what course of action to take. We changed his shoes to increase ease of breakover and added pads. That has helped a lot. He seems better unless he is on very uneven ground or he makes a very sharp right turn. He is on Cosequin ASU and has been for some time. We are going to start Adequan IM and we are debating wether to do IRAP injections or HA injections. This gelding was also recently diagnosed with Cushingoid synDrOme and is on a very low dose of pergolide. He is my problem child at the moment!

Dr. O, I would love any input you might have re: the radiographs and any advice on which way to go for treatment.

Thanks so much,

Brenda Lantz
{282284,}
image/tiff
Right Front 2.tif (33.3 k)
image/tiff
Right Front 3.tif (33.3 k)
image/tiff
Right Front 4.tif (33.2 k)
Member:
dres

Posted on Thursday, Jun 26, 2008 - 12:01 am:

darn , I am not able to open your photos.. ??

On the first day God created horses, on the second day he painted them spots..
Member:
scooter

Posted on Thursday, Jun 26, 2008 - 8:03 am:

I can open them, but they are very small.

Brenda can you post them on this website? It's pretty easy.
Member:
ramener

Posted on Thursday, Jun 26, 2008 - 8:12 am:

Diane,

Can you tell me how to post them to the website? I spent an hour and a half getting them up the first time. It kept saying the files were too large!

Thanks
Brenda
Member:
scooter

Posted on Thursday, Jun 26, 2008 - 8:20 am:

Brenda I use Picasa, don't feel bad it took me 2 days to figure it out!

Dr.O. has an article here
https://www.horseadvice.com/horse/messages/2/66556.html

Ann says this website makes it very easy
https://webresizer.com/resizer/











Member:
scooter

Posted on Thursday, Jun 26, 2008 - 8:27 am:

Sorry that link didn't work to the article, go to this page and look under uploading photos.



https://www.horseadvice.com/horse/messages/2/2.html
Member:
scooter

Posted on Thursday, Jun 26, 2008 - 8:34 am:

YES I had my coffee...GEES
This is the website Ann uses
https://webresizer.com
Member:
ramener

Posted on Thursday, Jun 26, 2008 - 8:37 am:

Diane, thanks for the help and for making me feel less stupid! Here goes try number 2.....

1
2
3
4
Moderator:
DrO

Posted on Thursday, Jun 26, 2008 - 4:50 pm:

Brenda, we are traveling now and I will view these on a better screen when I get home but more importantly has the lameness been localized with nerve blocks to the pastern? It should be done despite the irregularities on the radiographs.
DrO
Member:
ramener

Posted on Thursday, Jun 26, 2008 - 10:28 pm:

Dr. O,

Yes, the vet blocked him twice. The second block at the sesamoid caused him to go sound. The first was in the coffin joint I believe.

Thanks!
Brenda
Moderator:
DrO

Posted on Monday, Jun 30, 2008 - 10:38 am:

Though there are signs of DJD in the pastern joint and remarkable bony proliferation in the bones of the pastern it is not clearly a cause of lameness. You may occasionally find horses with changes above in sound horses. However in combination with the results of the nerve blocks this is pretty damning. Is the history and clinical course of the lameness also consistent with a chronic, progressive disease that worsens with exercise?
DrO
Member:
ramener

Posted on Monday, Jun 30, 2008 - 8:08 pm:

Dr. O,

In the past he has been slightly off and it has always turned out to be a stone bruise. He has white hooves that are pretty soft. This time we initially thought it was the same thing. However, it did not improve with shoes and the farrier could find no evidence of a bruise. So, the vet came. He could find no evidence of a bruise either. So, he blocked him and x-rayed.

This horse was just getting muscled and looking much better since starting Pergolide.... then this happened. I thought perhaps it could have been mild laminitis, but there are no signs of that either.

Truthfully, I have not worked him much since he has been having this problem. I did take him out on a trail ride last week and he was fine walking on even ground, but the uneven ground clearly bothered him. I have longed him in sand and he seems good at all 3 gaits, but a little "tight" or stiff. Not really lame though.

Thanks again.
Brenda
Member:
ramener

Posted on Monday, Jun 30, 2008 - 8:19 pm:

Dr. O

One more question...Do you know if there is a problem with a horse on Pergolide starting Adequan IM?

Brenda
Moderator:
DrO

Posted on Tuesday, Jul 1, 2008 - 7:15 am:

All together it does seem likely that he is developing arthritis of the pastern joint. The Adequan IM will be fine (untested opinion on my part) with the pergolide but in my opinion a expensive treatment with little benefit for such a condition. See the article on "Overview of Arthritis" for more.
DrO
Member:
ramener

Posted on Tuesday, Jul 1, 2008 - 1:55 pm:

Dr. O,

What do you think is a better course of treatment?

Thanks
Brenda
Moderator:
DrO

Posted on Tuesday, Jul 1, 2008 - 10:52 pm:

I cannot answer that for your horse but you will find our recommendations for treating arthritis in the Overview article I reference above. Also there is more specific treatment information on treating DJD of the pastern joint at Diseases of Horses » Lameness » Diseases of the Lower Limb » Ringbone.
DrO
Home Page | Top of Page | Join Us!
Horseadvice.com
is The Horseman's Advisor
Helping Thousands of Equestrians, Farriers, and Veterinarians Every Day
All rights reserved, © 1997 -
Horseadvice.com is a BBB Accredited Business. Click for the BBB Business Review of this Horse Training in Stokesdale NC