Horseadvice.com

Site Menu:

Horseadvice.com

Join Us!

Horse Care

Equine Diseases

Training and Behavior

Reproduction

Medications

Reference Material

This is an archived Horseadvice.com Discussion. The parent article and menus are available on the navigation menu below:
HorseAdvice.com » Diseases of Horses » Lameness » The Interpretation of Radiographs »
  Discussion on Radiographic Intrepretation on 14 mo filly
Author Message
Member:
inuktik

Posted on Friday, Aug 1, 2008 - 8:36 pm:

Hi Dr. O,

I have posted on another topic (assessing yearling warmblood conformation) but am wanting to start this thread as today we received the paper copy of the PPE exam we requested from the Western College of Veterinary Medicine in Saskatoon. They are sending out a disc to us of the digital x-rays and I am hoping we will have then by early next week. I am posting the written portion of the radiographis interpretation as my husband says, can you please put this in layman's terms so we can understand it. The surgeon also mentioned to the owner an "avulsion fracture" which is not specifically mentioned in this report. }Many thanks Dr. O!!
Shelly

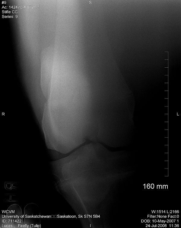
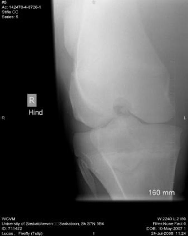
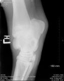
Right Stifle:
There is a fragmentation of the medial intercondylar eminence of the proximal right tibia. This is most likely an osteocchonDrOsis dissecans lesion. No other lesions are identified.

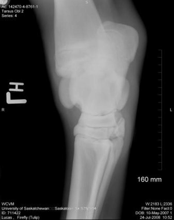
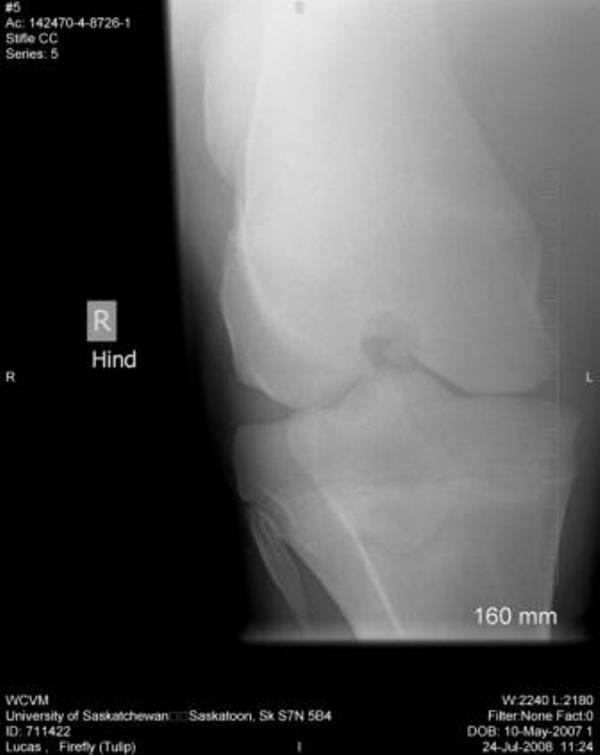
Bilateral Tarsi:

Left Tarsus:
There is a small osseous protrusion off of the distal aspect of the medial trochlear ridge. This is a normal variation. There is also a very small linear osseous fragment visible dorsal to the proximal intertarsal joint in the lateral view This may be a normal finding or it may be a small osseous fragment from more proximity in the tarsus. No Obvious defect or origin of this fragment is noted, however.

Bilateral Fetlocks:

Left Front Fetlock:

There is a small altertation or lucency on the dorosmedial aspect of P-1. No obvious fragment is noted, however, No other abnormalities are noted.
Member:
inuktik

Posted on Friday, Aug 1, 2008 - 10:01 pm:

I forgot to say that there is currently no signs of lameness, effusion, or heat at the sites mentioned in the above post.
Moderator:
DrO

Posted on Monday, Aug 4, 2008 - 8:52 am:

Hello Inuktik,
The interpretation says that your prospective horse has several joint related developmental abnormalities. Some of these are little bits of bone not attached anything. The others are irregularities in the bones close to the joints.

However it does not give a prognostic significance of the lesions or in other words "what is the likelyhood such a lesion might cause future problems?". You should note that if you look closely enough all animals are imperfect. I would ask what the person who reviewed the radiographs the significance of each of the lesions and if unknown have the images referred to an orthopedic surgeon for evaluation.
DrO
Member:
inuktik

Posted on Saturday, Aug 16, 2008 - 1:26 pm:

Hi Dr.O,
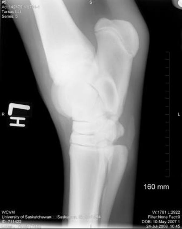
Thank you so much for your assistance, it is really appreciated!! I finally have the cd of the x-rays and will be posting them here. Again, thank you!! The first 2 are stifle pictures, the rest are of the hock.
Shelly
Member:
inuktik

Posted on Saturday, Aug 16, 2008 - 1:27 pm:

Stifle
Member:
inuktik

Posted on Saturday, Aug 16, 2008 - 1:28 pm:

Member:
inuktik

Posted on Saturday, Aug 16, 2008 - 1:30 pm:

Member:
inuktik

Posted on Saturday, Aug 16, 2008 - 1:31 pm:

I am thinking that I resized them too small :-( I shall work on this and try to post bigger pictures.
Member:
juliem

Posted on Tuesday, Aug 19, 2008 - 11:15 pm:

I think Dr. O must be waiting to see bigger images. He usually responds so quickly. He may have missed this post when he was traveling.
Member:
inuktik

Posted on Wednesday, Aug 20, 2008 - 11:57 am:

Hi Julie,

I am still working on trying to size these pictures so I can post them. The latest news is that the owner consulted Dr. Rantanen (she sent the CD of radiographs to him) who has indicated that there is an avulsion fracture of the right stifle where the cruciate hooks onto the tibia. In the absence of overt signs of lameness and effusion and heat, he is not recommending surgery at this time, as the injury may never bother the horse. He feels that this injury happened when she was quite young. The owner is willing to decrease the purchase price by 1500 in case surgery is required down the road. My concern with waiting for some overt signs of lameness, is what damage will be caused for lameness to show and will this damage be repairable?? Anyhow, sorry for my ramble. I am trying to look at this whole process as a learning experience which is why I will be working on trying to post better pictures today for Dr. O to look at and comment on. Hope everyone is having a good day!!
Shelly
Member:
inuktik

Posted on Wednesday, Aug 20, 2008 - 10:35 pm:

Right stifle
Member:
inuktik

Posted on Wednesday, Aug 20, 2008 - 10:58 pm:

Member:
inuktik

Posted on Wednesday, Aug 20, 2008 - 11:11 pm:

Member:
inuktik

Posted on Wednesday, Aug 20, 2008 - 11:13 pm:

Member:
inuktik

Posted on Wednesday, Aug 20, 2008 - 11:16 pm:

Member:
inuktik

Posted on Wednesday, Aug 20, 2008 - 11:22 pm:

As there were some left hock abnormalities noted, I am now posting her hock pictures.
Member:
inuktik

Posted on Wednesday, Aug 20, 2008 - 11:25 pm:

Member:
inuktik

Posted on Wednesday, Aug 20, 2008 - 11:26 pm:

Member:
inuktik

Posted on Wednesday, Aug 20, 2008 - 11:30 pm:

Member:
inuktik

Posted on Wednesday, Aug 20, 2008 - 11:33 pm:

Member:
inuktik

Posted on Wednesday, Aug 20, 2008 - 11:41 pm:

Moderator:
DrO

Posted on Thursday, Aug 21, 2008 - 8:04 am:

Hello Inuktuk,
We are traveling like now and I will review the newly posted radiographs when we return this Monday. In the meantime Dr Ranatanen (sp?) should be considered an authoritative voice on radiographic interpretation.
DrO
Member:
inuktik

Posted on Thursday, Aug 21, 2008 - 6:03 pm:

Thanks Dr. O!! I really appreciate your taking a look at this. I do have Dr. Rantanen's report which is as follows:
Interpretation:
The most proximal portion of the right medial tibial spine was separated by an irregular fracture line. The fragment was still close to its anatomic position.

There was no soft tissue swelling or secondary joint disease present at this time.

Comment:
With the absence of clinical signs of lameness, normal flexion and no soft tissue swelling at this time, this fracture most likely occurred at a young age. It may be an incidental finding in this horse. Success in training would confirm that this fracture most likely occurred at a young age and may be tolerated without surgical intervention.

Again, my main concern is by the time there are clinical signs of lameness, or effusion or heat, what might be the damage that has caused this and could this damage be irreparable?? Might it not be better to remove the fragment before this damage is caused or is it better to leave it alone? I have been trying to find articles on this online without much success. If anyone comes across some information, please let me know. Many thanks!!
Shelly
Member:
rtrotter

Posted on Friday, Aug 22, 2008 - 3:19 pm:

Shelly,

I have a similar case with my two year old pacing colt. Back in February, before the serious stake payments were due, I had a series of pre-sale xrays taken just to make sure everything was ok. Usually, pre-sale xrays for race horses, do not include rear ankles, just hocks, knees and stifles. I thought his rear ankles looked suspicious so I had the vet xray those instead of his stifles. What he found was a very small bone fragment that looked like it came from the back of his pastern. He sent the xrays to Dr. Patricia Hogan ( of Smarty Jones fame), who said (and my vet concurred) that this had happened as a very young horse, most likely as a weanling and that operating to take the small piece out would more than likely cause more damage to the suspensory ligament than just leaving it alone. I opted to go with 3 sessions of Corporal Shock Wave therapy ( the jury is still out on whether this worked, instead of just leaving it alone and doing nothing)but it's been almost 7 months and the horse has been sound and is currently training well. I do have him on OCD pellets (the original) which I think work extremely well for bone and joint issues.

Sometimes, we want to do more than is actually necessary for the well-being of our horses and the hardest thing to do is to just leave them alone. As my vet said, just knowing that it could become an issue makes us all the more aware and we should take what steps we can to prevent any further damage( Thus my giving him the OCD pellets). Of course, this colt is a homebred, not something I bought or was thinking of selling, so I have to deal with his problems as they come up. IMO sometimes, we tend to read more into xrays and other diagnostic tools and I guarantee that we would find something wrong in just about every set taken. But, most of the time whatever is seen was not bothering the horse and chances are will not bother the horse in the future. If you trust your vets opinion, and they say leave it alone, then leave it alone.

Also the report (1st post) although they are saying that there are fragments, they are also saying that all appear to be normal. Young horses are wonderful. They have a knack of healing themselves if given the right care and enough time.

Good Luck with your horse.
Rachelle ( my nickname is Shelly)
Member:
kriseyc

Posted on Friday, Aug 22, 2008 - 9:11 pm:

Hi Rachelle,

what exactly are OCD pellets?
Thanks!
IKE
Member:
inuktik

Posted on Friday, Aug 22, 2008 - 10:46 pm:

Thanks Rachelle for sharing your story, it is really appreciated and also helps with providing another, and quite valid, perspective to consider. Do the OCD pellets you are feeding have a brand name? I think the filly's current owner has her on some supplements, but I would love to know the name of what you are using and talk with her about it. Again, thanks for your post!!
Shelly
Member:
rtrotter

Posted on Saturday, Aug 23, 2008 - 7:30 am:

Shelly,

OCD Pellets is the brand name ( it stands for Optimal Cartilage Development). Here is the website www.ocdpellets.com.

You can read all about it on their web page. and then make the decision to use it or not.

I just started this on a 10-year old trotter that was given a very poor prognosis to get back to the races. There were only a few options,euthanize him, make him a pasture ornament ( which he has been for about two years) or a $5000 operation that was not guaranteed to work. Xrays showed his stifle joint with a lot of arthritis and where the socket should be round it was actually square. I'd be happy if he was just a bit more comfortable. I do not know if this horse will ever race again but just to see him walk around his paddock sound would be fine. Anything extra would be a bonus.

Rachelle
Member:
inuktik

Posted on Sunday, Aug 24, 2008 - 6:05 pm:

Hi Rachelle,

Thank you for this information. I certainly will be checking that site out. I really hope that this works for your fella, so sending some good karmic thoughts your way!!

I likely will be away from the computer for a few days as I am having sinus surgery this coming Monday, after being on the waitlist for 6 months. I know that likely the first words out of my mouth will be to ask my hubbie what Dr. O had to say about the x-rays!! Hope everyone is doing well and that those of you living where the weather is storming, that you are all safe and doing okay!! All the best,
Shelly
Moderator:
DrO

Posted on Thursday, Aug 28, 2008 - 10:37 am:

Hello Inuktik,
I agree that the tibial spine fracture is a real cause for concern and would consider this represents a significant risk of future soundness problems. By leaving this in place osteoarthritis becomes a risk and if it occurs the chance surgery will be curative is less.

I cannot find any large studies of this problem and so don't know what the risk is. Here is a description of a single case that had a good outcome. This case however was probably traumatic which would not have as good a prognosis as your case. Note that the emminence is synonymis with the spine.

J Am Vet Med Assoc. 1994 Jun 1;204(11):1793-5.
Arthroscopic removal of a fragment from an intercondylar eminence fracture of the tibia in a two-year-old horse.
Mueller PO, Allen D, Watson E, Hay C.
Department of Large Animal Medicine and Surgery, College of Veterinary Medicine, University of Georgia, Athens 30602.

A 2-year-old Standardbred colt was admitted because of lameness of the left hind limb. Physical examination revealed marked effusion of the left femoropatellar and femorotibial joints and grade IV/V lameness of the left hind limb. Radiography of the left stifle revealed a complete fracture of the medial tubercle of the intercondylar eminence of the tibia. Arthroscopy was used to provide diagnostic, therapeutic, and prognostic information. A cranial approach to the medial compartment of the femorotibial joint was performed. Manipulation of the medial tubercle revealed it to be unstable, but a direct view of the fracture was obscured by the cranial cruciate ligament. The fracture fragment was removed, and visual inspection revealed approximately half of the cranial cruciate ligament at its insertion on the intercondylar eminence to be compromised. Fourteen months after surgery, the horse had trained and had raced without lameness. Accurate evaluation of the intra-articular soft-tissue structures of the stifle is important because ligamentous and/or meniscal injuries often are the limiting factors in determining the potential for a successful outcome and future athletic performance.


DrO
Member:
inuktik

Posted on Friday, Aug 29, 2008 - 9:52 pm:

Thanks Dr. O for responding. So I am thinking that a possible recommedation would be for the fragment to be removed and see what the resulting outcomes would be. Once the fragment was out with little to no cartilage damage, then that would to be more hopeful. Thank you so much for looking at this and for providing an artcle read. I was knock off my keiseter for abit with sinus surgey and am atill a bit loopy, ps excuse the typos!! Thanks,Shelly
Member:
inuktik

Posted on Thursday, Sep 4, 2008 - 8:30 pm:

Hi everyone,

I am fairly sure this topic may be getting old, as I am certainly finding it to be!! I just wanted to update people and let them know that I spoke with a surgeon today who is now saying that he is seeing a "medial interchondylar eminence fracture, in the centre of the joint, where the cranial cruciate attaches in front of it." He is giving the horse a moderate risk for future lameness. Is estimating surgery is 2500 with 4 to 6 months intensive rehab care, at additional cost. So, we are walking and running away and putting it down to a good lesson learned about getting a PPE. I have been in touch with several other people about other prospects, some younger and others in the 2 to 3 year old range that I would love to run by you wonderful folks, if that would be okay. I hope that where ever you are that you are safe and sound from these blasted storms that keeping popping up. Again, thanks everyone & if you would like to keep update on y finding my horse saga, then let me know OR let me know if you have a horse that you know that someone is selling. Take care!!
Shelly
Member:
paardex

Posted on Friday, Sep 5, 2008 - 6:18 am:

Smart decision in my opinion!
Keep the prospects coming Shelly!
Jos
Member:
paardex

Posted on Friday, Sep 5, 2008 - 7:24 am:

Why don't you start a new thread? Perhaps one of the young Irish horses Diane found would do for you they seemed very nice and not expensive[good if you have to bring them to Canada I suppose] or look into the Connemara's Stacy has a lovely one just for eventing she got I think from Trakehners to this Connemara and will be able to tell you why.
Jos
Member:
dres

Posted on Friday, Sep 5, 2008 - 10:01 am:

Shelly, what exactly are you looking for and for what kind of riding.. ???

On the first day God created horses, on the second day he painted them with spots..
Member:
erika

Posted on Friday, Sep 5, 2008 - 11:42 am:

Well, Shelly, it was a long time in coming wasn't it, but you should be commended for your in-depth search for the possibilities for this horse. Sorry it didn't work out this time. You certainly gave it every chance.
Hope you find your dream horse real soon.
Erika

On the first day God created horses, on the second day he gave them all odd little things on their x-rays...
Member:
inuktik

Posted on Friday, Sep 5, 2008 - 7:04 pm:

So good to hear from you guys!!! Jos, what section would you recommend that I start a new thread under? Ann, I would really like to get back into eventing after about a 20 year absence. I was thinking warmblood in case I could not get back fully into eventing form and would pursue lower level dressage or showjumping. Thanks Erika for the wishes and thanks to YOU ALL WONDERFUL people here for listening, reading, and being so supportive and helpful!! Jos, I must admit that I have been thinking about you alot these past few days as there is a 5 month old by the Hanoverian Rafaello and TB mare Sassafaction. I know nothing about this stallion. The filly can be seen at www.farpointfarms.ca and youtube at https://www.youtube.com/user/farpointfarms. Price on her has been recently reduced, but again she is out of our province and quite the drive away. Any information you have on this stallion would be really appreciated!!! There is a 1 year old gelding about 3 hours away with Gervantus 11 and Cheops Z in his lineage - pic can be seen here -https://www3.telus.net/public/jenkevv/index.htm (Heston) Again, hope you all are doing well. Oops, I forgot to say Jos that I will be revisiting the Dianna's thread on RIDs, as love that breed too. Sincerely, Shelly
Member:
dres

Posted on Friday, Sep 5, 2008 - 7:24 pm:

Shelly, email me , my email is in my profile..
Lovely looking filly..

On the first day God created horses, on the second day he painted them with spots..
Member:
paardex

Posted on Saturday, Sep 6, 2008 - 4:45 am:

The filly looks lovely seems excellent bred, cross with this stallion and a TB mare must do for you very well. Price seems really nice to to European standards ofcourse.
Raphaelo 's father is cross Ramiro with a bit of Trakehners all very well known lines his father has done well enough in Europe I think almost more in Dressage as showjumping but am not sure.
Motherline is Hanoverian with good enough father lines but real Hanoverian [a little bit heavier then the Holsteiners in general] All good characters both sides and no well known veterinarian problems to my [limited ] knowledge.
Seems like a deal to me apart from the fact it is only a filly.
The Irish horses were I think about the same price and 2,5 years?
Have to look up the gelding, but perhaps Ann already has a better idea.
A foal is very young and risky!
Jos
Member:
inuktik

Posted on Saturday, Sep 6, 2008 - 5:59 am:

Thank you for your always kind and wise words Jos, greatly appreciated!! There are also 2 year olds at https://www.highvalleyhanoverians.net/ (Destria and Rubina) that we have been looking at, so they are abit older, BUT even farther away from us. Anyhow, I should not be up at such a crazy time, but my surgery has knocked me for a loop and so am not sleeping too well, so am now off to email Ann :-)Again, all the best and looking forward to what you have to say. Going to the RID thread is still on my list!! Sincerely, Shelly
Member:
paardex

Posted on Saturday, Sep 6, 2008 - 7:43 am:

I've got one [extremely stupid don't eat me rest of HA] suggestion.
As there seem to be loads of OTT TB in the US I assume you must be able to acquire a nice one not to expensive to. Buy a mare, this quality Warmbloods you could breed yourself to and in the meantime you have a horse to get yourself started on,This idea popped up because you even consider foals so it perhaps could fit in your timetable and you mentioned your husband'getting attached to horsenoses' if you choose well he would have something to nose with to.
Jos
PS I know I am mad but my first broodmare was a TB and she gave 8 children all of which jumped 1.40m or higher evented for a short while herself and after that I used her as my riding horse in between foals[mostly dressage] She still is one of my favourites!
PPS Buying an older young horse stays the smartest choice but consider all options and see where you end up!
Member:
paardex

Posted on Saturday, Sep 6, 2008 - 8:03 am:

The two year old doesn't appeal very much to me Gervantus family exists of heavy showjumpers who really need an impeccable mare[front legs] Crack I can't find anymore but if it is the Crack who stayed in my memory he could give characterflaws and big heavy horses to[but I cannot be sure because he is nowhere mentioned and your information didn't give his father]
Jos
PS Loved the origins of the 'coming up' filly with the Calvados Damiro sire it mentioned :price ask information is that good or bad?
Member:
lilo

Posted on Saturday, Sep 6, 2008 - 10:25 am:

Hi Shelly,

I have been looking at a lot of warm blood crosses because a good friend of mine is looking for a hunter prospect for her daughter.
She told me about the link below.
Unfortunately, the only Rafaello that showed up was not a Hanoverian, but a Holsteiner - although it said there were more than one horse by that name in the database. The mare showed up, with her 5 generation pedigree. I guess I would go to the Hanoverian website to try and find out more about the stallion.
Lilo

https://www.allbreedpedigree.com/
Member:
inuktik

Posted on Sunday, Sep 7, 2008 - 6:18 pm:

Thanks so much for that information Lilo. The owner of Rochelle (cringe with that name)actaully said that she has passed her Oldenburg inspection with 8's in BC, which completely confused me as her sire Rafaello is shown as being Hanoverian. I am thinking the only way that she could have gone Oldenburg was if the mare had passed inspection for that mare registry - but she is pure TB. Jos, I love your idea of an OTTB and have been keeping my eyes pealed here, but it seems like we do not have the wonderful organization like the US does with Canter, so essentially it is by word of mouth with trainers and they get snapped up so quickly - but SUPER idea and thank you!! I am wondering about the Calvados Damiro filly you mentioned?? Which site was she on please. Rubina, from Highvalley Hanoverians, is 15k and I am waiting to hear about the pricing on Destria. Again, thank you so much for sharing your knowledge about pedigrees and thanks to everyone for all your help and support!! Hope this message finds that you all are well and safe :-)
Shelly
Member:
paardex

Posted on Monday, Sep 8, 2008 - 3:01 am:

The Calvados filly was on the same site as the Gervantus.
The Oldenburg or not is not really a mystery, Oldenburg [as is Westfalen] are fairly 'young and open' studbooks. Often a mix of Hanoverian and Holstein blood. Trakehner is closed,Holstein and Hannover to in the sense they have apossiblity to accept mares[with mentioning pedigree] oh and studs ofcourse if approved but they cannot for some generations get the 'full' qualifications and benefits.
Today they all start to mix and you should look at the pedigree to find the family and know what kind of horses they come from.
Shelly I bet if you post something like'Looking for OTTB there will be members who can help you, there is a member whose husband transports horses so even getting to you must be possible.
I guess Members- Lounge- general interest questions would be a place to post?
Jos
Member:
inuktik

Posted on Monday, Sep 8, 2008 - 11:44 am:

Hi Jos,
I found the Calvados filly and have emailed asking for some pictures and price. I have taken the next step in my search and have found a farm about 1.5 hrs away from us and have made an appointment to go there tomorrow morning. Apparently he has quite a few 3 yr olds. I am posting a link to their site as would love your input, or else I can wait if I have ended up finding a specific horse. I plan on taking a camera and gettting pictures, with his permission. https://www.wachterhorses.com/home. He has alot of horses on the site with no pics, but pedigrees are given. Thank you for your suggestion about posting in that area about OTTB, though this has brought about another debate with my husband about "my age" and "being on a calm horse." I have tried to explain that I have had TBs, that I raised, that were perfectly calm and sensible, but somehow that "man gene" (sorry to sound sexist, and I do mean this in the nicest way possible)kicks in and it will take him a few days to consider what I am saying and then he will say it back to me like it was his idea to begin with!! All the best,
Shelly
Member:
paardex

Posted on Monday, Sep 8, 2008 - 2:23 pm:

Hi Shelly looked at the site and on the for salefuture prospects a few things caught my eye. Remember: just my opinion and based on just pedigree! Don't want to offend anybody.
Loyalstar: pedigree would make impeccable vetting and xrays important.
WH Velocity seems to have a motherline with loads of blood you will need that when eventing
WH Desiree Nice looking good pedigree father from a 'heavy' dressage family eventing prospekt??
WH Cira nice pedigree again loads of blood good for eventing.
It strikes me you are looking at real big ,warmblood lines, normally they would end up being enormous horses, is that really what you want? Don't forget these German lines are late horses not adult and fully grown until 7 or 8 years of age often. They get much bigger and heavier then you might expect. Please keep that in mind. The horse in my profile Cascade for instance['modern light' Holsteiner] measured 1.60m at 2,5 years of age and now at 8 measures 1.71m!
Oh and I won't tell your husband my only real dependable mount was an old TB mare and my Holsteiners are notoriously difficult! You would end up with a shetlandpony if he heard the stories
Jos
Member:
inuktik

Posted on Monday, Sep 8, 2008 - 11:41 pm:

LOL, I just might be getting that pony yet Thanks again for your input Jos!! I guess I really need to evaluate this drive in me to be looking at warmbloods :-)especially with their late maturing. I also tend to get caught up in their looks, rather than being practical and keeping in mind their potential size!! I have been corresponding with a lady in N. Georgia about this 2 year old https://www.highvalleyhanoverians.net/Rubina.htm who is priced at 15k. She has also offered to keep her for the following year, at their cost, and continue with her training. My husband is thinking that there is something suspicious with this offer ("people just cant be that nice"), as well as the Rochelle 5 mos old in BC, as "there must be something wrong with her for that price" -insert a loud ARRRGHHH here - BUT now I have thrown him for a loop as I am starting to talk about RIDsand he is going on about never hearing about this breed before so he is mumbling about having to do some more research. I can't remember if I have told you, but your Holsteiners are beautiful!! Again, appreciate the help. Take care, Shelly
Member:
paardex

Posted on Tuesday, Sep 9, 2008 - 3:24 am:

Tell your husband I offered the gelding in my profile for free to another member and we only didn't go through with it because flying him up an down from Normandie to Colorado [down again in case it didn't work out] seemed unfair to the horse.
There are loads of people who will let you have a good deal for a good home for their darling. The market is very weak in horses so keep calm and describe as well as possible what you want to end up with, put a mail at HA and you will get a load of suggestions and even help with looking!
I just mentioned my wondering about your choice because really it is not true professional warmbloods[and that's what you are looking at] are easier to handle then TB's. It depends on the lines.
I think Rubina looks nice no problems with pedigree quite balance out with price good deal if she can stay[I often do the same] Vet bill and x rays as always need to be totally clean for this price.
Remember this is a showjumper dressage horse not a grain of eventing in her!
The RID's Leslie is looking at go at a price of I think about 4000 dollar, and I think there was a hunter offered [funny Percheron/TB cross] completely trained in the same link and he alreadyhunted.
Jos
PS Thanks for the compliment but my Holsteiners are the result of 30 years of breeding and I am NOT able to ride them!! To dangerousTell that to your husband! Don't know the RID's myself but each time I moan about my horses antics our Irish member Imogen invites me over 'to have a calm relaxing hunt' on an Irish horse so I gathered...
Member:
leslie1

Posted on Tuesday, Sep 9, 2008 - 4:58 pm:

Are you looking for something already broke or a baby?
I know where you can get an RIDSH/ Hanoverian cross.
but he is around weanling age. super nice though. It think hes around 8G.
He is going to be a tall bay Irish sport horse colt by the Hanoverian stallion Windsor by Wendland (Wendekreis/Goetz). Winchester's dam is a fully approved Irish sport horse mare who is out of a premium RID mare Ballyard Katie (dam to KEC Double Diamond). Her sire is the grand prix Dutch show jumper Maltstriker who stood in Ireland. The colt is very well bred descending from many top Olympian horses including Isabel Worth's horse Gigolo, Jumper Wotan, For Pleasure, Warwick Rex, Marco Polo, Abgar

If you want something already started : There is a 16.3 gelding jumping 3'3 and doing novice level eventing in BC. He is pricey at 19,5. But in this market you might get him for a much, much better deal. AND he is already in Canada. PH# 250-748-2294...I think he was 7 or 8.

There is a huge RIDSH --17'3 gelding that is around 11 years old..going for 5 grand. Fieldhunter/dressage training. phone number 618-667-1960
He is in Illinois.

Leslie
Member:
leslie1

Posted on Tuesday, Sep 9, 2008 - 5:09 pm:

OOOO
What about this RIDSH 4 year old??? She is in AB and only 15K. you wouldnt have to wait for her to grow up to start showing
Member:
dres

Posted on Tuesday, Sep 9, 2008 - 5:30 pm:

OOOnow ya talking I like the above mare? Confirmation shot?

On the first day God created horses, on the second day he painted them with spots..
Member:
inuktik

Posted on Tuesday, Sep 9, 2008 - 8:56 pm:

YOWSA, absolutely lovely!!! Thanks so much Leslie for finding these. Can you please point me in the direction of the site(s) you found them on??? Thank you for providing those phone numbers. I really think I need to be looking at these RIDSH. Once again you guys are so helpful and rock!!! Jos, I am really trying to encourage my husband to be reading these posts, but now he is talking about wanting to think about pursuing learning to ride english himself (keep in mind he has may be been on a horse 4 times in his 46 yrs, in western saddle) and wants a warmblood for himself AND is even talking about his color choices (likes greys and bays)- double yikes!!!
Shelly
Member:
leslie1

Posted on Tuesday, Sep 9, 2008 - 9:56 pm:

www.dreamhorse.com
www.dkhirishdraughtsporthorses.ca
www.ontariobreedersproductionsale.com
www.westglenfarm.net


:-)
L
Member:
paardex

Posted on Wednesday, Sep 10, 2008 - 5:51 am:

Certainly for your husband I bet an Irish horse would be a good choice instead of something solely bred for showjumping! And a lot of greys I think and the bays Leslie already showed!
Keep pushing and you will get there!
Jos
PS As soon as I understand my scanner I will show you a pic of'Musky the husky' he must appeal to you with your dogs he had a lot of white and real blue eyes! When your husband sees that pic....[Oh Musky was a foal!]
Member:
leslie1

Posted on Wednesday, Sep 10, 2008 - 9:04 am:

www.ridleighsporthorses.com has some SH foals by Kilpec Diamond knight
Member:
erika

Posted on Wednesday, Sep 10, 2008 - 9:13 am:

I personally knew several, and owned one horse from Shady Maple farm (on the Ontario Breeders Site above) and each had perfect temperaments. Mine was a Hackney/Clyde cross and a magnificent driving horse and field hunter. Some of the Clyde/TBs look really nice for eventing!
They used to deliver to the US for free because they had lots of repeat customers here and they were always bringing something around. Nice horses.
Member:
leslie1

Posted on Wednesday, Sep 10, 2008 - 10:09 am:

very nice 3 year old Oldenburg. scored highest at his inspection.
AND recieved a 69.5% showing Introductory to Dressage at his first dressage show. $8500.
Member:
leslie1

Posted on Wednesday, Sep 10, 2008 - 10:12 am:

Im going to start a new thread called The Pretties
\:-)
Member:
36541

Posted on Wednesday, Sep 10, 2008 - 2:31 pm:

to be read by those of us you may call "the DrOolers"...
Happy horse shopping Shelley!
Member:
maggienm

Posted on Wednesday, Sep 10, 2008 - 6:04 pm:

Have you looked at Smokey River Sport Horses?
Member:
inuktik

Posted on Thursday, Sep 11, 2008 - 12:40 am:

You guys are so good!!! Starting a new thread is a super idea Leslie. THANKS so much for all of these sites. I want to apologize for being tardy in responding and I am behind in checking sites as I had some extensive sinus surgery on Aug 25th and am still recovering. I was finally fortunate to have a young ENT surgeon come to Calgary who was trained in endoscopic computer assisted sinus surgery so he could do the work I needed to have done, after seeing ENTs since the 80s who wouldn't operate till I could be completely off Dristan. John and I went out to Wachter horses this past Tuesday and I was walking in the wind and rain through pastures and on my feet for a good 3 to 4 hours - doc was not happy when he saw me today - so not to make excuses, but I am being relegated to "bed rest" for next few days - and just wanted to let you guys know that I so appreciate all the help and information and will try to sneak some computer time to check in, but did want to explain in case that doesn't happen and you don't see any posts from me. Yeesh, talk about rambling and run on sentences!! Please know that I have engaged in a "warmblood karmic cleansing ritual" and my internet browsing mantra is now "must check off irish sport horse only boxes" under breed when searching!! Again, I really appreciate all the help as I have been periodically feeling deflated and abit defeated after the filly, but you guys are so great!!! I hope you post pic of Musky under "the pretties" Jos when able to. All the best everyone,
Shelly
Member:
paardex

Posted on Thursday, Sep 11, 2008 - 4:05 am:

Take care of yourself Shelly and you might have noticed you are a pleasure for us to as you amuse us without buying additional horses ourselves[I do not need another horse, I do not....]
Jos
Home Page | Top of Page | Join Us!
Horseadvice.com
is The Horseman's Advisor
Helping Thousands of Equestrians, Farriers, and Veterinarians Every Day
All rights reserved, © 1997 -
Horseadvice.com is a BBB Accredited Business. Click for the BBB Business Review of this Horse Training in Stokesdale NC