Horseadvice.com

Site Menu:

Horseadvice.com

Join Us!

Horse Care

Equine Diseases

Training and Behavior

Reproduction

Medications

Reference Material

This is an archived Horseadvice.com Discussion. The parent article and menus are available on the navigation menu below:
HorseAdvice.com » Diseases of Horses » Lameness » Joint, Bone, Ligament Diseases » Diseases of joints, bones, and ligamens not covered above »
  Discussion on X-ray evaluation
Author Message
Member:
dzaccheo

Posted on Thursday, Aug 28, 2008 - 3:50 pm:

Hello,
I have just had to have my 10 year old stallions hocks injected. He has poor conformation behind, bowed hocks. X-rays were done on one hock, and previously x-rays were done on a front foot to determine a sudden onset lameness (turned out to be gravel, an abscess that exited at the coronary).

This x-rays showed that my horse has significant joint issues in all joints that were shown on x-ray. The vet said he thinks it is a genetic/congenital problem.

Can you please tell me what you see on the x-rays and what it could stem from. Also the best course of treatment and prognosis.

Hopefully I will be able to upload the x-rays.

Thank you!!!






Member:
wgillmor

Posted on Thursday, Aug 28, 2008 - 10:20 pm:

Danita,
It's not my place to say it and if you want to, either ignore this or tell me to mind my own business, but:

"He has poor conformation behind, bowed hocks."

"This x-rays showed that my horse has significant joint issues in all joints that were shown on x-ray. The vet said he thinks it is a genetic/congenital problem."

Why is he still a stallion?

Wiley
Member:
mrose

Posted on Thursday, Aug 28, 2008 - 11:25 pm:

Danita, you'll have to wait on Dr.O's comments regarding the x-rays, but having just been through some issues with one of our older stallions, I'm curious. Is you stallion being used in performance classes, jumping, or getting other heavy work? Did the vet comment at all regarding the balance of his feet? How long since he was trimmed when the foot x-rays were taken? I'm asking because he appears to be somewhat out of balance from what I can tell. Our stallion, age 18, was developing problems with his hocks and pasterns and feet and we thought for sure he was getting arthritic. To make a long story shorter, our trainer had lost her previous farrier, and had a difficult time finding a replacement. She found one that seemed to be doing a good job, but wasn't. Over the course of a year the horse had become so out of balance it was really affecting his joints. I know you said your vet thought this was a genetic problem, but I'm wondering if the feet are playing a part in this.

Good luck with him!

Good job on posting the x-rays! Did you scan them then have to reverse the image?
Member:
dzaccheo

Posted on Friday, Aug 29, 2008 - 1:57 am:

The horse was bought as a stallion at 8 years old and is well behaved. He is a friesian and is not used for breeding and as far as I know has never been used. Here in Europe it seems more common to keep stallions intact as long as they are well behaved, perhaps because they are more showy.

He is a retired circus horse that I am sure was retired due to these problems. He was bought without x-rays and has turned out that I was cheated, however he is a great horse and I love him very much and wouldn't trade him for the world!

He is used very lightly now, basically just to move him at a walk to keep him limber for his arthritis with a public show at horse expos 2 or 3 times a year. The performance lasts under four minutes and he has to canter, do passage and spanish walk.

The vet looked at his feet too. Don't know if he is out of balance or how you balance a horse with his conformational defects. As I said he is bow hocked, and in front toes out.

Thank you everyone for any input.

He loves to perform for an audience
Member:
dzaccheo

Posted on Friday, Aug 29, 2008 - 1:58 am:

Oh, I forgot to say that the x-rays are digital and on a CD so it was easy to post them.
Moderator:
DrO

Posted on Friday, Aug 29, 2008 - 9:11 am:

Hello Danitia,
Do to limitations of the image quality of this medium, time required to do a thorough review of radiographs, and the importance of correlating clinical signs with radiographic findings I avoid doing radiographic interpretations from scratch. It is always important to remember you do not treat radiographs, you treat lameness.

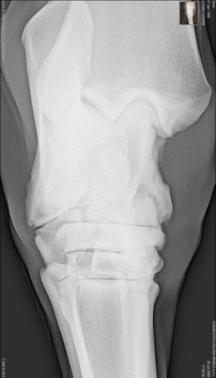
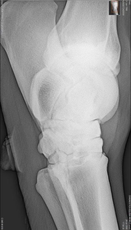
Briefly the radiographs show wear and tear changes common in many older working horses: osteophytes (bone spurs), calcification on the anterior of the pastern, partial calcification of the collateral cartilages. I do not see any definitive congenital defects. The talus of the hock has some odd irregularity but I don't review many digital radiographs and this could be a range of normal for it.

Could you describe exactly what your veterinarian said was abnormal about the hocks and how does this correlate with lameness problems?
DrO
Member:
dzaccheo

Posted on Friday, Aug 29, 2008 - 10:08 am:

Hello,
The vet said he is showing severe arthritic changes in all of the hock joints, even the upper one where injections will not reach and fusion will not help. The right hock he goes lame on, the vet described it as slightly lame, had swelling like bog spavin before the injections and now there is almost no swelling. Before the injections he tripped alot in the front and did not extend well. He does not trip at all now, and when he his warmed up, moves fantastic.

In the front legs, there has only been lameness the one time for which the x-rays were taken to rule out serious problems although the vet felt it was an abcess. He was EXTREMELY lame on the left front and sure enough and abscess exited from the coronary within the week.

However, from these x-rays on the front pasternare and hoof, the vet said there was arthritis in all the joints severely, even in the foot and navicular bone. he said the pastern bones were formed strangely and due to this and this and there being such prolific arthritis he felt he may have been born with the problem. He also said the horse should only be used for walking. The horse is not at all lame now and he is on corta-flx with additional hyaluronic acid.

As I mentioned, after the hock injections he moves beautifully in front as well now.

He is stiff when he first starts moving but works out of it nicely.

I realize it is hard to say much without seeing the horse, but any input you can give is helpful.

Thank you
Member:
mrose

Posted on Friday, Aug 29, 2008 - 10:24 am:

Our older stallion, who is still showing, gets injections in his hocks every 3 mos. plus IV Legend. It has really helped him a lot. He didn't have such severe problems as your boy, but was begining to have some arthritic changes as well as the problems from being so out of balance. Maybe this combination would help your guy. All our performance horses are on oral joint supplements also, which I feel helps.

Didn't you post about your horse before? His story sounds familair. I'm sure he's a beautiful guy.

As to the stallion thing, in this country at least, way too many people breed inferior quality horses. And, there seems to be a "thing" with some people about having a stallion....it makes the owner more "macho" or something, so there are a lot of inferior stallions who are breeding. Many stallions are ill behaved due to the type of treatment they receive and lack of socialization, so stallions in general have a bad reputation in some circles. IMO if I weren't breeding I'd not have a horse that was a stallion just because I'd worry about the stallion getting out and breeding either my mares or someone else's, and because I'd like to be able to turn all the horses out together. If you only have one horse and don't need to worry about him getting out, and he's well behaved with no handling problems, I don't think it matters if he's kept a stallion or a gelding.
Member:
dzaccheo

Posted on Friday, Aug 29, 2008 - 3:23 pm:

Yes, I did write about hime before, he is the horse that will not lay down to sleep, roll or for any motivation.

As to the severity of my horses problems, I am not sure for this I am interested in seeing what Dr. O thinks. He definately has a right hock issue as he has been lame on it and there is chronic enlargement which after the injection is bearly noticeable. Now, some days he goes very good and others he is stiff and resistant.

Also I forgot to mention that the synovial fluid the vet drew from the hock was too yellow but of good consistancy he said.

I have only lived in Italy six years but I have noticed that people that work with horses in high school (Alta Scuela)want only stallions, examples being the Spanish Riding School of Vienna and The Spanish Riding School of Jerez Spain. Stallions have a way of moving and pride that geldings and mares do not have. They just kind of puff up and go on display on their own in public exhibtions. As my stallion is extremely well behaved and very tranquil, I would never consider gelding him unless there was a medical reason to do so. On the other hand, I would also never consider breeding him as I can clearly see he is not of breeding quality as far as his conformation. Anyway, he is the only stallion I have ever owned so I do not have much experience with them.

I am sure it has been discussed before, but how often is it safe to repeat the hock injections?
Thanks
New Member:
kfc330

Posted on Friday, Aug 29, 2008 - 5:51 pm:

Hi Danita - I also have a couple of Friesians including one stallion. Leave it to my fellow Americans to think we know everything -- of course your boy is a well-behaved stallion, he is a Friesian and trained in Europe! Folks here do not know that many, many Friesians are not gelded in Holland even if they are not bred due to their excellent temperament. My stallion will also remain a stallion, not because I intend to breed him immediately, but because he is extremely well behaved (trained in Holland) and low-key. I've worked professionally and as an amateur with horses for over 40 years - you sound like you're giving your boy the very best home possible. These Friesians are big, heavy horses... so if they have had a hard-charging life, without the best footing perhaps, they tend to develop bony growths and joint issues which have to be managed via vet. medicine. I know of a 26-year-old Dutch Warmblood who can still perform a good Prix St. George test despite having terrible side bone, a deformed knee, and bad hocks! He does get his hocks injected every 6 months (and has for several years) -- but he looks GREAT and enjoys being ridden and pampered by all the ladies at the barn! He too did not have the best young life, but has come into his own once he was owned by a compassionate, loving person who has carefully managed his career. Perhaps once your boy is more comfortable, he will feel safe to lay down. (He probably was not allowed in his former life.) My two boys think my sand dressage arena was built for them to roll around in! Good luck to you and your boy.
Member:
mrose

Posted on Friday, Aug 29, 2008 - 8:22 pm:

Do you get the magazine "The Horse" over there? If not, it can be accessed on line at www.thehorse.com The last issue has an article on hock and other joint injections you would probably find interesting. I think if you do a search on this site you will also find some information of interest. My horse gets a series of IV injections every 3 months plus the oral supplements and hock injections . He just finished his first course of the IV injections as per our vet's suggestion and I can't remember now how often he will need the hock injections now that he's getting the IVs. I'll have to call our trainer and refresh my poor memory. When he was just getting the hock injections it was every three or four months, kind of on an "as needed" basis.
Moderator:
DrO

Posted on Saturday, Aug 30, 2008 - 8:31 am:

Hello Danita,
Though I would not consider the above radiographic changes as "severe" I guess that is somewhat subjective. I think your clinical case also does not support the "severe" designation. What do we then call the case where the horse can barely get around with arthritis? Anyway...
We give information on hock injections, including frequency, nutraceuticals, and other important information on managing a horse with arthritis at Diseases of Horses » Lameness » Joint, Bone, Ligament Diseases » Arthritis and DJD: An Overview.
DrO
Member:
dzaccheo

Posted on Saturday, Aug 30, 2008 - 9:59 am:

Dr O,
Thank you for your responses. Do you see arthritis in the upper hock joints or the beginning of fusion in the lower part. Also do you see an abnormal formation of the bones in the front leg/foot x-rays.

Also, thank you everyone for you kind words and support!!! It really healps a lot.
Moderator:
DrO

Posted on Tuesday, Sep 2, 2008 - 11:59 am:

It depends on what you mean by arthritis. Do I see any lesions that correlate with painful arthritis 100% of the time? The answer is no. But yes there are osteophytes visible in both the tibiotarsal and proximal intertarsal joints (the upper two). The talus within the tibiotarsal joint also show evidence of bony resorption and production. These are markers for the presences of osteoarthritis.
DrO
Home Page | Top of Page | Join Us!
Horseadvice.com
is The Horseman's Advisor
Helping Thousands of Equestrians, Farriers, and Veterinarians Every Day
All rights reserved, © 1997 -
Horseadvice.com is a BBB Accredited Business. Click for the BBB Business Review of this Horse Training in Stokesdale NC