Horseadvice.com

Site Menu:

Horseadvice.com

Join Us!

Horse Care

Equine Diseases

Training and Behavior

Reproduction

Medications

Reference Material

This is an archived Horseadvice.com Discussion. The parent article and menus are available on the navigation menu below:
HorseAdvice.com » Diseases of Horses » Lameness » The Interpretation of Radiographs »
  Discussion on Bone Chip in Fetlock
Author Message
New Member:
anya

Posted on Friday, Jun 12, 2009 - 1:53 am:

Dear Dr O and Horseadvice members,
I became a horse mummy to an OTTB 4-year old mare 3 months ago. She is not lame, but I always noticed heat coming from her fetlock. I had x-rays done the other day, and they revealed a bone chip in the joint.
Looking at the x-ray, what's the course of treatment you would recommend?

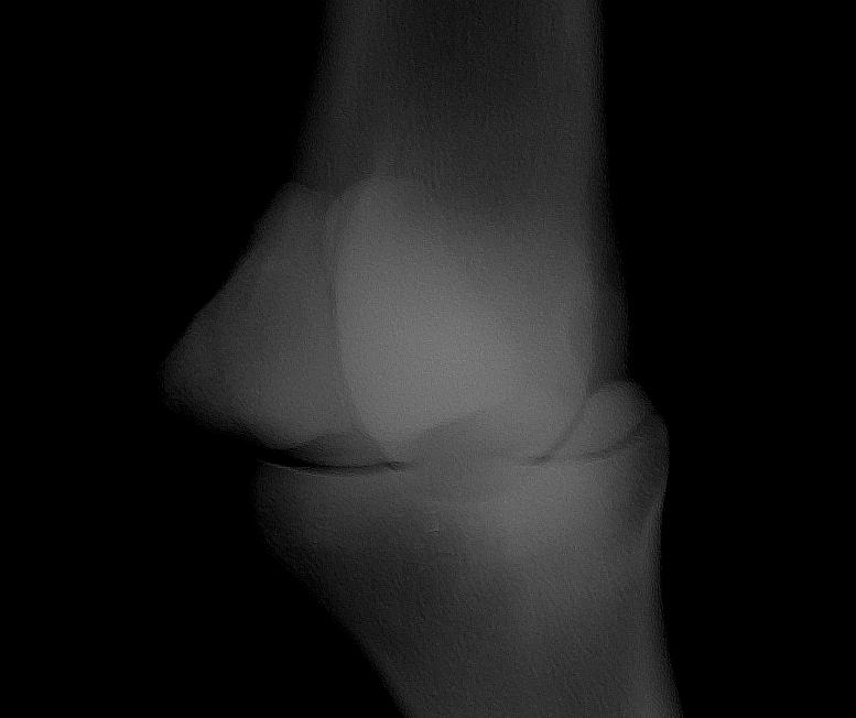
Left Front Fetlock Lateral View
Moderator:
DrO

Posted on Friday, Jun 12, 2009 - 8:01 am:

Welcome Anja,
In general small fetlock chips that are not causing any problem are left alone and those associated with clinical symptoms removed. Your case becomes interesting is how to interpret the heat you feel in the fetlock: is this a sign the chip is causing problems and if so will early removal prevent arthritis? I doubt there are any studies that directly assess this set of circumstances. Is there no swelling whatsoever and does the joint flex sound?

Your best course of action is a clinical decision that must be made from a thorough review of the history, a good clinical exam, and reviewing all the radiographs at there best resolution. Together you and your veterinarian must decide and if you need a second opinion I recommend sending the original radiographs to a equine orthopedic surgeon for his opinion.
DrO
New Member:
anya

Posted on Friday, Jun 12, 2009 - 10:30 am:

Thank you very much for your response. There is no swelling and no problems flexing. However, a few weeks ago, I used TightenUp on it, and that caused the joint to be of normal warmth. Does that mean that the chip was causing a problem?
I looked at her racing history, and it seems that there was a 6-months layup from May to November last year, after an owner change. Could that indicate a problem then? I have asked the previous owners, but to no avail.
I sent the radiographs to an orthopedic surgeon and he said that in young horses he usually recommends removing a chip through surgery.
Moderator:
DrO

Posted on Sunday, Jun 14, 2009 - 5:17 pm:

No, the use and effect of the TightenUp will not have any bearing on the significance of the chip. How did your regular veterinarian fell after his exam and review?
DrO
New Member:
anya

Posted on Monday, Jun 15, 2009 - 12:14 pm:

That was the weird thing: He did not recommend anything. I asked him what to do now, and he said "I can't tell you that.", which left me startled. I then asked him what he would do if it was his horse, and again, he said "Well, you have several options: You can inject adequan, have surgery, or move on to the next horse." Needless to say, that was not very helpful.
So, my veterinarian left me with several options, but did not recommend one.
I touched her fetlocks yesterday, and both front fetlocks were somewhat warm. The hind ones were cold.
I am concerned that if I don't do the surgery, she might have problems later, or even arthritis.
I am also concerned about the risks involving surgery, and subjecting her to these risks unnecessarily.
I am really at a loss. Would it help you if I sent you all the images by e-mail?
New Member:
devitt

Posted on Monday, Jun 15, 2009 - 1:00 pm:

We have a hanoverian mare with a chip in her
fetlock and had it removed immediately. No lameness was present but we wanted to avoid any potential problem in the future. The surgery was quick, three days in hospital, 2 weeks stall rest, 2 weeks hand walking (that was not so pleasant) as the mare is 18 hands, and two weeks small paddock turn out. We have no regrets with he surgery.
Moderator:
DrO

Posted on Monday, Jun 15, 2009 - 7:40 pm:

I don't know if an email will be needed but if you will post them here, let's see if we can get the chip accurately positioned in the other plane and a prognosis with and without surgery.

Thanks for your input christina. Your good experience with surgery of the fetlock is fairly typical. Even horses that do develop lameness from traumatic or OC chips tend to come sound when they are removed. However I believe the large majority of such chips as shown above never cause problems assuming there are no surprises in the other views but once I see the other images I will research this.
DrO
New Member:
anya

Posted on Wednesday, Jun 24, 2009 - 11:39 am:

Thank you Christina and Dr. O. I finally have all the x-rays:
1) LF DLPMO
LF DLPMO
2) LF DMPLO
LF DMPLO
3) LF DP
LF DP
4) LF LAT
LF LAT
Member:
anya

Posted on Wednesday, Jun 24, 2009 - 11:45 am:

My vet actually impressed me by writing me an email and telling me that he thought about the case and that there is no right decision. He says he spoke with a surgeon, and that it is a close call "about the necessity of surgery now vs maybe down the road." He went on to say "Given that she is insured and the low potential of making things
worse instead of better, and the description you gave of her carrying heat in her fetlock periodically, I would lean slightly on the side of doing the surgery now instead of later."

I have to say, I did not notice any heat in the past week. Both front fetlocks were of equal warmth before and after exercise.
Moderator:
DrO

Posted on Wednesday, Jun 24, 2009 - 2:53 pm:

Anya,
There is also a very mild osteophyte beginning on the proximal border of the phalanx in the LF DLPMO which suggests some sort of stress in the joint. It sounds like it is becoming unanimous from your end and considering this radiographic change I would not disagree with them.
DrO
New Member:
devitt

Posted on Wednesday, Jun 24, 2009 - 3:24 pm:

I would go ahead with the surgery. Like I said previously we had no lameness and still did the surgery to avoid potential issues down the road. This mare is very tall at 18 hands and has just been started under saddle (dressage). My feeling was better as a youngster than later as an adult. We had no complications with the surgery and in hindsight are very glad that we made the decision when she was a youngster. I think that if you do the surgery you will have a good peace of mind and not have to worry about that chip causing problems down the road. Good luck with your horse and a happy riding...
Member:
anya

Posted on Wednesday, Jun 24, 2009 - 3:33 pm:

Thank you both. I will go ahead with the surgery then, I am just scared about something going wrong. What is an osteophyte and how could I see that in the x-ray? Does that mean I should stop exercising her to prevent further injury (until the surgery?)?
New Member:
devitt

Posted on Wednesday, Jun 24, 2009 - 4:06 pm:

Hi Anya,
My opinion would be to stop all exercise. The other thing I would say is this - follow all the surgeons after care instructions exactly as written and you should have no problems. We had to put our horse on stall rest for two weeks, followed by two weeks of hand walking and then two weeks small paddock turn out. The bandages were changed daily. Not all horses are good for the stall rest period and the hand walking, depending on the size of the horse can get a little tricky.
This big filly of mine also had OCD surgery on top of the chip removed from her fetlock. Both surgeries were done at different times, (Unfortunately) but she is perfectly sound and is moving wonderfully under saddle. I can sleep at night knowing I did everything to avoid potential OCD issues or chips floating around the fetlock. I am sure your horse will be fine but cannot stress the importance of the aftercare even if your horse gets frustrated on the stall rest portion. Better that than lameness.

Good luck.}
Moderator:
DrO

Posted on Thursday, Jun 25, 2009 - 9:32 am:

I have detailed the small lip on the proximal edge of the phalanx that represents a early osteophtye. It takes a fairly bright screen to see this well.

Small Osteophyte
Member:
anya

Posted on Monday, Jul 6, 2009 - 6:24 pm:

Hello Christina and Dr. O!

A little update on our situation: She had surgery last week, and during it, everything went well. Now out in a very small round pen, very little discharge from the wound. On Friday, the stitches will come out, and I will take her home.

Do you have any advice on wound care?
New Member:
devitt

Posted on Tuesday, Jul 7, 2009 - 9:34 am:

Glad to hear the surgery went well. I can only tell you what I had to do with my mare. Bandage change every second day with 14 days stall rest. We were told not to use any ointments on the wound which you could hardly see just keep the bandages clean and change every second day. She was sent home with all the dressings we would require and antibiotics for 10 days. We never had any infection or problems. After that the hand walking started. Even when she got upset we never turned her out but followed the surgeons instructions.

Take Care
Moderator:
DrO

Posted on Wednesday, Jul 8, 2009 - 6:58 pm:

Hello Anya,
Sorry for the slow response we are traveling this week but as christina says, follow your surgeons instructions in the best advice to give.
DrO
Member:
anya

Posted on Monday, Jul 27, 2009 - 11:12 am:

Hi,
The recovery went well - shots of adequan and legend weekly now for a month, and 30 minutes handwalking twice daily. I was really happy, and the vet said i could start walking her under tack next week.
but yesterday, when we walked around (uneven ground, a trail she knows), she all of a sudden did not put any wait on the injured leg anymore at all. she hobbled along on 3 legs for about 10 steps, and then started putting wait on it again. she was clearly uncomfortable, but willing to go forward. i touched the joint, and it was really warm, and started to swell up where her sutures were. i hosed it down with cold water, and put her back in her stall. i checked on her again late last night, and early this morning, and her joint was clearly warm, but not as hot as before. she could not have had anything in her shoe that caused it, because she wears pads. she was being turned out in a small pen for the past few days to relieve her from her boredom, and because the recovery went so well.
the vet is coming out this morning to check on her, but he says for her to have sprained it, she would have had to travel at a higher speed. what could this be? should we x-ray it again?
New Member:
devitt

Posted on Monday, Jul 27, 2009 - 11:49 am:

Question: Was she on complete stall rest for 10 days? Also, did the vet recommend a bandage change every two days? Did she have antiobotics? I have a horse in my stable who just had hock surgery on the July 23rd, one big chip and fragments removed. Our instructions from the surgeon were 10 days complete stall rest, bandage change every 2nd day, her meds, stitches removed in 11 -14 days followed by 4 weeks hand walking 10 minutes max and then 4 weeks small paddock turnout. Could she have gotten an infection in her leg?
Member:
devitt

Posted on Monday, Jul 27, 2009 - 11:51 am:

Oh Forgot the drugs she is given are Trimethoprim-Sulfa 14 pills twice daily.
Member:
anya

Posted on Monday, Jul 27, 2009 - 12:29 pm:

Thanks Christina!
6/26 Surgery
6/26 - 7/11 at the hospital 14 x 14 paddock,
7/11 - stitches removed, now double stall, since 7/23 turnout during the day in small paddock (16 x 18)

The discharge instructions were to handwalk her 20 minutes daily starting on 7/13. My vet checked her and gave adequan and legend on 7/17. He was happy with the progress, checked with the surgeon and said she should be handwalked twice daily for as long as I have time to walk her. I walked her 20 min in the morning, and 45min at night (grazing, slowly walking). On 7/17, we also took the bandage off, she had a a bandage sore, we treated with anti-inflamm, cold hosing and course of antibiotics, swelling and hotness were gone by 7/22. now i still put on nolvasan. On 7/24, vet came to give adequan and legend again, checked on progress, happy with it, said we could start walking under tack the coming week, and walk about the barn and trails to give her some different things to see.
no medications right now.
Member:
anya

Posted on Monday, Jul 27, 2009 - 2:57 pm:

Update: Vet has just checked on her and said everything looked great. He did notice that she had a bee sting/insect bite on her shoulder (the shoulder of the injured foot).
As we were on the trail when that happened, the vet is thinking that a bee may have stung her and caused her to be irritated for a few strides.

I am so relieved...and so very proud of my baby for being so calm when getting stung by a bee!

and that that may have caused her
Member:
anya

Posted on Monday, Jul 27, 2009 - 2:58 pm:

update2: vet did not notice any swelling in fetlock - so, that was probably the paranoid-horse mummy in me who saw that.
Member:
vickiann

Posted on Monday, Jul 27, 2009 - 10:17 pm:

Hope all continues to progress well, Anya.
Moderator:
DrO

Posted on Tuesday, Jul 28, 2009 - 6:54 am:

Thanks for the update Anya and hope things continue to go well.
DrO
Member:
frances

Posted on Tuesday, Jul 28, 2009 - 7:04 am:

Glad to hear it was nothing lasting Anya - and isn't it weird how these completely unrelated things happen to body parts which are already works in progress? Just to throw us ...
Member:
anya

Posted on Tuesday, Jul 28, 2009 - 11:22 am:

Thanks everybody for your kind words! It makes me feel so good to read from you and know that you are sending positive thoughts our way!
I will post updates and pictures soon!
Member:
anya

Posted on Wednesday, Aug 12, 2009 - 7:39 am:

Hi everybody,

I am concerned again. For the past week, there has been heat in the operated fetlock. Sometimes it goes away after exercise (20 min walking), and sometimes there is heat in both front fetlocks.
My vet took a look at it when giving her legend and adequan the other day, and said that he does not know where it comes from, the fetlock looks as good as it can look at this time in the recovery process.
How can I find out what causes the heat or is the heat normal at this point in the recovery?
Moderator:
DrO

Posted on Thursday, Aug 13, 2009 - 3:56 am:

Anya, if there are no other indications of inflammation, like swelling or pain, it strongly suggests this is normal skin temperature which can vary. That you find it in the fetlock that was not worked on doubles up on this assessment.
DrO
Member:
anya

Posted on Monday, Aug 31, 2009 - 9:05 am:

Hello everybody!

I wanted to keep you updated on her progress: She is walking fine, today for the first day going out to pasture with her friends.

Next week, we will have the evaluation for return to work. She has been an angel through this process.
Member:
vickiann

Posted on Monday, Aug 31, 2009 - 10:28 am:

Good news!

Thanks for the up-date.
Home Page | Top of Page | Join Us!
Horseadvice.com
is The Horseman's Advisor
Helping Thousands of Equestrians, Farriers, and Veterinarians Every Day
All rights reserved, © 1997 -
Horseadvice.com is a BBB Accredited Business. Click for the BBB Business Review of this Horse Training in Stokesdale NC