Horseadvice.com

Site Menu:

Horseadvice.com

Join Us!

Horse Care

Equine Diseases

Training and Behavior

Reproduction

Medications

Reference Material

This is an archived Horseadvice.com Discussion. The parent article and menus are available on the navigation menu below:
HorseAdvice.com » Diseases of Horses » Lameness » Diseases of the Lower Limb » Overview of Fetlock (Ankle) Lameness »
  Discussion on Protruding bone parts on x-ray
Author Message
New Member:
inigo

Posted on Saturday, Jun 20, 2009 - 4:48 pm:

HI Dr. O.

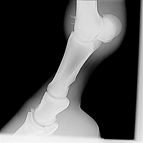
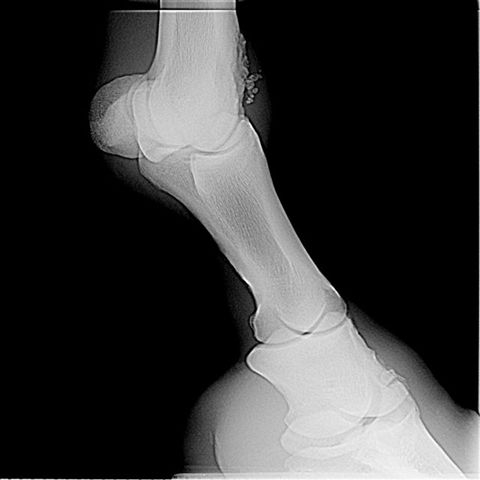
I asked my vet to perform a pre-purchase exam on a dressage prospect. The x-ray of the left front showed the following, and by the look he gave me when it came up on his screen, I understood that I was not to purchase this horse. We couldn't discuss as the owners were present. Until I do get to talk with him, I would very much like to know what the attached means, and what is likely to happen in the future with daily work. Horse is not currently lame.

many many thanks!
Inigo
LF lat

LF obl med lat
Moderator:
DrO

Posted on Sunday, Jun 21, 2009 - 9:58 am:

Welcome Inigo,
I am uncertain why this may not be discussed with the owners present this is pretty straight forward.

The horse has remarkable bone fragments in the coffin, pastern, and fetlock joints. All appear to be osteochonDrOsis type fragments. While no one can predict the future the severity of the lesions suggest a high likely hood of developing osteoarthritis in these joints. Surgery to remove the fragments will improve the prognosis but the multijoint nature and severity of the lesions still would have a guarded prognosis in my judgement.
DrO
New Member:
inigo

Posted on Monday, Jun 22, 2009 - 2:37 am:

Dr. O,
Thank you very much for the information, extremely helpful. We will pass on the full examination results to the owners, but I do not think I will be purchasing this young fellow.
many thanks.
Moderator:
DrO

Posted on Monday, Jun 22, 2009 - 8:15 am:

I would not purchase this horse as a athletic prospect either.
DrO
Home Page | Top of Page | Join Us!
Horseadvice.com
is The Horseman's Advisor
Helping Thousands of Equestrians, Farriers, and Veterinarians Every Day
All rights reserved, © 1997 -
Horseadvice.com is a BBB Accredited Business. Click for the BBB Business Review of this Horse Training in Stokesdale NC