Horseadvice.com

Site Menu:

Horseadvice.com

Join Us!

Horse Care

Equine Diseases

Training and Behavior

Reproduction

Medications

Reference Material

This is an archived Horseadvice.com Discussion. The parent article and menus are available on the navigation menu below:
HorseAdvice.com » Diseases of Horses » Lameness » The Interpretation of Radiographs »
  Discussion on Lameness mystery
Author Message
New Member:
dxangel

Posted on Wednesday, Jun 24, 2009 - 4:11 pm:

Hi Dr,

Im writing from the Uk in regards to my Dutch horse. I hope you can help as it has been a very stressful 6 months for us.

Stats:
14yo 15.2HH Dutch warmblood gelding.
Purchased: in lean body condition 01/2008
Use: Dressage competition, jumping for fun. Schooling, hacking out. *never* ridden on hard ground, or on roads.

History:
After being purchased in 'lean body condition' condition in january 2008 , we started competing in August 2008 after a slow exercise/fittening program.

The horse was doing very well. We completed monthly or so, and did quite well. We always compete on a surface. No signs of lameness. The horse has never been overworked or overfaced.

12/08 - i had to go away as my father was extemely ill and overseas. Horse was left in care of stable manager, who i trust completely.

1/09 sheath infection. antibiotics produced hypoprotienaemia and all 4 legs and vental abdomen swelled. horse was still turned out, however had not been ridden since i left.

02/09 i arrive home - sheath infection resolved, however LH fetlock tendon sheath distended around pastern. Please see picture below. Vet called, advised cold hose and bandage - re-evaluate in 2 weeks.

02/09 no change in degree of lameness, only slight improvement in swelling. Vet wanted to scan fetlock, but decided to xray instead.
Dx- ocd bone chip in fetlock, minor osteoarthritic changes.
treatment - box rest 3 months - 4 weeks complete rest, followed by 3 weeks in-hand walking, 3 weeks ridden walk in straight line, 3 weeks ridden work in trot. re-evaluate before starting turnout, canter and circles. Bandage legs behind while on complete rest, and at night during controlled exercise.

28/05/09
re-evaluation. 80% improvement on swelling. swelling seems to improve slightly with exercise, however no longer matches RH. Flexed both behind - passed. declared sound, turnout, canter, circles can now be started. I restricted the turnout to a smallish pen, just to be careful. and he was impeccably behaved, both on box rest and in turnout. He is fully booted in turnout.


3/06/09 noticed uncomfortable during medium trot, also on circles. Vet happened to be on the yard, agreed with me.

13/06/09 lunged sound after 10 days off
14/06/09 lame when ridden, looks both in front and behind, however RF lameness seemed to be 'masked' by LH lameness and not always visible.

15/06/09 - full lameness workup with head vet.


here is the contents of his report:
"lame right fore on both reins - blocks sound abaxial sesamoid. lame left hind - old OCD chip in front of joint encapsulation.

Radiographic findings:
"changes on ventral border of navicular bone within normal limits. slight erosion of toes right fore..small OSC chip left hind."

Diagnosis:
"foot balance synDrOme producing pedal bone compression"

Vet has recommended, bute, navilox, for 3+months plus natrual balance shoeing. No jumping.

Interestingly, the head vet seemed to think the OCD chip was 'irrelevant' which leaves me wondering what the LH lameness was all about.

My concerns are following:

1. I cant find anything on the internet in regards to toe erosion or pedal bone compression, or indeed 'foot balance synDrOme'

2. I still dont have a dx for the left hind. If the head vet thinks the old OCD was irrelevant then what caused the swelling/lameness? The horse was not in work at the time, as i was away.

3. the vet has requested his toes to be shortened, however my current farrier *strongly* disagrees, and another farrier who specialises in NB shoeing agrees with first farrier that not a lot can be taken off. This horse does NOT have long-toe-low-heels conformation. IN fact, he has excellent feet.

4. i am worried about a return to work, medication free and am not sure what to expect.

NO doubt ytou will advise me to speak to my vet, and i will do to try and follow up, but he is extremely busy man, who has been working very hard with the recent racing season in the UK and can be hard to get hold of. He is also somewhat not-forthcoming with information, which is just his way i think.

I would like a 'second pair' of eyes to check over the pictures and xrays if possible.

Please finally note that in order to fit the xrays as attachments, they have lost a lot of details. I have full size and detail xrays available to you if you need them.


Thank you for your time.

Swollen fetlock feb 2009:

swollen fetlock

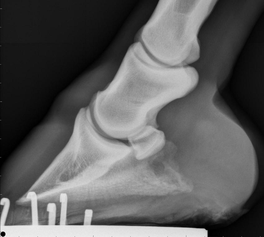
RF Lateral
right front lateral

LF Lateral
LF Lateral

RF DP
RF DP

RF P3 solar margins

rf p3 solar margins

RF Navicular DP
rf navicular dp

Left hind Lateral ( only xray i have and only done for comparison to febs xrays - which i do not have )
LH Lateral
Moderator:
DrO

Posted on Thursday, Jun 25, 2009 - 10:02 am:

Welcome dxangel,
Taking your questions one at a time:
1) I believe your veterinarian is saying poor foot balance has put extra stress on the coffin bone as demonstrated by the changes in the tip he describes. He believes that balancing the foot and relieving break over and reduced exercise the horse in time will come sound for full work again. I have to ask did he also do a posterior digital block prior to the ab. ses. block?

2) It is possible, maybe even likely considering the history, that the swelling is unrelated to the lameness and instead left over from the quadrilateral swelling the horse experienced early in 2008. If the tissues of this leg were over distended the tissues may have lost their elasticity resulting in a leg that remains stocked up. I would recommend you address the swelling as a separate entity that the lameness until proven differently. For more on this see Diseases of Horses » Lameness » Diseases of the Lower Limb » Stocking Up: Cool Swellings of the Lower Legs.

As to the diagnosis of the cause of the LH lameness a good standard lameness work up is required. I would suggest that first you address the swelling just in case this helps the lameness. I don't think it will but it might if the lameness very mild and you have a good eye.

3) I cannot count how many horses with both diagnosed and undiagnosed lameness of the foot that were remarkably more sound with proper balancing, squaring off of the toe, and rockering the bottom of the foot or shoe. The LF lateral above suggests to me there is a fair about of horn out in front of the coffin bone to deal with. Maybe instead of you talking to the vet you need to put the vet in touch with the farrier.

4) No body can be sure of what to expect dxangel, heck 70% of the sound horses will have some problem with soundness over the next year. I tend to eschew therapy but how about a Bass or if you like it heavy a Guinness with a good upbeat friend?
DrO
New Member:
dxangel

Posted on Thursday, Jun 25, 2009 - 11:56 am:

Hi Dr,

Thank you for your prompt reply.

1, on RF i believe the vet did a Palmar digital nerve block ( back lower pastern each side ) which produced an 80-90% improvement. He then blocked with an abaxial sesamoid which completely resolved the lameness.

In addition to this, an abaxial sesamoid block ( either side of lower fetlock ) was also performed on LH which he blocked sound. The lameness LH was very mild, however it is my belief it is worsened with exercise.

Please note the above is my observation , as it is not in the report - like i said, the vet can be somewhat scarce with information.

Thank you for explaining the findings to me, it does certainly make more sense now.

2. I will be reading up on your stocking up article, thank you for pointing it out. You are probably correct that the swelling is probable due to stretching. Another theory of mine is possibly some kind of scar tissue.

3. This all started with the LH and the full lameness workup did start with the LH, but as mentioned he was much worse in front, hence the report being more focused on RF. I will address the swelling first though. I will also try to take a picture and post it here for comparison.

3. Unfortunately, i am 'piggie in the middle' as vet is far too busy to liase with farrier, and farrier is not, shall we say. a fan of the vet? However the farrier has seen the xrays as well and has fitted NB shoes as required. If necessary i will change farriers, however i am doubtful this will improve any communication between vet->farrier.

4. being that the condition seems to be non-degenerative and most definitely unilateral, i do hope that in time my gelding will be able to compete again. IN the meantime, i think Guinness is definitely in order.

Thanks for your help
New Member:
dxangel

Posted on Thursday, Jun 25, 2009 - 11:57 am:

One more thing i forgot to mention.

He passed flexion on LH with head vet on lameness workup.
New Member:
dxangel

Posted on Thursday, Jun 25, 2009 - 4:57 pm:

Dear dr,

As promised here are comparative pictures, firstly to illustrate the LH swelling issue, the second to show his feet.

Firstly, i must clarify in regards to the LH swelling;
The horse did suffer from oedema however the ventral abdominal oedema was far worse than any stocking up in the legs. Once the horse had finished his course of antibiotics, the oedema resolved itself in all legs *except* the LH which did not change at all, and in fact, became worse.
a week after the horse finished antibiotics and the infection was resolved, he was lunged and found lame LH.


Secondly i did not mention that the xrays taken on the 18/06/09 show him with a long toe, however i neglected to mention he was a week away from being due shoes.

He has been shod today, with Natural balance on all 4 feet. The farrier feels he cannot take the toe any further back.

I would love to hear any comments you have.

Thanks in advance.

1. comparative pictures LH/RH

LEFT HIND:









RIGHT HIND:



2. Right fore hoof balance (NB shoe 25/06/09):





Moderator:
DrO

Posted on Friday, Jun 26, 2009 - 9:16 am:

Compared to the radiographs, it looks like he found a fair amount of toe to remove, good for him. Assuming as low as possible with as small a dose as possible principles were used, the improvement with the PDN then sound with AbSes is further support for tagging this at the tip of the toe or somewhere along a line between the tip and the coffin jt.

Guinness would be my choice to, unless it was a really hot afternoon.
DrO
New Member:
dxangel

Posted on Friday, Jun 26, 2009 - 10:00 am:

Thanks dr,

I now have the all clear to ride, in straight lines, so will be starting tonight. fingers crossed for some improvement.
Member:
dxangel

Posted on Tuesday, Jun 30, 2009 - 5:56 am:

Hi Dr O,

I thought i would update you on our progress.

Last night i videotaped our progress. In walk, the horse does not stretch out with his RF on both reins. It has a short and shuffly gait. I would not say it is a lameness as such, but it is obvious to me.

In trot, he looks fine, completely sound, albeit, again, a bit shuffly, and not his normal bouncy self. normally he has very elevated paces.

On the left rein, he does look a little stiff behind for the first few strides of trot.

Im not sure what to make of this, or wether i should go back to the vet in this instance, given he is sound as a pound in trot, but im not convinced he is sound in walk.

Would love to hear your thoughts on this.
Moderator:
DrO

Posted on Tuesday, Jun 30, 2009 - 7:29 am:

Hmmm...noting before that your horse is used for Dressage I almost mentioned you may not be happy with what the foot changes do to his gait. Generally a long toe produces a longer gait, largely do to delayed breakover, the same thing that puts stress on coffin bone.

I cannot say if this is what you are seeing and if you think this is lameness try studying the article on Diseases of Horses » Lameness » Localizing Lameness in the Horse with a emphasis on the Bilateral Lameness subtopic. It gives instructions on figuring this type problem out.
DrO
Member:
dxangel

Posted on Tuesday, Jun 30, 2009 - 5:37 pm:

Thanks Dr O,

You are right, the shoes have altered his gait somewhat, which im not particularly thrilled about, however if they improve his soundness then so be it.

I observed him being ridden tonight and saw some more improvement, in terms of him using himself in front, so i will continue to observe. I have also spoken to the farrier who specialises in NB and his opinion is it will take some time before the horse shows any improvement from the shoes alone.

So its a case of close observation for the moment. Considering he is sound as a pound in trot, there has been an improvement, so i will only call the vet back if there is no improvement/worsening of lameness.

I guess time will tell as to whether i have made the right call i guess...
Member:
dxangel

Posted on Sunday, Jul 26, 2009 - 2:48 pm:

Hi Dr O,

just to update you on my horses progress, he has remained sound and is in normal work and is doing well. The bute has been cut down to 1 per day and the navilox as well. He has remained sound and is moving very well i think, for the most part. His gait is no longer shuffly either.

I dont know how long this will last but i am so pleased that he is doing so well.

I have enclosed a picture of the horse in question. i hope you like it.
ext1
Moderator:
DrO

Posted on Monday, Jul 27, 2009 - 8:10 am:

Congratulations and very nice dxangel.
DrO
Member:
frances

Posted on Monday, Jul 27, 2009 - 12:58 pm:

A great picture of you both dxangel!
Member:
lilo

Posted on Monday, Jul 27, 2009 - 3:50 pm:

Lovely horse, lovely rider! Good luck, Lilo
Member:
vickiann

Posted on Monday, Jul 27, 2009 - 10:13 pm:

Loved seeing your photo.
Home Page | Top of Page | Join Us!
Horseadvice.com
is The Horseman's Advisor
Helping Thousands of Equestrians, Farriers, and Veterinarians Every Day
All rights reserved, © 1997 -
Horseadvice.com is a BBB Accredited Business. Click for the BBB Business Review of this Horse Training in Stokesdale NC