|
|
Discussion on Avulsions on the medial aspect of the proximal phalanx occurs in young horses when the medial collateral ligament is stressed excessively. The piece can be screwed down but the prognosis is usually guarded because the articular cartilage is disturbed and results in arthritis.
|
| Author |
Message |
New Member: taino
|
Posted on Friday, Nov 25, 2011 - 8:30 pm:
It seems to be the diagnostic of my vet after XRays. Surgery is recommended to extract the piece of bone. Prognosis is guarded because of unknown damage to cartilage. I have the x rays in a cd. Do you want to see them. I just want a second opinion. 3 years old Paseo horse in Puerto Rico just in training.not working yet. Thanks,
|
Moderator: DrO
|
Posted on Saturday, Nov 26, 2011 - 9:35 am:
Hello Angel, If you can post the images that would be great. They will need to be in either a gif or jpeg format reduced in viewing size to about 500 pixels wide then have the file size reduced to less than 64k. For more on this see HorseAdvice.com » Help & Information on Using This Site » Uploading Images and Files Into a Posting. Above you list two treatment options: screw it down and removal of the avulsed fragment. If this truly is an attachment of the medial collateral ligament, having it screwed back in place is far more stable than removal. DrO
|
Member: 36541
|
Posted on Sunday, Nov 27, 2011 - 7:08 am:
Hi Angel, sorry to hear of this injury Was it a witnessed event? The best horse in your pasture always seems to be the overachiever when it comes to creative accidents! Would love to see the Xrays, best wishes for a speedy recovery... Stacy
|
New Member: taino
|
Posted on Monday, Nov 28, 2011 - 9:17 am:
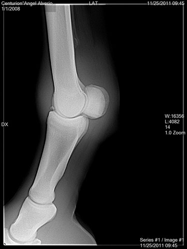
Thanks. Enclosed an X Ray ...
|
Member: taino
|
Posted on Monday, Nov 28, 2011 - 9:25 am:
Stacy... Thanks for your comments. No it wasn't a witnessed event. I think it was during a training session.
|
Member: taino
|
Posted on Monday, Nov 28, 2011 - 2:29 pm:
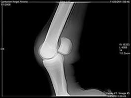
Another X Ray
|
Moderator: DrO
|
Posted on Tuesday, Nov 29, 2011 - 6:18 pm:
Angel, I do not see a medial condylar fracture in these views. I would expect such a fracture to be best seen in a ap (front to back) view rather than a lateral view like we have above. There is a rather significant piece of bone fragment, often called a joint mouse, seen in the first image above however. DrO
|
Member: taino
|
Posted on Tuesday, Nov 29, 2011 - 8:35 pm:
I will post one from the front tomorrow morning. I think this piece of bone fragment is was our vet saw too. Can I have more info about joint mouse,(treatment and prognosis? Thanks,
|
Member: taino
|
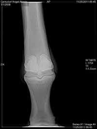
Posted on Wednesday, Nov 30, 2011 - 10:32 am:
Dr. O I'm not sure is this one is from the front. If not I don't have another one. Everything else are from sides.
|
Member: taino
|
Posted on Friday, Dec 2, 2011 - 9:21 am:
Dr. O Can I have more info about joint mouse,(treatment and prognosis?
|
Moderator: DrO
|
Posted on Saturday, Dec 3, 2011 - 12:10 pm:
If there is lameness referable to the joint and a fragment present surgery to remove it is recommended and the prognosis is good for return to athletic function if there are no signs of arthritis in the joint. DrO
|
Member: taino
|
Posted on Monday, Dec 5, 2011 - 11:04 am:
Thanks. Surgery will be next Wednesday December 7th. Hopefully we will be ok.
|
Moderator: DrO
|
Posted on Tuesday, Dec 6, 2011 - 10:19 pm:
What ever happened to the medial avulsed fragment diagnosis? Has the lameness been blocked out in the joint specifically? DrO
|
Member: taino
|
Posted on Wednesday, Dec 7, 2011 - 6:33 am:
I think so. It seems to be there is only a loose fragment present into the joint. It is going to be extracted today at 4 pm ET. I hope everything goes well. I will post results asap.
|
Member: frances
|
Posted on Wednesday, Dec 7, 2011 - 7:49 am:
Good luck, Angel.
|
Member: taino
|
Posted on Wednesday, Dec 7, 2011 - 6:30 pm:
Surgery was a success. Bone fragment was removed. No arthritis or cartilage damage found. Now to rehab process. Any suggestion besides bandage changing and cleaning? Timing, supplements or therapy?
|
Moderator: DrO
|
Posted on Saturday, Dec 10, 2011 - 9:33 am:
Angel, what has your surgeon outlined for rehabilitation? DrO
|
Member: taino
|
Posted on Sunday, Dec 11, 2011 - 8:11 am:
6 weeks of rest.Then we should start training slowly.i do have photos of the extracted bone and fetlock after surgery. Do you want me to post them?
|
Moderator: DrO
|
Posted on Tuesday, Dec 13, 2011 - 7:08 am:
The plan outlined seems reasonable to me but could you expand a bit on what is meant by "rest". I cannot think of any supplements I would recommend. I think seeing the bone fragment would be interesting. DrO
|
Member: taino
|
Posted on Tuesday, Dec 20, 2011 - 11:44 am:
Here you have the bone fragment that was extracted. Thanks,
|
|
|