Site Menu:
| This is an archived Horseadvice.com Discussion. The parent article and menus are available on the navigation menu below: |
| HorseAdvice.com » Diseases of Horses » Respiratory System » Discussions on Respiratory System not covered by the above » |
| Discussion on Horse's exposure to asbestos / nasal inflammation | ||
| Author | Message | |
| New Member: leesa |
Posted on Saturday, May 7, 2016 - 7:05 pm: Hi,This has been an issue that I've been working on with vets for years so it's quite a long story but I will try and keep it as brief as I can. 3 years ago my horse was exposed to asbestos in a bag of chaff. He'd been eating it for a few weeks before I'd discovered that it was contaminated, but an asbestos lab did confirm the presence of loose asbestos fibres in the feed. My horse has since developed inflammation of the mucosa in his nose and it is causing him some distress in that he has become a headshaker. For the past 3-ish years I've been working with vets/dentists/chiros/physios/etc to investigate the headshaking from the traditional nerve perspective (rather than the asbestos perspective) and nothing has been found so far except for the inflammation in his nose. I don't want to focus too much here on the headshaking as I believe that it's just a symptom of the inflammation. My vet took a biopsy of this inflammation and the diagnosis was inflammation due to lymphoplasmacytic rhinitis with an unknown cause, but not thought to be an infectious disease due to the absence of neutrophils or eosinophils. I've included a picture here of the inflammation. The two circular wounds are the biopsy sites. A lot of inhaled debris sticks to this inflammation which I've added a picture of here: This debris accumulates as he's grazing. Why I think that the headshaking is just a symptom of this inflammation is because the headshaking stops when this debris clears out of his nose. If I lock him up off the grass for a period of time, the debris clears out and I can then work him no problems, no headshaking. Unfortunately the debris then accumulates again when he's grazing. So now we're focusing on what is causing this inflammation. I've ruled out every environmental allergen that I can and my vet has now proposed that maybe there is a physical irritant embedded in the tissue there. That's where we circle back to the asbestos exposure. My vet and I feel that maybe my horse has asbestos fibres hooked into the nasal tissue. At this point my vet can no longer assist as he has no experience with asbestos. I've found a human medical microscopy lab that can test tissue for the presence of asbestos and my vet is happy to take a sample of tissue for me to send to them for analysis. This is where we're at and this is my dilemma. I am trying to speak to a medical asbestos specialist to answer some questions about what sort of sample should be taken, or whether this is a bad idea, but I can't get an appointment locally when I tell the receptionists that it's to talk about an animal's exposure as opposed to a person's. I live in Australia and noone that I've spoken to locally has heard of this happening, so I am hoping that there is a wider scope of veterinarians online that may be able to help in this area? My questions are: - Is this a reasonable plan? Will testing tissue for the presence of asbestos fibres work? - If so, what sort of sample should be taken? A shallow scraping of a larger area or a deeper punch biopsy of a smaller area? - If not, is there anything that can be done to prove or disprove whether this inflammation is because of asbestos? Of course it's also possible that this inflammation has nothing at all to do with the asbestos. Any thoughts you have on this matter or what you feel may be causing this is also appreciated. Thank you for your time. |
|
| New Member: leesa |
Posted on Saturday, May 7, 2016 - 7:21 pm: Apologies, I left out some info which may be beneficial.- The inflammation is present in both sides of his nose. - There is a regular discharge from both nostrils, it's clear and runny, sometimes clear and thick, sometimes black and runny if his nose is full of dirt - There is no discharge when there is no debris in his nose. - There is no cough, no runny eyes The pathology report: HISTOPATHOLOGY *GROSS PATHOLOGY Four punch biopsies of pale tan tissue measuring 8 mm in diameter. The tissues have been bisected and one half placed in Cassette A. *HISTOPATHOLOGY Four biopsies show similar changes. The mucosa is normal to mildly hyperplastic. Scattered within the submucosa usually in superficial areas is a mild diffuse to perivascular infiltrates of mixed inflammatory cells including lymphocytes and plasma cells with occasional neutrophils. Inflammation mildly involves the interstitial regions of submucosal glandular tissue. DIAGNOSIS: Lymphoplasmacytic rhinitis COMMENTS: These changes are etiologically non-specific. Lymphoplasmacytic inflammation reflects chronic antigenic stimulation but there is no clue as to the aetiology. Infectious diseases are unlikely considering the absence of neutrophils or eosinophils. This could be associated with a hypersensitivity disease. |
|
| Moderator: DrO |
Posted on Sunday, May 8, 2016 - 8:46 am: Welcome leesa,I do like the plan and think it will help confirm or reject the hypothesis that embedded asbestos fibers are the cause. I would think a punch biopsy would be best but you may not have to repeat it. Ask the lab if they still have the submitted samples (most save them for a while) and then ask the asbestos lab if they will do. Have you scoped the respiratory tract to see how far this goes back also looking for some other cause of this irritation? DrO |
|
| New Member: leesa |
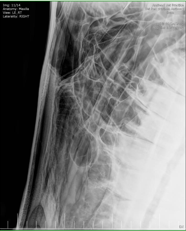
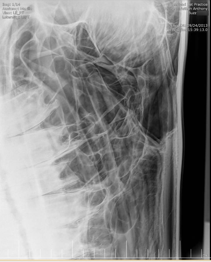
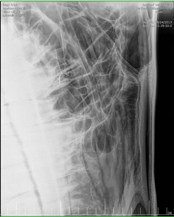
Posted on Sunday, May 8, 2016 - 6:24 pm: Thank you for the welcome!I did contact the lab to see if they still had the samples but they will only speak to the vets who submitted the samples. I've asked my vet to ask on my behalf but haven't yet heard back yet. The horse has been scoped and I was told that it all looked normal. The stylohoid bone and guttural pouches normal. The inflammation is mostly around the nostrils as per the pic but there are a couple of small spots further up inside the nose. He's also had his skull xrayed which I'm told also looked normal. I've included the pics at the bottom. I've included a list of other things here that have been tested to see if they influence the shaking or inflammation for the better or worse: - experimental course of Equity - Flixotide via inhaler - high dose of prednisolone - did work! - low dose of prednisolone - did not work - teeth checked by two different vet dentists - fly masks & nose nets - relocated him to several different places in the city incase it's an environmental allergen - all sorts of feed supplements - removed all hard feed, just feeding hay - stabled him 24/7 and fed him Haygain steamed hay incase it was something in the paddock - light/dark makes no difference to the shaking - it's not seasonal, happens year round I've also had bloodwork done and it showed a low red blood cell count. The blood was taken two weeks after the biopsies. My vet didn't think the low count was attributed to the blood loss from the biopsies so he suggested parasites but a worm count came back clean. I also had a test to see if there was blood in the manure, but nothing was found. There was no plan made to address the low RBC. Results are attached in a text file to maintain the spacing.
Xray images:
|
|
| New Member: leesa |
Posted on Sunday, May 8, 2016 - 11:51 pm: With the sample to test for the fibres, I guess I'm worried that fibres may be not be in the sample that's taken and so the result comes back negative.. but fibres may have been present 5mm away where a sample wasn't taken.Do you have any advice on which area of the inflammation would be the best spot for the sample as far as where the fibres could be located? |
|
| Moderator: DrO |
Posted on Wednesday, May 11, 2016 - 8:45 am: It is usually recommended that biopsy's contain both normal and abnormal tissue but here I think I would center on a area of erythema or a papule. I have been thinking a little about this and in general foreign bodies will have a neutrophilic response, though we could conjecture that the fibers are causing an allergic and not foreign body response.DrO |
|