Horseadvice.com

Site Menu:

Horseadvice.com

Join Us!

Horse Care

Equine Diseases

Training and Behavior

Reproduction

Medications

Reference Material

This is an archived Horseadvice.com Discussion. The parent article and menus are available on the navigation menu below:
HorseAdvice.com » Diseases of Horses » Lameness » Joint, Bone, Ligament Diseases » Diseases of joints, bones, and ligamens not covered above »
  Discussion on Osteomyletis or injury shattering hock
Author Message
Member:
Jchadola

Posted on Saturday, Oct 1, 2005 - 10:37 pm:

Is there any place (a website for example)where I can get some info on osteomyletis of the hock? My friend's horse either injured his hock shattering the bone or he has an infection that has eaten away the bone. X-rays were done. I am not a vet but it sounds like osteomyletis. She has been told there is nothing they can do. I am searching for some info on this condition, its causes and treatments for it. I could not find anything in this forum - maybe there is something but I missed it. I did a search in Google but didn't come up with much. Is there any place where I can get info on this condition?
Moderator:
DrO

Posted on Sunday, Oct 2, 2005 - 4:41 pm:

The problem Janice is that you do not know what condition you are dealing with. Do you want to study a broken bone or do you want to study infection of the bone and if one of these do you know which structures of the bones or which bones are effected. Is it a simple fracture,comminuted, or compound? Does it effect the joints? Your use of the horseman's term for a region of the hind leg suggest so but there other possibilities in this area. If it is infection has it been cultured?

Osteomyelitis is not so much a diagnosis but a pathological description, usually caused by bacterial infection. Usually the cause will be in the history of the problem, but to discuss specific causes and treatments requires knowing specifics about what condition(s) are present.
DrO
Member:
Jchadola

Posted on Sunday, Oct 2, 2005 - 11:33 pm:

Thanks Dr. O. The vet originally thought that an infection ate his bone away but now that x-rays have been done, they show bone fragments. The swelling is on the inside of his right hind starting at his hock and continuing upwards. I don't think my friend has any idea how this happened - he is by himself in a paddock. These situations are heartbreaking. My friend does not want her horse to be in pain for the rest of his life but would not euthanize him if the pain improved (she does not care if he is rideable or not - she would not euthanize him if he was unrideable - she is only concerned about the pain). If only they could speak and say whether the pain is a little bit better than it was the day before.
Member:
Jchadola

Posted on Monday, Oct 3, 2005 - 12:36 am:

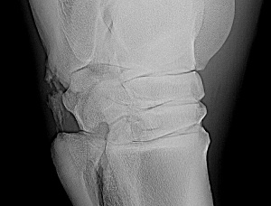
Dr. O - here is the x-ray of the injured leg.Injured Leg
Moderator:
DrO

Posted on Monday, Oct 3, 2005 - 7:17 am:

From this small image on my notebook, I think I can see small fragments at the back of the hock. Later I can try to blow it up on my desktop. Are these the only lesions and is the veterinarian recommending removal?
DrO
Member:
Jchadola

Posted on Monday, Oct 3, 2005 - 2:04 pm:

I have more x-rays from other angles I can post once I get home tonight. The vet said that surgery would be a huge expense with no guarantees.
Member:
Jchadola

Posted on Monday, Oct 3, 2005 - 11:30 pm:

Dr. O. - here is another x-ray (I seem to need to do separate posts):

Leg #2
Member:
Jchadola

Posted on Monday, Oct 3, 2005 - 11:32 pm:

Another x-ray:

Leg #3
Member:
Jchadola

Posted on Monday, Oct 3, 2005 - 11:33 pm:

Here is one more x-ray:

Leg #4
Moderator:
DrO

Posted on Tuesday, Oct 4, 2005 - 8:35 am:

No guarantees of what? It is nonsense to think removing badly displaced pieces that are too small to screw down is not going to result in a better outcome, including possible soundness. Even if this results in just pasture sound the horse will be more comfortable with them gone. If surgery is an option for your friend's horse I would get a second opinion from a referral center on this.
DrO
Moderator:
DrO

Posted on Tuesday, Oct 4, 2005 - 10:48 am:

An addendum to the above. I have moved the radiograph images to a larger screen and viewing them it appears all the fragments are off the back of the talus and may communicate with the talocaneal joint (correction off the back of the calcaneus and communicates with the talocrural joint~DrO) cand have minimal effect on the stability of the joint. Does the veterinarian who has the originals agree?

If so considering the possibility of arthritis forming because of the fragments, removal is even more important. Even if it forms there are treatments. Last month we have posted a set of clinical reports on this condition at Equine Diseases » Lameness » Diseases of the Upper Rear Limb » Overview of Diseases of the Hock (Tarsus) » Discussion on Osteoarthritis of the talocalcaneal joint.
DrO
Member:
Jchadola

Posted on Tuesday, Oct 4, 2005 - 6:11 pm:

Dr. O - there are not a lot of facilities up here where surgery can be done. I think there is one vet who has a facility to do major surgeries in this area - and it is very costly (I know someone who had her horse trailered to northern Washington State and had surgery done for a reasonable cost at an equine clinic - I believe it was less expensive than the cost of having it done here). Is the surgery to remove the fragments something that has to be done under a general anaesthetic or can it be done with the horse standing up? How complicated is it? My friend may not have been given all the info you have provided so I doubt that what you say about the fragments being off the back of the talus is something that has been communicated to her.
Member:
Jchadola

Posted on Wednesday, Oct 5, 2005 - 12:46 am:

Well, Dr. O - the vet finally called my friend back - left a message saying her horse would not be in so much pain he would have to be put down. Plus the swelling is going down. What is a shame is that my friend and her husband had to go through such agony until the vet finally called her back and let her know he will not have to be euthanized. I expect the ideal situation would be to remove the bone fragments but if the swelling is going down, that is hopeful.

Thank you so much for your input. I would not be able to express in words how much it is appreciated that you give so much of your time to this forum. You obviously don't do it for the money because it is a mere pittance we pay to have access to your helpful advice.

One question - do you have an article on this website about how such injuries heal and what is the best supportive treatment an owner can give a horse with such an injury?
Moderator:
DrO

Posted on Wednesday, Oct 5, 2005 - 8:42 am:

Well, Janice you do help buy baby a new pair of shoes but I have to correct my anatomy above, this is most likely off the calcaneus and not the talus and communicates with the talocrural joint not the talocalcaneal joint by way of the proximal intertarsal joint. I must of had talus on the brain. The gist of my comments on prognosis and treatment still apply. I do think a flexed lateral and flexed dorsolateral-posteriomedial and a skyline view of the plantar surface of the talus would further eludicate whether the 4th tarsal bone is involved or intraarticular bone is involved.

This surgery would have to be done under general anesthesia. From a small set of limited resolution images of radiographs and not having done such a surgery myself, I have taken this about as far as I can. Unless surgery is just not an option do to financial constraints, I strongly suggest forwarding to a facility for a second opinion on this.

If the body cannot reincorporate the fragments in the bone they die. As the body tries to remove the fragments inflammation occurs and if they are in or around the joint, cause arthritis. Also such fragments can become infected by bacteria since they are no longer protected by the immune system.
DrO
Home Page | Top of Page | Join Us!
Horseadvice.com
is The Horseman's Advisor
Helping Thousands of Equestrians, Farriers, and Veterinarians Every Day
All rights reserved, © 1997 -
Horseadvice.com is a BBB Accredited Business. Click for the BBB Business Review of this Horse Training in Stokesdale NC