Horseadvice.com

Site Menu:

Horseadvice.com

Join Us!

Horse Care

Equine Diseases

Training and Behavior

Reproduction

Medications

Reference Material

This is an archived Horseadvice.com Discussion. The parent article and menus are available on the navigation menu below:
HorseAdvice.com » Diseases of Horses » Lameness » The Interpretation of Radiographs »
  Discussion on X rays of front hoofs..
Author Message
Member:
Dres

Posted on Friday, Feb 24, 2006 - 9:37 pm:

Dr. O I took my coming 7 year old in for a re eval of the condition of his front hoofs.. as a 3 year old we found the extensor processor broke on the right. As a 4 year old he had an avulsion fracture of the navicular on the left.. I just wanted to see how much more or less the damage had become.. I know you don't have the others to compare to.. but can you see anything on the left navicular one ? Its plain as day the extensor. :-( Also the left front gets these mysterious bruises in the middle of his hoof outside wall , same place each time .. the farrier and i can't figure out why.. is there something in the x ray that tells ?
Member:
Dres

Posted on Friday, Feb 24, 2006 - 9:39 pm:

and some more...

Member:
Dres

Posted on Friday, Feb 24, 2006 - 9:42 pm:

last bunch

Member:
Dres

Posted on Friday, Feb 24, 2006 - 9:46 pm:

thats it... do you see any rotation or other ''things'' that are wrong.. does he have a thin or thick soul ? I get him re shod every 4 weeks this is week 5, as i wanted to have him done after they pulled the shoes..

On the first day God created horses on the second day he painted them with spots..
Member:
Dres

Posted on Friday, Feb 24, 2006 - 9:47 pm:

oh by the way, i have not had the eval.. i have to wait my turn... :-(

Ann
Moderator:
DrO

Posted on Sunday, Feb 26, 2006 - 8:36 am:

They are very good images Ann. When I get in my office I will transfer them to a larger brighter screen than my notebook and evaluate them then.
DrO
Member:
Dres

Posted on Sunday, Feb 26, 2006 - 9:50 am:

Thank you.. The surgeon has NOT called me yet to give his opinion on the progress of his hoofs as well.. :-(

The horse is 90% sound, If he hits a rock or a divit in the sand he will bob on the LEFT front, seems the right, extensor, does not give him as much grief ? He gets legends shots every 6 weeks and Farrier's Formula... The farrier is amazed how much hoof this horse grows in 4 weeks:-)
Thank you very much for taking a look at them...

On the first day God created horses, on the second day he painted them with spots..
Moderator:
DrO

Posted on Sunday, Feb 26, 2006 - 12:10 pm:

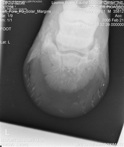
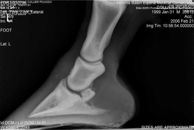
Let's label the radiographs from left to right with numbers. The abnormalities I see on the L using the photo's number as reference:
1) Odd lucency (darker) at the top/lateral margin of the coffin bone (seen in many images). It would interesting if this is also the site of the odd bruising.
2) Decrease lucency (darker) in the body of the navicular bone.
2) Remarkable cone shape areas of decrease lucency (darker) along the distal margin of the navicular bone.
3) Assymetrical flexor surface of the navicular bone.
4) There is the appearance of poor ap balance of the foot with the heels being low
4) Soles appear thin
4) Small osteophyte (bone spur) on the front margin of the pastern joint.

On the right the main problem is the appearance of the n. bone in the first image. It appears to have large irregular areas of increased lucency surrounding areas of decreased lucency. The darker areas (decreased lucency) may be artifacts or represent thinning of cortical bone.

Unless there is something I am missing in the images the extensor process appears to have healed well on the L. The significance of each of these lesions will depend on clinical findings Ann and confirmation that these are actual lesions and not artifacts created by positioning or the foot preparation for radiography. You should note I am not a radiologist and that viewing images in this manner is not as revealing as viewing the radiographs first hand.
DrO
Member:
Dres

Posted on Sunday, Feb 26, 2006 - 3:35 pm:

Ok, before I can ask you more questions so that I can ask questions to the surgeon, I need to know what LUCENCY is.. I looked it up in the Webster and the UCD vet manual I can't find the word.. are you talking about channels ? If so this horse is a warm blood, and my understanding is that they do show more '' channels''then other breeds.. ??

Boy that's a good thing about the extensor process has healed on the left.. cus its the right that was diagnosed..

""1) Odd lucency at the top/lateral margin of the coffin bone (seen in many images). It would interesting if this is also the site of the odd bruising.""
The odd bruising for lack of a photo is right in the middle of the front hoof,looking straight on is slightly less then an inch down from the cornet line..Its about inch by inch in size, of course as the hoof grows the bruise goes down to be trimmed off, and a month or so later another one appears.. same place , same size.. ? Again he seems to be more often off on the left hoof..

Can you see anything remotely looking like an avulsion fracture of the L navicular anymore.. ?

And lastly for this post.. do you see any DJD forming.. ?

Again thanks for the time , I will be wearing my cell phone now till the surgeon calls me and will be loaded with questions...

On the first day God created horses, on the second day he painted them with spots..
Moderator:
DrO

Posted on Sunday, Feb 26, 2006 - 6:52 pm:

Lucency is the noun form of the adjective lucent which means shine. In radiography this term is used to describe areas of different contrast. Thus areas of increased lucency are brighter and decreased lucency are darker. The darker the area the more xrays have passed through so these areas have some combination of decreased density and/or decrease amount of tissue. I will edit the above post to reflect whether it is an increase of decrease in lucency.

The lateral aspect of the wing is somewhat misshapen, perhaps the old fracture?

The osteophyte can be an early harbinger of DJD but is also seen in many joints that never have problems.
DrO
Member:
Dres

Posted on Monday, Feb 27, 2006 - 12:55 pm:

ok.. Dr. O... I got THE call.... the surgeon first off talked of the low heal on the left... that there was a , ok I did not write this down , a broken hoof pasturn access <?> I am guessing caused by the low heal.. he suggested a wedge pad... He said that could be causing the mysterious bruising, damage to the laminie... He also said that in the three years of the extensor process fracture that there is no significant changes in that.. ! * that makes me pretty happy.. * He also said , much like you.. that with these x rays, he would have believed it if the horse was completely crippled , or that he is going sound... X rays like his are hard to read and you have to go by the horse as well.. .. to continue with the legend shots and not to worry at this point about joint injections, wait till he IS crippled and in need... re the navicular avulsion fracture L, he said that there should be a disclaimer on that, as there are subtle changes on the navicular bone due to interpetation.. * or something to that effect*

again thanks for your help, you gave me tools to ask more questions then i would have without your help...Do you have any other suggestions to add ??

On the first day God created horses, on the second day he painted them with spots...
Member:
Miamoo

Posted on Monday, Feb 27, 2006 - 2:18 pm:

My question is how you keep front shoes on him Ann. He really reaches from behind!

He is gorgeous. If he is the guy in the exrays, you are doing a good job keeping him sound!

Ella :-)
Member:
Dres

Posted on Monday, Feb 27, 2006 - 3:12 pm:

Ella, yes that is him.. we have good days, sound, and bad days,limps every other stride... Notice the bell boots.. they help hugely in keeping front shoes on.. when working its really not a matter of pulling off front shoes, its at play.. riding he seems to get that front foot out of the way.. His full sister has a bigger over reach and YET to pull off a shoe, bell boots on her in pasture tho.. :-)
Thanks for the support...

On the first day God created horses, on the second day he painted them with spots...
Member:
Miamoo

Posted on Tuesday, Feb 28, 2006 - 8:07 am:

I have a mare that reaches through behind and I am having a h--- of a time keeping shoes on - even with bell boots. She is fine until I ask her to round and lift her back. When she does this she reaches through more and pop - off comes the shoe. Aghhhhh.

Anyway, he is beautiful!

Ella :-)
Moderator:
DrO

Posted on Tuesday, Feb 28, 2006 - 8:12 am:

The low heels are certainly the one thing you can address but also squaring the toes would decrease strain on the navicular region and they do look long in the images.
DrO
Member:
Dres

Posted on Tuesday, Feb 28, 2006 - 9:58 am:

Dr. O , I did not ask the surgeon, but do you feel that the right hoof needs a wedge as well? We will put a wedge close to 3 degrees on the left.. My understanding of wedges and pads, is that they tend to crush your heel, at this point i guess its not to be worried about .?

Also, squaring the right hoof , extensor processor, will that put more pressure on that part of the hoof.. ? Does that navicular bone show changes too ?

Thanks...

On the first day God created horses, on the second day he painted them with spots..
Moderator:
DrO

Posted on Wednesday, Mar 1, 2006 - 7:37 am:

No I don't think squaring will put more stress on the extensor process and the R looks pretty well aligned. Concerning the R navicular bone see my comment above.
DrO
Member:
Brandi

Posted on Monday, Mar 13, 2006 - 1:17 am:

Ann, I can give you a wonderful alternative to wedges if you decide to elevate that heel...my Apache had wedges for a little over a year and they only made the low heel problem worse. My farrier and I are using a product from Vettec, a urethane compound that you can use to build a terrific heel. You don't have the bulk or the weight of a wedge added, and none of the crushing problems--it allows you to build more "hoof" and is almost like acrylic nails--except the urethane is strong but pliable enough to last 5 or 6 weeks--easy. The company rep will come help your farrier apply the product the first time. I'll e-mail you off-line with his contact info if you want it. Here are before and after pictures of his "new" heels and his fancy shoe. The product can be filed and worked enough to look like the natural foot, and it comes in black too.
Before
After
Member:
Dres

Posted on Monday, Mar 13, 2006 - 10:17 am:

Brandi, good to hear from you.... I know my farrier hates to put wedges on them, he believes it looses the integrity of the horses heal, crushes / crumbles ... on the other hand tho , we must get the angle correct and working for the horse... I talked with him last week, he was shoeing a ''low'' healed horse at the time and was making his own 'thicker'' healed shoe, but starting with a straight bar, heating it up and pounding it down to thicken the end... Yes please email the info... i am always interested...** also add info on your new black beauty **

On the first day God created horses, on the second day he painted them with spots..
Member:
Dres

Posted on Monday, Mar 13, 2006 - 10:22 am:

I forgot to add, Dr. O, what are your feelings of the above product vs. the firm white wedge pads ( can't remember the name of the product) or building a steel wedge for the heel.. ?

On the first day God created horses, on the second day he painted them with spots..
Moderator:
DrO

Posted on Monday, Mar 13, 2006 - 9:47 pm:

The particular method you use to raise the heel is not that important, but the way you apply it is. I really like the application in Brandi's photos above.

This is a horse with very little heel wall and that he has is growing almost parallel to the ground. Notice the way the shoe is set back under the toe while the rest of the foot is well supported. This will slow the toe-wall growth while promoting heel growth. Our local farriers like to say, "the hoof grows to the shoe". While not technically correct it does appear that way as the toe backs up while the heels grow longer and straighter. Success of such a set up will depend on how chronic this condition is vs the determination on Brandi and her farrier.
DrO
Member:
Brandi

Posted on Tuesday, Mar 14, 2006 - 9:12 pm:

This condition is seriously chronic, but my determination won't wane...even though soundness is out of the question for this big guy. Here's a photo of where we were a year ago, and the shape of the hoof capsule has completely changed--in a good way. So please forgive me for the slight tangent of your post, Ann, but I was pleased to see the difference when I went back and looked at the older photos of his feet.
Apache 2004
And thanks for your comments Dr. O, it is reassuring that you like what you see. I only wish I'd been able to address his issues when he was much younger so I would have half a chance of sparing him from his current pain and unsoundness.
Member:
Dres

Posted on Wednesday, Mar 15, 2006 - 10:25 am:

Thanks Brandi, how long has your boy worn the special shoe job.... and correct me if i am wrong here, but it appears that he just does not grow heel. ? In the photo of the corrected shoe, he does not ''seem'' to have anymore heel then the older photo..

On the first day God created horses, on the second day he painted them with spots..
Moderator:
DrO

Posted on Thursday, Mar 16, 2006 - 7:24 am:

Ann, look carefully at the little tubules (lines or striations) that make up the hoof. It is not that he does not grow heel but that the horn on the wall of the heel grows almost parallel to the ground. It is distorted from the more upright appearance. This represents a change in the underlying architecture that may respond very slowly to correction.
DrO
Member:
Brandi

Posted on Friday, Mar 17, 2006 - 2:16 am:

It is changing...but very slowly. He has only been in these newest shoes since November 05. His hoof is currently showing signs of change, and a ring is growing out that marks the change.
Home Page | Top of Page | Join Us!
Horseadvice.com
is The Horseman's Advisor
Helping Thousands of Equestrians, Farriers, and Veterinarians Every Day
All rights reserved, © 1997 -
Horseadvice.com is a BBB Accredited Business. Click for the BBB Business Review of this Horse Training in Stokesdale NC