Horseadvice.com

Site Menu:

Horseadvice.com

Join Us!

Horse Care

Equine Diseases

Training and Behavior

Reproduction

Medications

Reference Material

This is an archived Horseadvice.com Discussion. The parent article and menus are available on the navigation menu below:
HorseAdvice.com » Diseases of Horses » Lameness » Joint, Bone, Ligament Diseases » Arthritis and DJD: An Overview »
  Discussion on Minimal djd...
Author Message
Member:
Sunny66

Posted on Friday, Aug 4, 2006 - 7:52 pm:

Hi Dr. O,

I think I'm happy but I'm not sure...still no diagnosis. Did the xrays - did not see a noticeable difference from 3 years ago, so that's good news. Then he watched him go...still very stiff behind. He did a left flexion and he was worse than he was a couple weeks ago :-( So then we did a series of stifle xrays as well, and found changes there too :-(. He said he's seen the extreme positive of the flexions before and 90% of the time it was the hocks causing the problems, the other 10% was the stifle.

I asked if we could do blocks, he said if we did blocks we couldn't do the hock injections. I asked what he would do if it were his horse and he said he'd do the hock injections, since they are tauted as the best medicine for djd anyway. I opted for the hock injections. He's going to have his bone surgeon look at the xrays for a second opinion and call me. I'm to call him in two weeks with hopefully a good report.

Here are the xrays from today:


Stifle oblique:
Stifle Oblique

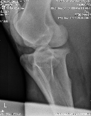
Stifle:
stifle

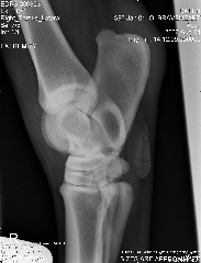
Left tarsus dp
Left Tarsus DP

Left tarsus DLPM
Left tarsus DLPM
Member:
Sunny66

Posted on Friday, Aug 4, 2006 - 7:57 pm:

right tarsus dmplo

r tarsus

right tarsus lateral
right tarsus lateral
Member:
Sunny66

Posted on Friday, Aug 4, 2006 - 10:01 pm:

Hi Dr. O, after reading your article, I've added the lateral view of the stifle, can you tell if you can see if he has any of the following?

osteochonDrOsis dissecans
subchondral bone cyst
osteoarthritis

Stifle Lateral view

stifle lateral
Member:
Sunny66

Posted on Saturday, Aug 5, 2006 - 3:39 pm:

He's stopped his "hip walking" ... A friend came over that saw him just before the injections and saw him doing this "hip walking" thing... she said he's moving evenly again so I'm hopeful that this will turn out ok...
Moderator:
DrO

Posted on Sunday, Aug 6, 2006 - 9:58 am:

Aileen, carefully reviewing an extensive list of radiographs like you have above for any abnormality even with the original set of full sized radiographs could take up to an hour and an hour more to write about. Reviewing these tiny pictures would be of no value at all. While I don't mind looking at the occasional radiograph the above is beyond the scope of this site.

If you want a second opinion on these I strongly recommend you send them to a certified veterinary radiologist, like you find at a university veterinary school, they could tell you more than I would be able to.
DrO
Member:
Sunny66

Posted on Sunday, Aug 6, 2006 - 10:04 am:

I apologize Dr. O, I didn't realize that. I'll wait for the surgeon to get back to me.
Member:
Sunny66

Posted on Tuesday, Aug 15, 2006 - 1:43 pm:

Surgeon says mild to moderate djd in hocks and stifle. His stiffness is much much better, not overall anymore, so I do think the hock injections helped.

Chiro came today, she did adjustments and accupuncture...but his pelvis was not out of alignment just very very tight (compensation). After manipulating him, she thinks its either his joints or maybe a soft tissue injury in his stifle. We are jumpstarting him with Adequan once a week for six weeks and 10,000 grams of Cosequin daily. She'll come back in a month. She was definitely not leaning toward it being Lyme.

Only walk for this horse for quite a while, but at least she thinks we can fix him, it may take months, not weeks, but hopefully we're on the right track...already his turns are much easier.
Home Page | Top of Page | Join Us!
Horseadvice.com
is The Horseman's Advisor
Helping Thousands of Equestrians, Farriers, and Veterinarians Every Day
All rights reserved, © 1997 -
Horseadvice.com is a BBB Accredited Business. Click for the BBB Business Review of this Horse Training in Stokesdale NC