|
|
Discussion on Straight Answer About My 6-Month Old Colt - X-Rays
|
| Author |
Message |
New Member: Botchi
|
Posted on Wednesday, Sep 13, 2006 - 6:51 pm:
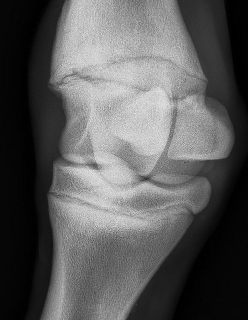
I cant seem to get an answer whether my colt has an OCD lesion or not. It is obvious that he has Physitis. Any ideas? Denise
|
Member: Dres
|
Posted on Wednesday, Sep 13, 2006 - 7:04 pm:
Boy I would love to know if Dr. sees anything if he could pencil it in.. even the Physitis and how you can tell.. On the first day God created horses, on the second day he painted them with spots..
|
Moderator: DrO
|
Posted on Thursday, Sep 14, 2006 - 11:25 am:
The problem Denise is radiographs cannot positively answer your question. It can provide evidence that there is not a lesion but OCD can exist even without radiographic evidence. I see no evidence of OCD in the above radiograph but this judgement should be made from a minimum of 4 views and with the radiographic images directly in hand. There is a odd radio-opaque body just below the sesamoid on the left...hmmm it could be soft tissue consistency, perhaps a spot caused by the ergot? I would have to see the horse and other views to know for sure as the ergot is quite variable. Ann the physitis is best characterised by the lipping on the margin of the growth plate but I judge this for a 6 month old as mild and questionable significance. I suggest for a definitive answer you have the radiographs forwarded to a veterinary radiologist for evaluation however sometimes OCD exists before there is radiographic evidence. DrO
|
New Member: Botchi
|
Posted on Thursday, Sep 14, 2006 - 2:02 pm:
Thank you! Denise www.BryantFarm.com
|
Member: Paul303
|
Posted on Friday, Sep 15, 2006 - 12:04 am:
Beautiful web site Denise! Beautiful animals!
|
|
|